Suppr超能文献

良性纵隔畸胎瘤自发性破裂:两例报告

Spontaneous rupture of benign mediastinal teratoma: A report of two cases.

作者信息

Madhusudhan K S, Sharma Raju, Gadodia Ankur, Kumar Arvind

机构信息

Department of Radiodiagnosis, All India Institute of Medical Sciences, New Delhi, India.

出版信息

Indian J Med Paediatr Oncol. 2012 Apr;33(2):123-5. doi: 10.4103/0971-5851.99750.

Abstract

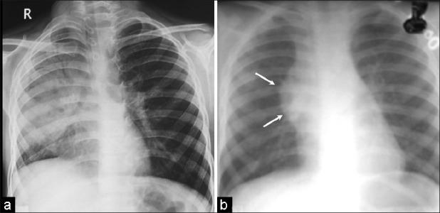
Benign mediastinal teratomas are commonly asymptomatic and seldom cause complications. Spontaneous rupture into the pleura is rare and cross-sectional imaging is crucial in its early detection and planning a proper surgical approach. We report two cases of spontaneous pulmonary and pleural rupture of benign mediastinal teratoma and discuss the imaging appearances.

摘要

良性纵隔畸胎瘤通常无症状,很少引起并发症。自发破裂入胸膜罕见,横断面成像对其早期检测和规划合适的手术方法至关重要。我们报告两例良性纵隔畸胎瘤自发破裂至肺和胸膜的病例,并讨论其影像学表现。

https://cdn.ncbi.nlm.nih.gov/pmc/blobs/98c5/3439789/673207fe8dfa/IJMPO-33-123-g001.jpg

文献检索

告别复杂PubMed语法,用中文像聊天一样搜索,搜遍4000万医学文献。AI智能推荐,让科研检索更轻松。

立即免费搜索

文件翻译

保留排版,准确专业,支持PDF/Word/PPT等文件格式,支持 12+语言互译。

免费翻译文档

深度研究

AI帮你快速写综述,25分钟生成高质量综述,智能提取关键信息,辅助科研写作。

立即免费体验