Suppr超能文献

运动员髌股疼痛的放射学评估。

Radiologic assessment of patellofemoral pain in the athlete.

机构信息

Department of Orthopaedic Surgery.

出版信息

Sports Health. 2011 Mar;3(2):195-210. doi: 10.1177/1941738110397875.

Abstract

CONTEXT

Although disorders of the patellofemoral joint are common in the athlete, their management can be challenging and require a thorough physical examination and radiologic evaluation, including advanced magnetic resonance imaging techniques.

EVIDENCE ACQUISITION

Relevant articles were searched under OVID and MEDLINE (1968 to 2010) using the keywords patellofemoral joint, patellofemoral pain or patella and radiography, imaging, or magnetic resonance imaging, and the referenced sources were reviewed for additional articles. The quality and validity of the studies were assessed on the basis of careful analysis of the materials and methods before their inclusion in this article.

RESULTS

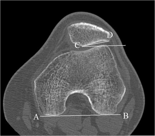
Physical examination and imaging evaluation including standard radiographs are crucial in identifying evidence of malalignment or instability. Magnetic resonance imaging provides valuable information about concomitant soft tissue injuries to the medial stabilizers as well as injuries to the articular cartilage, including chondral shears and osteochondral fractures. Quantitative magnetic resonance imaging assessing the ultrastructure of cartilage has shown high correlation with histology and may be useful for timing surgery.

CONCLUSIONS

Evaluation of patellofemoral disorders is complex and requires a comprehensive assessment. Recent advancements in imaging have made possible a more precise evaluation of the individual anatomy of the patient, addressing issues of malalignment, instability, and underlying cartilage damage.

摘要

背景

髌股关节紊乱在运动员中很常见,但它们的治疗具有挑战性,需要进行彻底的体格检查和影像学评估,包括先进的磁共振成像技术。

证据采集

在 OVID 和 MEDLINE(1968 年至 2010 年)下使用关键词“髌股关节”、“髌股疼痛”或“髌骨”和“X 线摄影术”、“影像学”或“磁共振成像”进行相关文章检索,并对参考文献进行了综述,以获取其他文章。在将这些研究纳入本文之前,根据对材料和方法的仔细分析,评估了研究的质量和有效性。

结果

体格检查和影像学评估,包括标准 X 线摄影术,对于确定对线不良或不稳定的证据至关重要。磁共振成像提供了有关内侧稳定器伴发的软组织损伤以及关节软骨损伤的有价值信息,包括软骨剪切和骨软骨骨折。评估软骨超微结构的定量磁共振成像与组织学具有高度相关性,可能有助于确定手术时机。

结论

髌股关节紊乱的评估较为复杂,需要全面评估。影像学的最新进展使得更精确地评估患者的个体解剖结构成为可能,解决对线不良、不稳定和潜在软骨损伤等问题。

https://cdn.ncbi.nlm.nih.gov/pmc/blobs/7a6b/3445133/936af763e7bb/10.1177_1941738110397875-fig1.jpg

文献AI研究员

20分钟写一篇综述,助力文献阅读效率提升50倍。

立即体验

用中文搜PubMed

大模型驱动的PubMed中文搜索引擎

马上搜索

文档翻译

学术文献翻译模型,支持多种主流文档格式。

立即体验