• 文献检索
  • 文档翻译
  • 深度研究
  • 学术资讯
  • Suppr Zotero 插件Zotero 插件
  • 邀请有礼
  • 套餐&价格
  • 历史记录
应用&插件
Suppr Zotero 插件Zotero 插件浏览器插件Mac 客户端Windows 客户端微信小程序
定价
高级版会员购买积分包购买API积分包
服务
文献检索文档翻译深度研究API 文档MCP 服务
关于我们
关于 Suppr公司介绍联系我们用户协议隐私条款
关注我们

Suppr 超能文献

核心技术专利:CN118964589B侵权必究
粤ICP备2023148730 号-1Suppr @ 2026

文献检索

告别复杂PubMed语法,用中文像聊天一样搜索,搜遍4000万医学文献。AI智能推荐,让科研检索更轻松。

立即免费搜索

文件翻译

保留排版,准确专业,支持PDF/Word/PPT等文件格式,支持 12+语言互译。

免费翻译文档

深度研究

AI帮你快速写综述,25分钟生成高质量综述,智能提取关键信息,辅助科研写作。

立即免费体验

前后半月板股骨韧带:磁共振成像评估

Anterior and posterior meniscofemoral ligaments: MRI evaluation.

作者信息

Bintoudi A, Natsis K, Tsitouridis I

机构信息

Radiology Department, Papageorgiou General Hospital "Papageorgiou", 56403 Thessaloniki, Greece.

出版信息

Anat Res Int. 2012;2012:839724. doi: 10.1155/2012/839724. Epub 2012 Sep 17.

DOI:10.1155/2012/839724
PMID:23019526
原文链接:https://pmc.ncbi.nlm.nih.gov/articles/PMC3457609/
Abstract

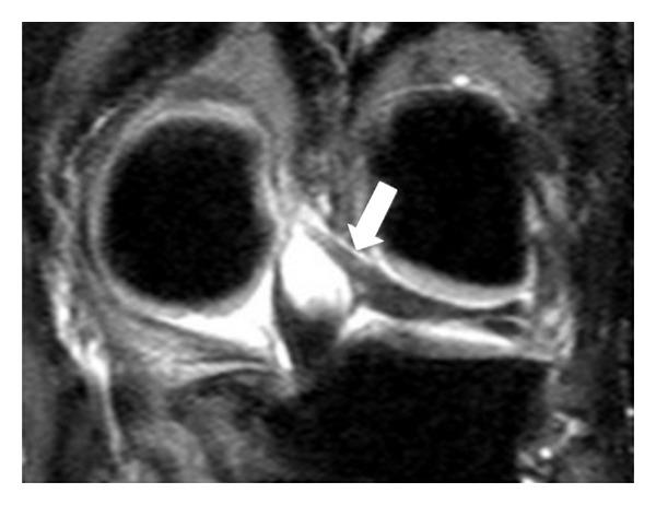
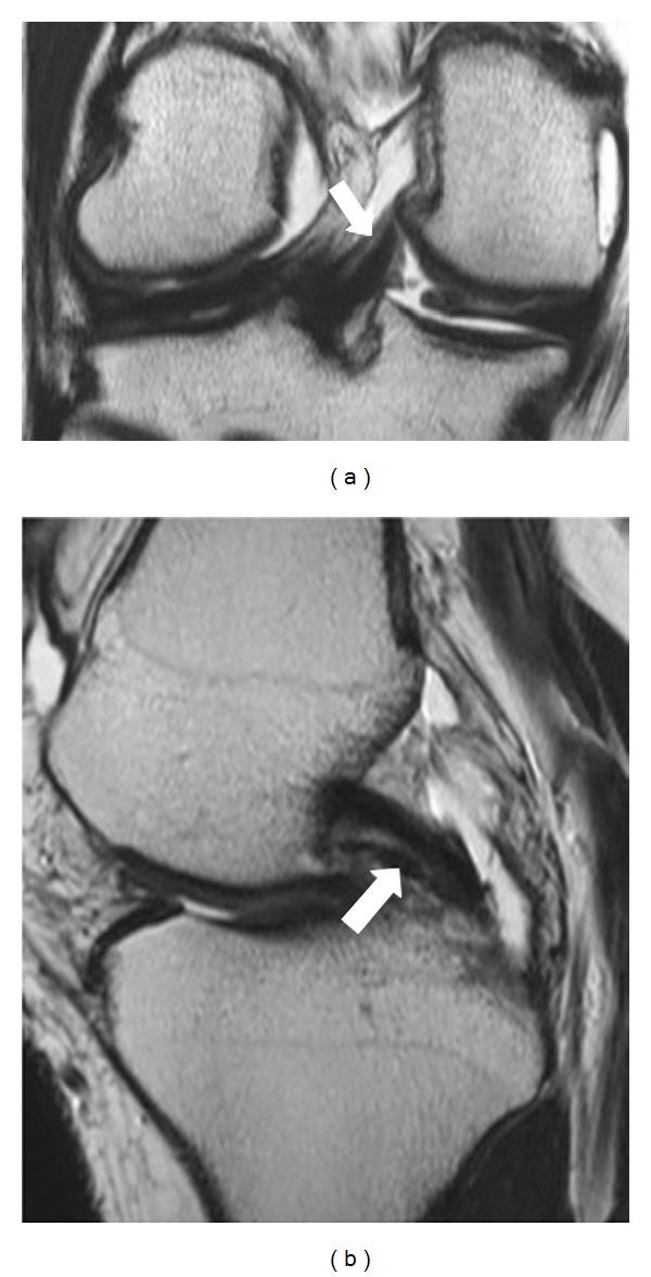
Although meniscofemoral ligaments are distinct anatomic units, their anatomy and function are controversial from an anatomic and radiologic point of view. Five hundred knee MR examinations were retrospectively studied in an effort to demonstrate the incidence and variations regarding sex and age distribution, as well as the anatomy of the meniscofemoral ligament at magnetic resonance imaging. Patients were mostly men, three hundred and twelve, in contrast with women who were fewer, one hundred eighty-eight patients. The mean age of the patients who were included in this study was 46 years. More than half of them were between 20 and 40 years old; one hundred thirty-three patients among 20 to 30 years old and one hundred and one patients among 31 and 40 years old, in total two hundred thirty-four patients.

摘要

虽然半月板股骨韧带是独特的解剖结构,但从解剖学和放射学角度来看,它们的解剖结构和功能仍存在争议。我们回顾性研究了500例膝关节磁共振成像(MR)检查,以阐明半月板股骨韧带在性别、年龄分布方面的发生率和变异情况,以及其在磁共振成像中的解剖结构。患者以男性居多,共312例,女性较少,为188例。纳入本研究的患者平均年龄为46岁。其中一半以上患者年龄在20至40岁之间;20至30岁的患者有133例,31至40岁的患者有101例,总计234例。

https://cdn.ncbi.nlm.nih.gov/pmc/blobs/b456/3457609/b43599b8fb95/ARI2012-839724.005.jpg
https://cdn.ncbi.nlm.nih.gov/pmc/blobs/b456/3457609/b9230026a701/ARI2012-839724.001.jpg
https://cdn.ncbi.nlm.nih.gov/pmc/blobs/b456/3457609/cdcce92c0e63/ARI2012-839724.002.jpg
https://cdn.ncbi.nlm.nih.gov/pmc/blobs/b456/3457609/e7372a371e1a/ARI2012-839724.003.jpg
https://cdn.ncbi.nlm.nih.gov/pmc/blobs/b456/3457609/a7e5fc3f841f/ARI2012-839724.004.jpg
https://cdn.ncbi.nlm.nih.gov/pmc/blobs/b456/3457609/b43599b8fb95/ARI2012-839724.005.jpg
https://cdn.ncbi.nlm.nih.gov/pmc/blobs/b456/3457609/b9230026a701/ARI2012-839724.001.jpg
https://cdn.ncbi.nlm.nih.gov/pmc/blobs/b456/3457609/cdcce92c0e63/ARI2012-839724.002.jpg
https://cdn.ncbi.nlm.nih.gov/pmc/blobs/b456/3457609/e7372a371e1a/ARI2012-839724.003.jpg
https://cdn.ncbi.nlm.nih.gov/pmc/blobs/b456/3457609/a7e5fc3f841f/ARI2012-839724.004.jpg
https://cdn.ncbi.nlm.nih.gov/pmc/blobs/b456/3457609/b43599b8fb95/ARI2012-839724.005.jpg

相似文献

1
Anterior and posterior meniscofemoral ligaments: MRI evaluation.前后半月板股骨韧带:磁共振成像评估
Anat Res Int. 2012;2012:839724. doi: 10.1155/2012/839724. Epub 2012 Sep 17.
2
Variations in meniscofemoral ligaments at anatomical study and MR imaging.解剖学研究和磁共振成像中半月板股骨韧带的变异
Skeletal Radiol. 1999 Apr;28(4):189-95. doi: 10.1007/s002560050499.
3
An MRI study of the meniscofemoral and transverse ligaments of the knee.膝关节半月板股骨韧带和横韧带的磁共振成像研究
Surg Radiol Anat. 2002 May;24(2):120-4. doi: 10.1007/s00276-002-0023-8.
4
3-Tesla MRI: Beneficial visualization of the meniscofemoral ligaments?3特斯拉磁共振成像:对半月板股骨韧带的可视化有帮助吗?
Knee. 2017 Oct;24(5):1090-1098. doi: 10.1016/j.knee.2017.07.002. Epub 2017 Jul 31.
5
A review of the function and biomechanics of the meniscofemoral ligaments.半月板股骨韧带的功能与生物力学综述。
Arthroscopy. 2003 Feb;19(2):161-71. doi: 10.1053/jars.2003.50011.
6
Incidence and significance of demonstrating the meniscofemoral ligament on MRI.磁共振成像(MRI)上显示半月板股骨韧带的发生率及意义
Br J Radiol. 2000 Mar;73(867):271-4. doi: 10.1259/bjr.73.867.10817042.
7
Imaging appearance and prevalence of the anteromedial meniscofemoral ligament: A potential pitfall to anterior cruciate ligament analysis on MRI.前内侧半月板股骨韧带的影像学表现及发生率:MRI 分析前交叉韧带的潜在陷阱。
Eur J Radiol. 2019 Oct;119:108645. doi: 10.1016/j.ejrad.2019.108645. Epub 2019 Sep 7.
8
The meniscofemoral ligaments: magnetic resonance imaging and anatomic correlations.
Surg Radiol Anat. 1992;14(1):59-63. doi: 10.1007/BF01628044.
9
Meniscofemoral ligaments revisited. Anatomical study, age correlation and clinical implications.再探半月板股骨韧带:解剖学研究、年龄相关性及临床意义
J Bone Joint Surg Br. 2002 Aug;84(6):846-51. doi: 10.1302/0301-620x.84b6.13110.
10
Incidence of the anterior meniscofemoral ligament: an arthroscopic study in anterior cruciate ligament-deficient knees.前半月板股骨韧带的发生率:一项针对前交叉韧带损伤膝关节的关节镜研究
Arthroscopy. 2007 Mar;23(3):275-7. doi: 10.1016/j.arthro.2006.12.005.

引用本文的文献

1
Changes to the Intercondylar Ligaments of the Knee in Different Stages of Osteoarthritis-A Retrospective Cross-Sectional Study.骨关节炎不同阶段膝关节髁间韧带的变化——一项回顾性横断面研究
J Clin Med. 2025 Jun 25;14(13):4513. doi: 10.3390/jcm14134513.
2
Morphometric Evaluation of the Anterior Meniscofemoral Ligament in Human Cadaveric Knees: Anatomical Variations and Clinical Significance.人体尸体膝关节前半月板股骨韧带的形态计量学评估:解剖变异与临床意义
Cureus. 2025 Feb 14;17(2):e79013. doi: 10.7759/cureus.79013. eCollection 2025 Feb.
3
Attachment Type, Thickness, and Volume of the Posterior Meniscofemoral Ligament and Meniscal Pathology.

本文引用的文献

1
Some anatomical details of the knee joint.膝关节的一些解剖学细节。
J Bone Joint Surg Br. 1948 Nov;30B(4):683-8.
2
Signification of the unusual delineation of the anterior meniscofemoral ligament of Humphrey during knee arthro-CT.膝关节关节CT检查时汉弗莱前半月板股骨韧带异常形态的意义
Surg Radiol Anat. 2009 Feb;31(2):121-8. doi: 10.1007/s00276-008-0416-4. Epub 2008 Oct 1.
3
A biomechanical study of the meniscofemoral ligaments and their contribution to contact pressure reduction in the knee.半月板股骨韧带的生物力学研究及其对膝关节接触压力降低的作用。
后半月板股骨韧带的附着类型、厚度和体积与半月板病变。
J Digit Imaging. 2022 Dec;35(6):1590-1598. doi: 10.1007/s10278-022-00651-6. Epub 2022 Jun 6.
4
Prevalence, Biomechanics, and Pathologies of the Meniscofemoral Ligaments: A Systematic Review.半月板股骨韧带的患病率、生物力学及病理学:一项系统评价
Arthrosc Sports Med Rehabil. 2021 Nov 26;3(6):e2093-e2101. doi: 10.1016/j.asmr.2021.09.006. eCollection 2021 Dec.
5
A novel meniscofemoral ligament variant intra-substance to the PCL.一种新型的位于后交叉韧带内的半月板股骨韧带变异体。
Knee Surg Sports Traumatol Arthrosc. 2022 Jul;30(7):2277-2280. doi: 10.1007/s00167-021-06791-6. Epub 2021 Nov 3.
6
Clinical Anatomy of the Posterior Meniscofemoral Ligament of Wrisberg: An Original MRI Study, Meta-analysis, and Systematic Review.里斯伯格后半月板股骨韧带的临床解剖学:一项原始MRI研究、荟萃分析和系统评价
Orthop J Sports Med. 2021 Feb 22;9(2):2325967120973195. doi: 10.1177/2325967120973195. eCollection 2021 Feb.
7
Clinical Anatomy of the Anterior Meniscofemoral Ligament of Humphrey: An Original MRI Study, Meta-analysis, and Systematic Review.汉弗莱前半月板股骨韧带的临床解剖学:一项原始MRI研究、荟萃分析和系统评价
Orthop J Sports Med. 2021 Feb 22;9(2):2325967120973192. doi: 10.1177/2325967120973192. eCollection 2021 Feb.
8
Evaluation of age-dependent morphometrics of the meniscofemoral ligaments in reference to the posterior cruciate ligament in routine MRI.评价常规 MRI 中半月板股骨韧带随后交叉韧带的年龄依赖性形态计量学特征。
Eur Radiol. 2018 Jun;28(6):2369-2379. doi: 10.1007/s00330-017-5128-x. Epub 2018 Jan 10.
9
The Meniscofemoral Ligament Mimicking a Lateral Meniscus Tear.模仿外侧半月板撕裂的半月板股骨韧带。
Knee Surg Relat Res. 2017 Dec 1;29(4):321-324. doi: 10.5792/ksrr.16.036.
Knee Surg Sports Traumatol Arthrosc. 2008 Nov;16(11):1004-8. doi: 10.1007/s00167-008-0592-0. Epub 2008 Aug 19.
4
Analysis of meniscofemoral ligament tension during knee motion.膝关节运动过程中半月板股骨韧带张力分析。
Arthroscopy. 2006 Apr;22(4):362-6. doi: 10.1016/j.arthro.2005.09.023.
5
Anatomy of the posterior cruciate ligament and the meniscofemoral ligaments.后交叉韧带及半月板股骨韧带的解剖结构。
Knee Surg Sports Traumatol Arthrosc. 2006 Mar;14(3):257-63. doi: 10.1007/s00167-005-0686-x. Epub 2005 Oct 14.
6
Meniscofemoral ligaments--structural and material properties.半月板股骨韧带——结构与材料特性
J Biomech. 2002 Dec;35(12):1623-9. doi: 10.1016/s0021-9290(02)00238-5.
7
Meniscofemoral ligaments revisited. Anatomical study, age correlation and clinical implications.再探半月板股骨韧带:解剖学研究、年龄相关性及临床意义
J Bone Joint Surg Br. 2002 Aug;84(6):846-51. doi: 10.1302/0301-620x.84b6.13110.
8
An MRI study of the meniscofemoral and transverse ligaments of the knee.膝关节半月板股骨韧带和横韧带的磁共振成像研究
Surg Radiol Anat. 2002 May;24(2):120-4. doi: 10.1007/s00276-002-0023-8.
9
Posterior cruciate ligament architecture: evaluation under microsurgical dissection.后交叉韧带结构:显微外科解剖下的评估
Arthroscopy. 2000 Sep;16(6):627-32. doi: 10.1053/jars.2000.9238.
10
Incidence and significance of demonstrating the meniscofemoral ligament on MRI.磁共振成像(MRI)上显示半月板股骨韧带的发生率及意义
Br J Radiol. 2000 Mar;73(867):271-4. doi: 10.1259/bjr.73.867.10817042.