Suppr超能文献

肿瘤坏死因子与伤口愈合。

Tumor necrosis factor and wound healing.

作者信息

Mooney D P, O'Reilly M, Gamelli R L

机构信息

Department of Surgery, University of Vermont, Burlington 05401.

出版信息

Ann Surg. 1990 Feb;211(2):124-9. doi: 10.1097/00000658-199002000-00002.

Abstract

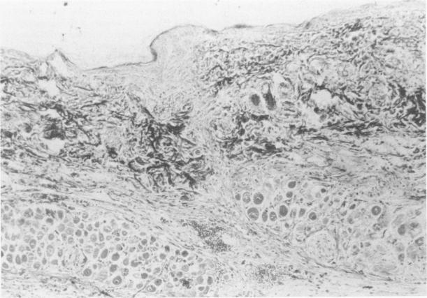
Tumor necrosis factor alpha (TNF), 1 to 500 ng in saline (PBS) or collagen, was applied to the wounds of normal and Adriamycin-impaired mice and wound disruption strength (WDS) and histology were examined. Also wounded mice were administered TNF 25 to 75 micrograms/kg IP daily and WDS was determined. Wound histology was examined 6 months after wounding and local TNF application. Local TNF 5 to 500 ng in PBS did not significantly affect WDS. Local TNF 5 to 50 ng in collagen increased WDS 33% to 65% in Adriamycin-impaired animals (p = 0.05 to p less than 0.02). Local TNF 50 to 500 ng in collagen increased WDS 23% to 49% in normal animals (p = 0.08 to p less than 0.01). Adriamycin-impaired animals demonstrated improved wound histology with local TNF in collagen. Systemic TNF did not significantly affect WDS. Local TNF in collagen did not induce histologic pathology at 6 months. TNF may modulate macrophage function and local TNF in collagen can improve WDS in normal and Adriamycin-impaired animals.

摘要

将1至500纳克肿瘤坏死因子α(TNF)溶于生理盐水(PBS)或胶原蛋白中,涂抹于正常小鼠和阿霉素损伤小鼠的伤口上,检测伤口抗破裂强度(WDS)并进行组织学检查。另外,对受伤小鼠每天腹腔注射25至75微克/千克的TNF,并测定WDS。在伤口及局部应用TNF 6个月后检查伤口组织学情况。PBS中5至500纳克的局部TNF对WDS无显著影响。胶原蛋白中5至50纳克的局部TNF使阿霉素损伤动物的WDS提高了33%至65%(p = 0.05至p小于0.02)。胶原蛋白中50至500纳克的局部TNF使正常动物的WDS提高了23%至49%(p = 0.08至p小于0.01)。阿霉素损伤动物在胶原蛋白中局部应用TNF后伤口组织学情况有所改善。全身应用TNF对WDS无显著影响。胶原蛋白中的局部TNF在6个月时未诱发组织病理学改变。TNF可能调节巨噬细胞功能,胶原蛋白中的局部TNF可改善正常及阿霉素损伤动物的WDS。

https://cdn.ncbi.nlm.nih.gov/pmc/blobs/6424/1357954/fa9e6fd6db51/annsurg00168-0024-a.jpg

文献AI研究员

20分钟写一篇综述,助力文献阅读效率提升50倍。

立即体验

用中文搜PubMed

大模型驱动的PubMed中文搜索引擎

马上搜索

文档翻译

学术文献翻译模型,支持多种主流文档格式。

立即体验