Suppr超能文献

基于小波域可变块大小的矢量量化的医学图像压缩。

Medical image compression based on vector quantization with variable block sizes in wavelet domain.

机构信息

Software College, Northeastern University, Shenyang 110819, China.

出版信息

Comput Intell Neurosci. 2012;2012:541890. doi: 10.1155/2012/541890. Epub 2012 Sep 19.

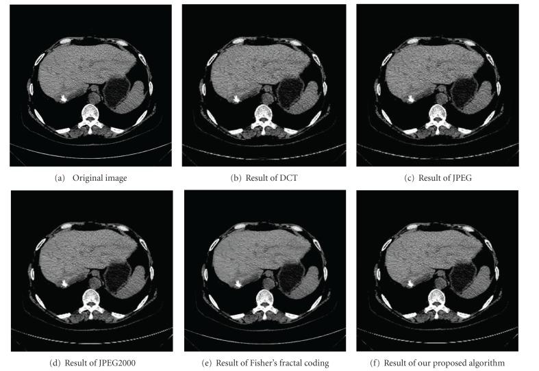
Abstract

An optimized medical image compression algorithm based on wavelet transform and improved vector quantization is introduced. The goal of the proposed method is to maintain the diagnostic-related information of the medical image at a high compression ratio. Wavelet transformation was first applied to the image. For the lowest-frequency subband of wavelet coefficients, a lossless compression method was exploited; for each of the high-frequency subbands, an optimized vector quantization with variable block size was implemented. In the novel vector quantization method, local fractal dimension (LFD) was used to analyze the local complexity of each wavelet coefficients, subband. Then an optimal quadtree method was employed to partition each wavelet coefficients, subband into several sizes of subblocks. After that, a modified K-means approach which is based on energy function was used in the codebook training phase. At last, vector quantization coding was implemented in different types of sub-blocks. In order to verify the effectiveness of the proposed algorithm, JPEG, JPEG2000, and fractal coding approach were chosen as contrast algorithms. Experimental results show that the proposed method can improve the compression performance and can achieve a balance between the compression ratio and the image visual quality.

摘要

介绍了一种基于小波变换和改进的矢量量化的医学图像优化压缩算法。该方法的目的是在高压缩比下保持医学图像的诊断相关信息。首先对图像进行小波变换。对于小波系数的最低频率子带,采用无损压缩方法;对于每个高频子带,采用具有可变块大小的优化矢量量化。在新的矢量量化方法中,局部分形维数(LFD)用于分析每个小波系数子带的局部复杂度。然后,采用最优四叉树方法将每个小波系数子带划分为几个大小的子块。之后,在码本训练阶段使用基于能量函数的改进 K-均值方法。最后,在不同类型的子块中进行矢量量化编码。为了验证所提出算法的有效性,选择了 JPEG、JPEG2000 和分形编码方法作为对比算法。实验结果表明,所提出的方法可以提高压缩性能,并在压缩比和图像视觉质量之间达到平衡。

https://cdn.ncbi.nlm.nih.gov/pmc/blobs/cfab/3459264/5dd094fc26ac/CIN2012-541890.001.jpg

文献检索

告别复杂PubMed语法,用中文像聊天一样搜索,搜遍4000万医学文献。AI智能推荐,让科研检索更轻松。

立即免费搜索

文件翻译

保留排版,准确专业,支持PDF/Word/PPT等文件格式,支持 12+语言互译。

免费翻译文档

深度研究

AI帮你快速写综述,25分钟生成高质量综述,智能提取关键信息,辅助科研写作。

立即免费体验