Suppr超能文献

水牛的支持细胞——一项电子显微镜研究

The Sertoli cell of the water buffalo--an electron microscopic study.

作者信息

Azmi T I, Bongso T A, Harisah M, Basrur P K

机构信息

Department of Animal Sciences, Faculty of Veterinary Medicine and Animal Science, Universiti Pertanian Malaysia, Serdang, Selangor.

出版信息

Can J Vet Res. 1990 Jan;54(1):93-8.

Abstract

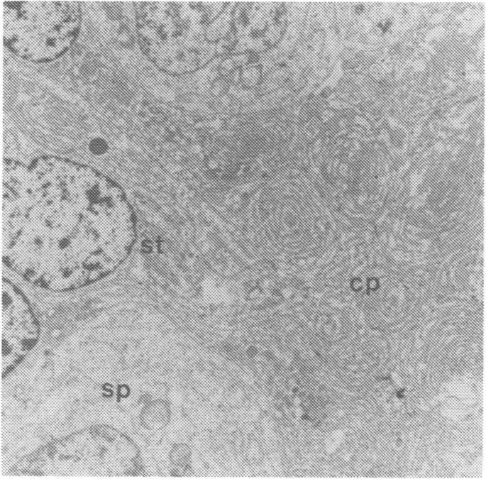
The ultrastructure of Sertoli cells in the seminiferous tubules of water buffaloes before and during sexual maturity was studied by transmission electron microscopy, with emphasis on the intranucleolar vesicular elements. Sertoli cells of animals under 12 months of age were distinguished from the germ cells by the presence of electron dense membrane bound bodies within their cytoplasm. These cells, referred to as basal indifferent supporting cells, were probably involved in the phagocytosis and elimination of degenerating spermatocytes, which failed to differentiate into spermatids and spermatozoa in animals under one year of age. In 12 month old animals, a few Sertoli cells exhibiting the vesicular elements appeared in the nucleolar region while in animals over 15 months of age Sertoli cells could be positively identified by the characteristic cytoplasm containing microtubules, elongated and electron dense mitochondria, extensive granular endoplasmic reticulum and the presence of spermatids in various stages of spermiogenesis. The vesicular elements in the nucleolar region of the Sertoli cells were most prominent at this stage. Ultrastructural features of the Sertoli cells revealed an abundance of ribosome-like particles surrounding the vesicles of varying size. Some of these vesicular elements contained amorphous material suggesting that they represent the products sequestered in the nuclear region for transport to the cytoplasm and that the process of spermiogenesis may be dependent on the ability of Sertoli cells to generate these products at sexual maturity.

摘要

运用透射电子显微镜对水牛性成熟前和性成熟期间生精小管中的支持细胞超微结构进行了研究,重点关注核仁内的囊泡成分。12个月龄以下动物的支持细胞,其细胞质内存在电子致密的膜结合小体,借此与生殖细胞区分开来。这些细胞被称为基底未分化支持细胞,可能参与了对退化精母细胞的吞噬和清除,在一岁以下的动物中,这些精母细胞无法分化为精子细胞和精子。在12个月龄的动物中,核仁区域出现了一些呈现囊泡成分的支持细胞,而在15个月龄以上的动物中,支持细胞可通过其特征性细胞质得以明确识别,该细胞质含有微管、细长且电子致密的线粒体、广泛的颗粒内质网以及处于精子发生不同阶段的精子细胞。此时,支持细胞核仁区域的囊泡成分最为显著。支持细胞的超微结构特征显示,大小各异的囊泡周围存在大量核糖体样颗粒。其中一些囊泡成分含有无定形物质,这表明它们代表了在核区域中隔离以待运输至细胞质的产物,并且精子发生过程可能依赖于支持细胞在性成熟时产生这些产物的能力。

https://cdn.ncbi.nlm.nih.gov/pmc/blobs/b5af/1255611/67f16ec1ddda/cjvetres00045-0096-a.jpg

文献检索

告别复杂PubMed语法,用中文像聊天一样搜索,搜遍4000万医学文献。AI智能推荐,让科研检索更轻松。

立即免费搜索

文件翻译

保留排版,准确专业,支持PDF/Word/PPT等文件格式,支持 12+语言互译。

免费翻译文档

深度研究

AI帮你快速写综述,25分钟生成高质量综述,智能提取关键信息,辅助科研写作。

立即免费体验