Unidad Académica de Sistemas Arrecifales Puerto Morelos, Instituto de Ciencias del Mar y Limnología, Universidad Nacional Autónoma de México, Mexico City, Mexico.
PLoS One. 2012;7(10):e47182. doi: 10.1371/journal.pone.0047182. Epub 2012 Oct 11.
Symbiotic dinoflagellates transfer a substantial amount of their photosynthetic products to their animal hosts. This amount has been estimated to represent up to 90% of the photosynthetically fixed carbon and can satisfy in some instances the full respiratory requirements of the host. Although in several cnidarian-dinoflagellate symbioses glycerol is the primary photosynthetic product translocated to the host, the mechanism for its production and release has not been demonstrated conclusively.
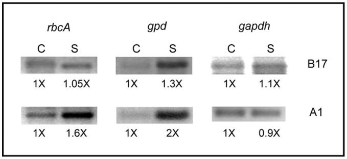
Using Symbiodinium cells in culture we were able to reproduce the synthesis and release of glycerol in vitro by employing an inductor for glycerol synthesis, osmotic up-shocks. Photosynthetic parameters and fluorescence analysis of photosystem II showed that the inductive conditions did not have a negative effect on photosynthetic performance, suggesting that the capacity for carbon fixation by the cells was not compromised. The demand for glycerol production required to attain osmotic balance increased the expression of ribulose 1,5-bisphosphate and of glycerol 3-phosphate dehydrogenase, possibly competing with the flux of fixed carbon necessary for protein synthesis. In longer exposures of cultured Symbiodinium cells to high osmolarity, the response was analogous to photoacclimation, reducing the excitation pressure over photosystem II, suggesting that Symbiodinium cells perceived the stress as an increase in light. The induced synthesis of glycerol resulted in a reduction of growth rates.
Our results favor a hypothetical mechanism of a signaling event involving a pressure sensor that may induce the flux of carbon (glycerol) from the symbiotic algae to the animal host, and strongly suggest that carbon limitation may be a key factor modulating the population of symbionts within the host.
共生甲藻将大量光合作用产物转移给动物宿主。据估计,这些产物占光合作用固定碳的 90%,在某些情况下可以满足宿主的全部呼吸需求。尽管在几种珊瑚-甲藻共生关系中,甘油是被转运到宿主的主要光合作用产物,但甘油的产生和释放机制尚未得到明确证明。
我们通过使用诱导甘油合成的渗透压冲击,在培养的共生甲藻细胞中成功地在体外复制了甘油的合成和释放。光合作用参数和光系统 II 的荧光分析表明,诱导条件对光合作用性能没有负面影响,这表明细胞的碳固定能力没有受到损害。为了达到渗透压平衡而产生甘油的需求增加了核酮糖 1,5-二磷酸和甘油 3-磷酸脱氢酶的表达,这可能与合成蛋白质所需的固定碳通量竞争。在较长时间暴露于高渗透压的培养共生甲藻细胞中,反应类似于光驯化,降低了光系统 II 的激发压力,表明共生甲藻细胞将这种压力视为光的增加。甘油的诱导合成导致生长速率降低。
我们的结果支持一种假设的机制,即涉及压力传感器的信号事件可能会诱导碳(甘油)从共生藻类流向动物宿主,这强烈表明碳限制可能是调节宿主中共生体种群的关键因素。