Suppr超能文献

上颌骨血管瘤性成釉细胞瘤:1例极罕见病例报告

Hemangiomatous ameloblastoma in maxilla: A report of a very rare case.

作者信息

Sharma Vivek K, Verma Sanjeev K, Goyal Lata, Chaudhary Prabhat Kumar

机构信息

Department of Orthodontics and Dental Anatomy, Dr. Z. A. Dental College, Aligarh Muslim University, Aligarh, Uttar Pradesh, India.

出版信息

Dent Res J (Isfahan). 2012 May;9(3):345-9.

Abstract

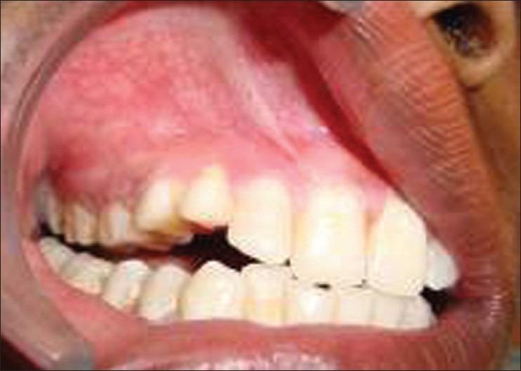
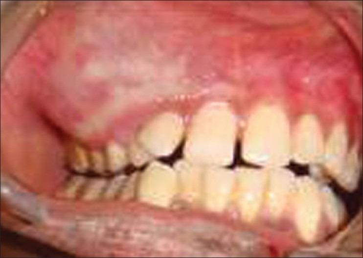
Hemangiomatous ameloblastoma (HA), which is a rare ameloblastic variant, is presented in a 15-year-old boy in the maxillary right molar region associated with unerupted canine and premolars. Radiologic and computed tomographic analysis was suggestive of cystic lesion. An histology picture confirmed the diagnosis of HA. There are less than eight cases documented in the literature and mostly are in the middle age with mandibular location. This is first ever reported case of HA in a 15-year-old boy with maxillary location. Due to less number of documented cases and no long-term follow-ups, clinical behavior and prognosis of this lesion are uncertain. In this case report, the clinical, histological, and radiographic features of HA are presented.

摘要

血管瘤样成釉细胞瘤(HA)是一种罕见的成釉细胞变异型,发生于一名15岁男孩的右上颌磨牙区,与未萌出的尖牙和前磨牙相关。放射学和计算机断层扫描分析提示为囊性病变。组织学图像确诊为HA。文献记载的病例少于8例,大多数发生于中年,位于下颌骨。这是首次报道的发生于15岁上颌骨的HA病例。由于记录在案的病例数量较少且缺乏长期随访,该病变的临床行为和预后尚不确定。本病例报告展示了HA的临床、组织学和影像学特征。

https://cdn.ncbi.nlm.nih.gov/pmc/blobs/d39e/3469904/3ff581acb5ec/DRJ-9-345-g001.jpg

文献AI研究员

20分钟写一篇综述,助力文献阅读效率提升50倍。

立即体验

用中文搜PubMed

大模型驱动的PubMed中文搜索引擎

马上搜索

文档翻译

学术文献翻译模型,支持多种主流文档格式。

立即体验