Suppr超能文献

肺炎嗜肺军团菌血清型 1 肺炎患者接受阿达木单抗治疗。

Legionella pneumophila serotype 1 pneumonia in patient receiving adalimumab.

机构信息

University of Manitoba, Winnipeg, Manitoba, Canada.

出版信息

Emerg Infect Dis. 2012 Nov;18(11):1872-4. doi: 10.3201/eid1811.111505.

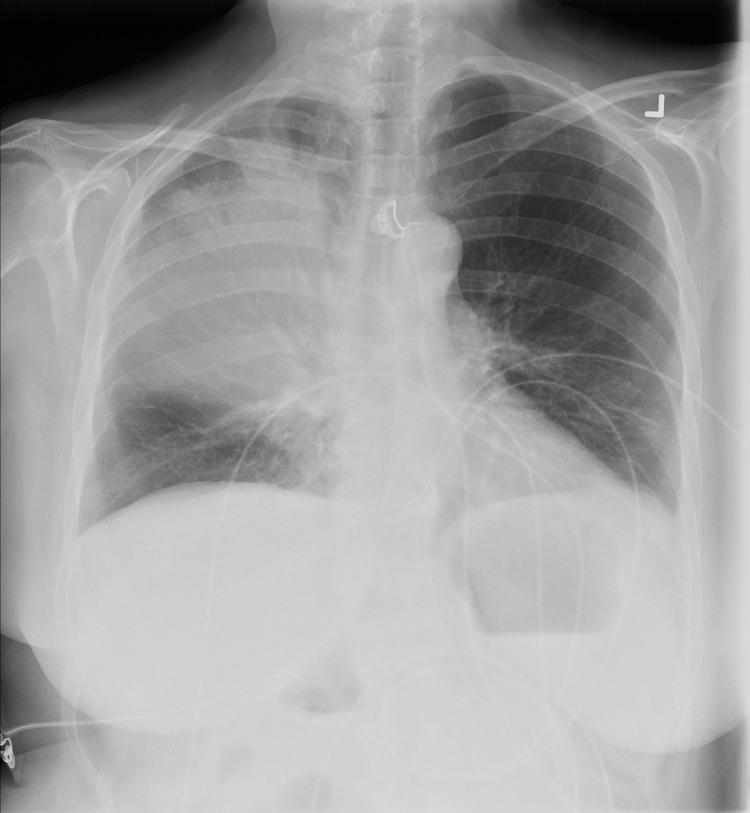
Abstract

We describe a case of severe pneumonia caused by Legionella pneumophila serotype 1 in a woman receiving the tumor necrosis factor-α antagonist to treat rheumatoid arthritis. As use of tumor necrosis factor-α inhibitors increase, clinicians should consider their possible association with legionellosis.

摘要

我们描述了一例由 1 型嗜肺军团菌引起的严重肺炎的病例,该患者正在接受肿瘤坏死因子-α拮抗剂治疗类风湿关节炎。随着肿瘤坏死因子-α抑制剂的使用增加,临床医生应考虑它们与军团菌病的可能关联。

https://cdn.ncbi.nlm.nih.gov/pmc/blobs/1bed/3559148/a0b85e0f1bcd/11-1505-F1.jpg

文献AI研究员

20分钟写一篇综述,助力文献阅读效率提升50倍。

立即体验

用中文搜PubMed

大模型驱动的PubMed中文搜索引擎

马上搜索

文档翻译

学术文献翻译模型,支持多种主流文档格式。

立即体验