Suppr超能文献

人类脑脊液蛋白质组分析作为脑膜瘤患者的诊断生物标志物。

Proteome analysis of human cerebrospinal fluid as a diagnostic biomarker in patients with meningioma.

机构信息

Mass Spectrometry Research Center, Korea Basic Science Institute, Ochang, Republic of Korea.

出版信息

Med Sci Monit. 2012 Nov;18(11):BR450-60. doi: 10.12659/msm.883538.

Abstract

BACKGROUND

To identify meningioma-specific proteins, cerebrospinal fluid (CSF) from 4 patients with a meningioma and 4 patients with a non-brain tumorous lesion were analyzed.

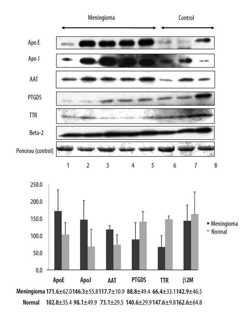
MATERIAL/METHODS: Two-dimensional electrophoresis and electrospray quadrupole time-of-flight tandem mass spectrometry analyses revealed 10 unique spots, containing 11 independent proteins (spot #2 and #4 each contained 2 proteins and spot #3 was not identified) were evident in CSF associated with human meningioma: serum albumin precursor (3 different isoforms), Apolipoprotein E (Apo E), Apolipoprotein J precursor (Apo J), Transthyretin precursor (TTR), Prostaglandin D2 synthase 21 kDa (PTGDS), proapolipoprotein, Chain D hemoglobin Ypsilanti, alpha-1-antitrypsin (AAT), and beta-2-microglobulin precursor (β2M).

RESULTS

The contents of Apo E, Apo J and AAT were increased, while PTGDS, TTR and β2M were decreased.

CONCLUSIONS

The results observed by 2-dimensional electrophoresis were verified by Western blot analysis. The unique proteins may represent possible candidate biomarkers of meningioma.

摘要

背景

为了鉴定脑膜瘤特异性蛋白,分析了 4 例脑膜瘤患者和 4 例非脑瘤病变患者的脑脊液(CSF)。

材料/方法:二维电泳和电喷雾四极杆飞行时间串联质谱分析显示,在与人类脑膜瘤相关的 CSF 中,有 10 个独特的斑点,包含 11 种独立的蛋白质(斑点 #2 和 #4 各包含 2 种蛋白质,斑点 #3 未鉴定):血清白蛋白前体(3 种不同的同工型)、载脂蛋白 E(Apo E)、载脂蛋白 J 前体(Apo J)、转甲状腺素蛋白前体(TTR)、前列腺素 D2 合酶 21 kDa(PTGDS)、前载脂蛋白、Ypsilanti 链 D 血红蛋白、α-1-抗胰蛋白酶(AAT)和β2-微球蛋白前体(β2M)。

结果

Apo E、Apo J 和 AAT 的含量增加,而 PTGDS、TTR 和 β2M 的含量减少。

结论

通过二维电泳观察到的结果通过 Western blot 分析得到了验证。这些独特的蛋白质可能代表脑膜瘤的潜在候选生物标志物。

https://cdn.ncbi.nlm.nih.gov/pmc/blobs/9603/3560610/ce466a8930ee/medscimonit-18-11-BR450-g001.jpg

文献AI研究员

20分钟写一篇综述,助力文献阅读效率提升50倍。

立即体验

用中文搜PubMed

大模型驱动的PubMed中文搜索引擎

马上搜索

文档翻译

学术文献翻译模型,支持多种主流文档格式。

立即体验