Suppr超能文献

组蛋白去乙酰化酶活性选择性调节人血管细胞中 Notch 介导的平滑肌分化。

Histone deacetylase activity selectively regulates notch-mediated smooth muscle differentiation in human vascular cells.

机构信息

Center for Molecular Medicine, Maine Medical Center Research Institute Scarborough, ME.

出版信息

J Am Heart Assoc. 2012 Jun;1(3):e000901. doi: 10.1161/JAHA.112.000901. Epub 2012 Jun 22.

Abstract

BACKGROUND

Histone deacetylases (HDACs) modify smooth muscle cell (SMC) proliferation and affect neointimal lesion formation by regulating cell cycle progression. HDACs might also regulate SMC differentiation, although this is not as well characterized.

METHODS AND RESULTS

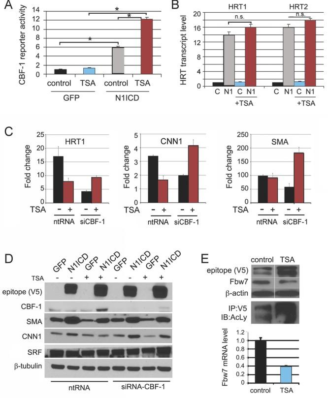
Notch signaling activates SMC contractile markers and the differentiated phenotype in human aortic SMCs. Using this model, we found that HDAC inhibition antagonized the ability of Notch to increase levels of smooth muscle α-actin, calponin1, smooth muscle 22α, and smooth muscle myosin heavy chain. However, inhibition of HDAC activity did not suppress Notch activation of the HRT target genes. In fact, HDAC inhibition increased activation of the canonical C-promoter binding factor-1 (CBF-1)-mediated Notch pathway, which activates HRT transcription. Although CBF-1-mediated Notch signaling was increased by HDAC inhibition in human SMCs and in a C3H10T1/2 model, SMC differentiation was inhibited in both cases. Further characterization of downstream Notch signaling pathways showed activation of the c-Jun N-terminal kinase, p38 mitogen-activated protein kinase, and PI3K/Akt pathways. The activation of these pathways was sensitive to HDAC inhibition and was positively correlated with the differentiated phenotype.

CONCLUSIONS

Our studies define novel signaling pathways downstream of Notch signaling in human SMCs. In addition to the canonical CBF-1 pathway, Notch stimulates c-Jun N-terminal kinase, mitogen-activated protein kinase, and PI3K cascades. Both canonical and noncanonical pathways downstream of Notch promote a differentiated, contractile phenotype in SMCs. Although CBF-1-mediated Notch signaling is not suppressed by HDAC inhibition, HDAC activity is required for Notch differentiation signals through mitogen-activated protein kinase and PI3K pathways in SMCs. (J Am Heart Assoc. 2012;1:e000901 doi: 10.1161/JAHA.112.000901).

摘要

背景

组蛋白去乙酰化酶(HDACs)通过调节细胞周期进程来修饰平滑肌细胞(SMC)增殖并影响新生内膜损伤形成。HDACs 可能也调节 SMC 分化,尽管这方面的特征尚不明确。

方法和结果

Notch 信号激活人主动脉 SMC 中的 SMC 收缩性标志物和分化表型。使用该模型,我们发现 HDAC 抑制拮抗了 Notch 增加平滑肌α-肌动蛋白、钙调蛋白 1、平滑肌 22α 和平滑肌肌球蛋白重链水平的能力。然而,HDAC 活性抑制并不抑制 Notch 激活 HRT 靶基因。事实上,HDAC 抑制增加了经典 C 启动子结合因子-1(CBF-1)介导的 Notch 通路的激活,该通路激活 HRT 转录。尽管 C3H10T1/2 模型和人 SMC 中 HDAC 抑制增加了 CBF-1 介导的 Notch 信号,但两种情况下 SMC 分化均受到抑制。进一步对 Notch 信号下游途径的特征分析显示 c-Jun N 端激酶、p38 丝裂原激活蛋白激酶和 PI3K/Akt 途径的激活。这些途径的激活对 HDAC 抑制敏感,与分化表型呈正相关。

结论

我们的研究在人 SMC 中定义了 Notch 信号下游的新的信号通路。除了经典的 CBF-1 途径外,Notch 还刺激 c-Jun N 端激酶、丝裂原激活蛋白激酶和 PI3K 级联。Notch 下游的经典和非经典途径均促进 SMC 中的分化收缩表型。尽管 CBF-1 介导的 Notch 信号不受 HDAC 抑制抑制,但在 SMC 中,HDAC 活性是 Notch 分化信号通过丝裂原激活蛋白激酶和 PI3K 途径所必需的。(J Am Heart Assoc. 2012;1:e000901 doi: 10.1161/JAHA.112.000901)。

https://cdn.ncbi.nlm.nih.gov/pmc/blobs/8203/3487326/fec855f5c808/jah3-1-e000901-g1.jpg

文献AI研究员

20分钟写一篇综述,助力文献阅读效率提升50倍。

立即体验

用中文搜PubMed

大模型驱动的PubMed中文搜索引擎

马上搜索

文档翻译

学术文献翻译模型,支持多种主流文档格式。

立即体验