Suppr超能文献

CHTF18 的缺失导致雄性小鼠减数分裂重组缺陷。

Disruption of CHTF18 causes defective meiotic recombination in male mice.

机构信息

Department of Obstetrics and Gynecology, Drexel University College of Medicine, Philadelphia, PA, USA.

出版信息

PLoS Genet. 2012;8(11):e1002996. doi: 10.1371/journal.pgen.1002996. Epub 2012 Nov 1.

Abstract

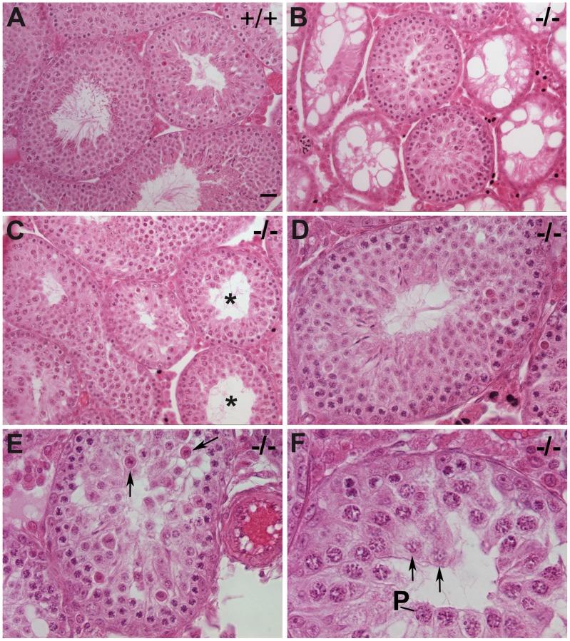
CHTF18 (chromosome transmission fidelity factor 18) is an evolutionarily conserved subunit of the Replication Factor C-like complex, CTF18-RLC. CHTF18 is necessary for the faithful passage of chromosomes from one daughter cell to the next during mitosis in yeast, and it is crucial for germline development in the fruitfly. Previously, we showed that mouse Chtf18 is expressed throughout the germline, suggesting a role for CHTF18 in mammalian gametogenesis. To determine the role of CHTF18 in mammalian germ cell development, we derived mice carrying null and conditional mutations in the Chtf18 gene. Chtf18-null males exhibit 5-fold decreased sperm concentrations compared to wild-type controls, resulting in subfertility. Loss of Chtf18 results in impaired spermatogenesis; spermatogenic cells display abnormal morphology, and the stereotypical arrangement of cells within seminiferous tubules is perturbed. Meiotic recombination is defective and homologous chromosomes separate prematurely during prophase I. Repair of DNA double-strand breaks is delayed and incomplete; both RAD51 and γH2AX persist in prophase I. In addition, MLH1 foci are decreased in pachynema. These findings demonstrate essential roles for CHTF18 in mammalian spermatogenesis and meiosis, and suggest that CHTF18 may function during the double-strand break repair pathway to promote the formation of crossovers.

摘要

CHTF18(染色体传输保真因子 18)是复制因子 C 样复合物 CTF18-RLC 的一个进化上保守的亚基。在酵母的有丝分裂过程中,CHTF18 对于染色体从一个子细胞准确传递到另一个子细胞是必需的,它对于果蝇的生殖系发育也是至关重要的。之前,我们发现小鼠 Chtf18 在整个生殖系中表达,这表明 CHTF18 在哺乳动物配子发生中发挥作用。为了确定 CHTF18 在哺乳动物生殖细胞发育中的作用,我们构建了 Chtf18 基因缺失和条件性突变的小鼠。与野生型对照相比,Chtf18 缺失的雄性小鼠的精子浓度降低了 5 倍,导致生育能力下降。Chtf18 的缺失导致精子发生受损;精原细胞显示出异常的形态,并且精小管内细胞的典型排列受到干扰。减数分裂重组有缺陷,同源染色体在前期 I 过早分离。DNA 双链断裂的修复被延迟和不完全;RAD51 和 γH2AX 在前期 I 中持续存在。此外,MLH1 焦点在粗线期减少。这些发现表明 CHTF18 在哺乳动物精子发生和减数分裂中具有重要作用,并表明 CHTF18 可能在双链断裂修复途径中发挥作用,以促进交叉的形成。

https://cdn.ncbi.nlm.nih.gov/pmc/blobs/b793/3486840/eeca3a6dbb66/pgen.1002996.g001.jpg

文献AI研究员

20分钟写一篇综述,助力文献阅读效率提升50倍。

立即体验

用中文搜PubMed

大模型驱动的PubMed中文搜索引擎

马上搜索

文档翻译

学术文献翻译模型,支持多种主流文档格式。

立即体验