Suppr超能文献

牙医对牙周病治疗的兴趣与满意度:一项基于牙龈退缩治疗的调查。

Interest and satisfaction of dentists in practicing periodontics: A survey based on treatment of gingival recession.

作者信息

Grover Vishakha, Kapoor Anoop, Malhotra Ranjan, Sachdeva Sonia

机构信息

Department of Periodontology and Oral Implantology, National Dental College and Hospital, Gulabgarh, Derabassi, Dist. SAS Nagar, Mohali (Punjab), India.

出版信息

Dent Res J (Isfahan). 2012 Jul;9(4):404-13.

Abstract

BACKGROUND

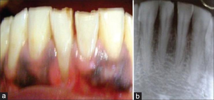
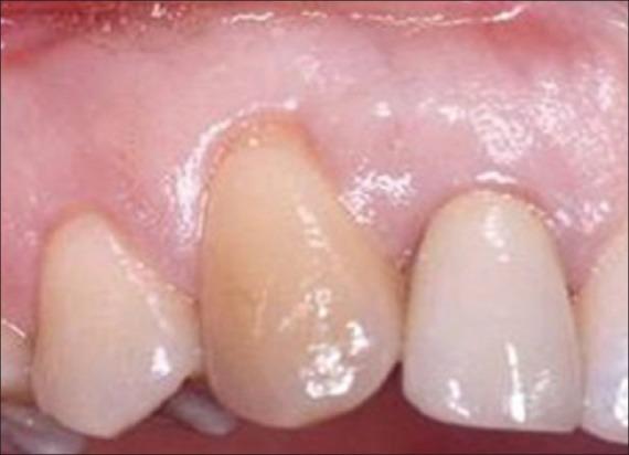
Gingival recession is a common occurrence and patients often report to dental clinic with associated problems such as root surface hypersensitivity, esthetic concerns, cervical root abrasions, and root caries that make it a concern for patients. Based upon the fact that gingival recession is an enigma for clinicians because of multitude of etiological factors and plethora of treatment modalities present for its treatment, a survey was conducted to assess knowledge as well as opinion about most common etiology, classification, and preferred treatment of gingival recession and to evaluate the interest and satisfaction of dentists in practicing periodontics.

MATERIALS AND METHODS

Study design consisted of a cross-sectional online survey, conducted among dentists practicing in state of Punjab, India, in the month of April 2011. A structured online questionnaire consisting of 17 questions evaluating the interest of dentists in periodontics based on knowledge about gingival recession (most of them giving the possibility of multiple choices of answers) was sent to about 300 dentists. Pearson Chi-Square and Mann-Whitney U tests were used for statistical analysis of data collected. P ≤ 0.05 was considered as statistically significant and P ≤ 0.01 considered as highly significant.

RESULTS

A greater proportion of periodontists had better knowledge about etiology (P = 0.07), classification (P = 0.000), and treatment of gingival recession (P = 0.000). A greater number of periodontists opted for the surgical modalities to correct the defects produced by gingival recession as compared to non-periodontists and had better interest (P = 0.000) and satisfaction (P = 0.000) in practicing periodontics.

CONCLUSION

The results elucidated that periodontists had better interest and satisfaction in practicing periodontics, and were more inclined towards surgical correction of gingival recession as compared to non-periodontists.

摘要

背景

牙龈退缩是一种常见情况,患者常因相关问题如牙根面过敏、美观问题、颈部牙根磨损和根龋等前往牙科诊所就诊,这使其成为患者关注的问题。鉴于牙龈退缩因多种病因和大量治疗方式而给临床医生带来难题,开展了一项调查,以评估关于牙龈退缩最常见病因、分类和首选治疗方法的知识及看法,并评估牙医对牙周病学实践的兴趣和满意度。

材料与方法

研究设计为横断面在线调查,于2011年4月在印度旁遮普邦执业的牙医中进行。向约300名牙医发送了一份包含17个问题的结构化在线问卷,这些问题基于对牙龈退缩的了解来评估牙医对牙周病学的兴趣(大多数问题提供了多个答案选项)。对收集到的数据进行Pearson卡方检验和Mann-Whitney U检验进行统计分析。P≤0.05被认为具有统计学意义,P≤0.01被认为具有高度统计学意义。

结果

更大比例的牙周病医生对牙龈退缩的病因(P = 0.07)、分类(P = 0.000)和治疗(P = 0.000)有更好的了解。与非牙周病医生相比,更多的牙周病医生选择手术方式来纠正牙龈退缩产生的缺陷,并且对牙周病学实践有更好的兴趣(P = 0.000)和满意度(P = 0.000)。

结论

结果表明,与非牙周病医生相比,牙周病医生对牙周病学实践有更好的兴趣和满意度,并且更倾向于手术纠正牙龈退缩。

https://cdn.ncbi.nlm.nih.gov/pmc/blobs/dbfd/3491326/1a7a50e3de2b/DRJ-9-404-g001.jpg

文献AI研究员

20分钟写一篇综述,助力文献阅读效率提升50倍。

立即体验

用中文搜PubMed

大模型驱动的PubMed中文搜索引擎

马上搜索

文档翻译

学术文献翻译模型,支持多种主流文档格式。

立即体验