Suppr超能文献

老虫再现:脑型并殖吸虫病合并脑出血

The return of an old worm: cerebral paragonimiasis presenting with intracerebral hemorrhage.

机构信息

Division of Pediatric Neurosurgery, Seoul National University Children's Hospital, Seoul, Korea.

出版信息

J Korean Med Sci. 2012 Nov;27(11):1428-32. doi: 10.3346/jkms.2012.27.11.1428. Epub 2012 Oct 30.

Abstract

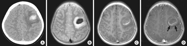
Paragonimiasis is caused by ingesting crustaceans, which are the intermediate hosts of Paragonimus. The involvement of the brain was a common presentation in Korea decades ago, but it becomes much less frequent in domestic medical practices. We observed a rare case of cerebral paragonimiasis manifesting with intracerebral hemorrhage. A 10-yr-old girl presented with sudden-onset dysarthria, right facial palsy and clumsiness of the right hand. Brain imaging showed acute intracerebral hemorrhage in the left frontal area. An occult vascular malformation or small arteriovenous malformation compressed by the hematoma was initially suspected. The lesion progressed for over 2 months until a delayed surgery was undertaken. Pathologic examination was consistent with cerebral paragonimiasis. After chemotherapy with praziquantel, the patient was monitored without neurological deficits or seizure attacks for 6 months. This case alerts practicing clinicians to the domestic transmission of a forgotten parasitic disease due to environmental changes.

摘要

并殖吸虫病是因摄入并殖吸虫的中间宿主——甲壳类动物而引起的。在几十年前的韩国,脑部感染较为常见,但在国内的医疗实践中已很少见。我们观察到一例罕见的脑并殖吸虫病表现为颅内出血的病例。一名 10 岁女孩突发出现构音障碍、右侧面瘫和右手笨拙。脑部影像学检查显示左额区急性脑出血。最初怀疑是隐匿性血管畸形或被血肿压迫的小动静脉畸形。病变持续了 2 个多月,直到进行了延迟手术。病理检查结果符合脑并殖吸虫病。患者接受了吡喹酮化疗,6 个月内未出现神经功能缺损或癫痫发作。该病例提醒临床医生注意因环境变化而导致国内被遗忘的寄生虫病的传播。

https://cdn.ncbi.nlm.nih.gov/pmc/blobs/295e/3492682/b3849f3a6983/jkms-27-1428-g001.jpg

文献AI研究员

20分钟写一篇综述,助力文献阅读效率提升50倍。

立即体验

用中文搜PubMed

大模型驱动的PubMed中文搜索引擎

马上搜索

文档翻译

学术文献翻译模型,支持多种主流文档格式。

立即体验