• 文献检索
  • 文档翻译
  • 深度研究
  • 学术资讯
  • Suppr Zotero 插件Zotero 插件
  • 邀请有礼
  • 套餐&价格
  • 历史记录
应用&插件
Suppr Zotero 插件Zotero 插件浏览器插件Mac 客户端Windows 客户端微信小程序
定价
高级版会员购买积分包购买API积分包
服务
文献检索文档翻译深度研究API 文档MCP 服务
关于我们
关于 Suppr公司介绍联系我们用户协议隐私条款
关注我们

Suppr 超能文献

核心技术专利:CN118964589B侵权必究
粤ICP备2023148730 号-1Suppr @ 2026

文献检索

告别复杂PubMed语法,用中文像聊天一样搜索,搜遍4000万医学文献。AI智能推荐,让科研检索更轻松。

立即免费搜索

文件翻译

保留排版,准确专业,支持PDF/Word/PPT等文件格式,支持 12+语言互译。

免费翻译文档

深度研究

AI帮你快速写综述,25分钟生成高质量综述,智能提取关键信息,辅助科研写作。

立即免费体验

一例酷似憩室炎或腹部脓肿的异位性腹膜肺吸虫病病例。

A Case of Ectopic Peritoneal Paragonimiasis Mimicking Diverticulitis or Abdominal Abscess.

作者信息

Kim Min Jae, Kim Sung-Han, Lee Sang-Oh, Choi Sang-Ho, Kim Yang Soo, Woo Jun Hee, Yoon Yong Sik, Kim Kyung Won, Cho Jaeeun, Chai Jong-Yil, Chong Yong Pil

机构信息

Department of Infectious Diseases, Asan Medical Center, Seoul 05505, Korea.

Department of Surgery, Asan Medical Center, Seoul 05505, Korea.

出版信息

Korean J Parasitol. 2017 Jun;55(3):313-317. doi: 10.3347/kjp.2017.55.3.313. Epub 2017 Jun 30.

DOI:10.3347/kjp.2017.55.3.313
PMID:28719956
原文链接:https://pmc.ncbi.nlm.nih.gov/articles/PMC5523897/
Abstract

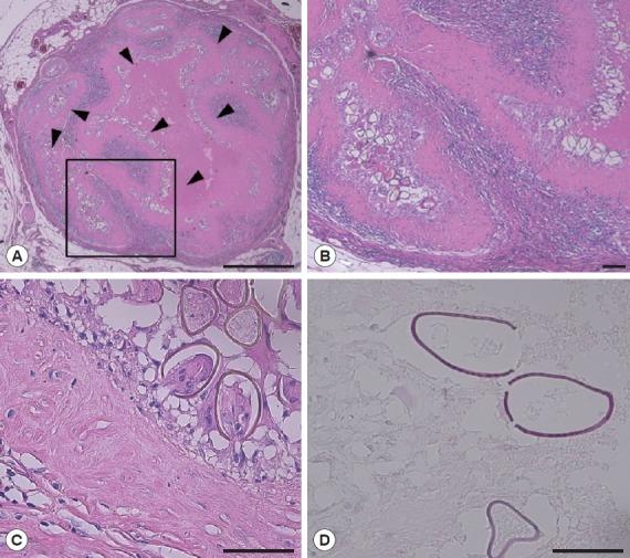
Paragonimiasis is a parasitic disease caused by species. The primary site of infection is the lung, and extrapulmonary involvement is also reported. When infected with , which is the dominant species in Korea, the central nervous system is frequently involved along with the liver, intestine, peritoneal cavity, retroperitoneum, and abdominal wall. Ectopic paragonimiasis raises diagnostic challenge since it is uncommon and may be confused with malignancy or other inflammatory diseases. Here, we report an ectopic paragonimiasis case initially presented with recurrent abdominal pain. The patient developed abdominal pain 3 times for the previous 3 years and the computed tomography (CT) of the abdomen revealed fluid collection with wall enhancement. Recurrent diverticulitis was initially suspected and part of the ascending colon was resected. However, the specimen showed intact colon wall without evidence of diverticulitis and multiple parasite eggs and granulomas were found instead. The size of about 70 μm, the presence of an operculum and relatively thick egg shell suggested eggs of species. With appropriate exposure history and a positive antibody test, the definitive diagnosis was made as peritoneal paragonimiasis.

摘要

肺吸虫病是由多种肺吸虫引起的寄生虫病。主要感染部位是肺,也有肺外受累的报道。感染韩国的优势种肺吸虫时,中枢神经系统常与肝脏、肠道、腹腔、腹膜后和腹壁一起受累。异位肺吸虫病增加了诊断挑战,因为它不常见,可能与恶性肿瘤或其他炎症性疾病混淆。在此,我们报告一例最初表现为反复腹痛的异位肺吸虫病病例。患者在过去3年中出现腹痛3次,腹部计算机断层扫描(CT)显示有壁强化的液体积聚。最初怀疑为复发性憩室炎,并切除了部分升结肠。然而,标本显示结肠壁完整,无憩室炎证据,取而代之的是发现了多个寄生虫卵和肉芽肿。约70μm的大小、有卵盖以及相对较厚的卵壳提示为肺吸虫卵。结合适当的接触史和抗体检测阳性,最终诊断为腹膜肺吸虫病。

https://cdn.ncbi.nlm.nih.gov/pmc/blobs/5ec8/5523897/235cce827f19/kjp-55-3-313f2.jpg
https://cdn.ncbi.nlm.nih.gov/pmc/blobs/5ec8/5523897/0b075e736b21/kjp-55-3-313f1.jpg
https://cdn.ncbi.nlm.nih.gov/pmc/blobs/5ec8/5523897/235cce827f19/kjp-55-3-313f2.jpg
https://cdn.ncbi.nlm.nih.gov/pmc/blobs/5ec8/5523897/0b075e736b21/kjp-55-3-313f1.jpg
https://cdn.ncbi.nlm.nih.gov/pmc/blobs/5ec8/5523897/235cce827f19/kjp-55-3-313f2.jpg

相似文献

1
A Case of Ectopic Peritoneal Paragonimiasis Mimicking Diverticulitis or Abdominal Abscess.一例酷似憩室炎或腹部脓肿的异位性腹膜肺吸虫病病例。
Korean J Parasitol. 2017 Jun;55(3):313-317. doi: 10.3347/kjp.2017.55.3.313. Epub 2017 Jun 30.
2
First case of Paragonimus westermani infection in a female patient in India.印度一名女性患者感染卫氏并殖吸虫的首例病例。
Indian J Med Microbiol. 2015 Feb;33 Suppl:156-9. doi: 10.4103/0255-0857.150950.
3
Intestinal paragonimiasis with colonic ulcer and hematochezia in an elderly Taiwanese woman.一名台湾老年女性患肠道肺吸虫病伴结肠溃疡和便血。
Korean J Parasitol. 2012 Dec;50(4):349-52. doi: 10.3347/kjp.2012.50.4.349. Epub 2012 Nov 26.
4
Laparoscopic excision of intra-abdominal paragonimiasis.腹腔镜下腹腔内并殖吸虫病切除术
Surg Laparosc Endosc Percutan Tech. 2007 Dec;17(6):556-8. doi: 10.1097/SLE.0b013e31813738c7.
5
[Paragonimiasis westermani with repeated pleural effusion and diagnosed by detecting parasite eggs in pleural effusion].[卫氏并殖吸虫病伴反复胸腔积液及通过检测胸腔积液中的寄生虫卵确诊]
Nihon Kokyuki Gakkai Zasshi. 2007 Jan;45(1):49-53.
6
[A case of Westermani Paragonimiasis with atypical change of CT findings].[一例伴有CT表现非典型改变的卫氏并殖吸虫病]
Nihon Kokyuki Gakkai Zasshi. 2005 Dec;43(12):771-4.
7
Cutaneous paragonimiasis due to triploid Paragonimus westermani presenting as a non-migratory subcutaneous nodule: a case report.三倍体卫氏并殖吸虫所致皮肤并殖吸虫病表现为非游走性皮下结节:一例报告
J Med Case Rep. 2014 Oct 16;8:346. doi: 10.1186/1752-1947-8-346.
8
A pulmonary paragonimiasis case mimicking metastatic pulmonary tumor.一例酷似转移性肺肿瘤的肺吸虫病病例。
Korean J Parasitol. 2011 Mar;49(1):69-72. doi: 10.3347/kjp.2011.49.1.69. Epub 2011 Mar 18.
9
Ectopic peritoneal paragonimiasis mimicking tuberculous peritonitis: A care report.误诊为结核性腹膜炎的异位腹膜肺吸虫病:一例护理报告。
World J Clin Cases. 2022 Jun 6;10(16):5359-5364. doi: 10.12998/wjcc.v10.i16.5359.
10
Paragonimus westermani infection mimicking recurrent lung cancer: A case report.
J Infect Chemother. 2016 Dec;22(12):815-818. doi: 10.1016/j.jiac.2016.07.002. Epub 2016 Aug 5.

引用本文的文献

1
Ectopic peritoneal paragonimiasis mimicking tuberculous peritonitis: A care report.误诊为结核性腹膜炎的异位腹膜肺吸虫病:一例护理报告。
World J Clin Cases. 2022 Jun 6;10(16):5359-5364. doi: 10.12998/wjcc.v10.i16.5359.
2
General overview of the current status of human foodborne trematodiasis.人体食源性吸虫病现状概述。
Parasitology. 2022 Sep;149(10):1262-1285. doi: 10.1017/S0031182022000725. Epub 2022 May 20.
3
Laparoscopic excision for ectopic peritoneal paragonimiasis mimicking a gastric duplication cyst: A case report.

本文引用的文献

1
Ectopic Human Fasciola hepatica Infection by an Adult Worm in the Mesocolon.结肠系膜内成人肝片形吸虫异位感染
Korean J Parasitol. 2015 Dec;53(6):725-30. doi: 10.3347/kjp.2015.53.6.725. Epub 2015 Dec 31.
2
[A Case of Intra-abdominal Paragonimiasis Mimicking Metastasis of Lung Cancer Diagnosed by Endoscopic Ultrasound-guided Fine Needle Aspiration].
Korean J Gastroenterol. 2015 Jul;66(1):41-5. doi: 10.4166/kjg.2015.66.1.41.
3
Paragonimiasis.肺吸虫病
Adv Exp Med Biol. 2014;766:115-52. doi: 10.1007/978-1-4939-0915-5_5.
腹腔镜切除酷似胃重复囊肿的异位腹膜肺吸虫病:一例报告
Ann Med Surg (Lond). 2021 Aug 23;69:102754. doi: 10.1016/j.amsu.2021.102754. eCollection 2021 Sep.
4
One delayed diagnosis of paragonimiasis case and literature review.一例肺吸虫病延迟诊断病例及文献复习
Respirol Case Rep. 2021 Apr 28;9(5):e00750. doi: 10.1002/rcr2.750. eCollection 2021 May.
5
Simultaneous infection involving the breast and lung: A case report.乳房和肺部同时感染:一例报告。
World J Clin Cases. 2019 Dec 26;7(24):4292-4298. doi: 10.12998/wjcc.v7.i24.4292.
6
A Paragonimiasis Mimicking Gastric Submucosal Tumor.
J Korean Med Sci. 2019 Feb 18;34(6):e45. doi: 10.3346/jkms.2019.34.e45.
4
[Heterotopic paragonimiasis presented by intra-abdominal masses].[以腹腔肿块为表现的异位肺吸虫病]
Korean J Gastroenterol. 2013 Jun;61(6):351-3. doi: 10.4166/kjg.2013.61.6.351.
5
Paragonimiasis.肺吸虫病
Handb Clin Neurol. 2013;114:283-96. doi: 10.1016/B978-0-444-53490-3.00023-6.
6
Peritoneal manifestations of fascioliasis on CT images: a new observation.肝片吸虫病在CT图像上的腹膜表现:一项新观察
Abdom Imaging. 2013 Aug;38(4):839-43. doi: 10.1007/s00261-013-9983-x.
7
Intestinal paragonimiasis with colonic ulcer and hematochezia in an elderly Taiwanese woman.一名台湾老年女性患肠道肺吸虫病伴结肠溃疡和便血。
Korean J Parasitol. 2012 Dec;50(4):349-52. doi: 10.3347/kjp.2012.50.4.349. Epub 2012 Nov 26.
8
Paragonimiasis in the abdominal cavity and subcutaneous tissue: report of 3 cases.腹腔及皮下组织肺吸虫病:3例报告
Korean J Parasitol. 2012 Dec;50(4):345-7. doi: 10.3347/kjp.2012.50.4.345. Epub 2012 Nov 26.
9
The return of an old worm: cerebral paragonimiasis presenting with intracerebral hemorrhage.老虫再现:脑型并殖吸虫病合并脑出血
J Korean Med Sci. 2012 Nov;27(11):1428-32. doi: 10.3346/jkms.2012.27.11.1428. Epub 2012 Oct 30.
10
Cerebral paragonimiasis: a retrospective analysis of 89 cases.脑型肺吸虫病:89例回顾性分析
Clin Neurol Neurosurg. 2013 May;115(5):546-51. doi: 10.1016/j.clineuro.2012.06.025. Epub 2012 Jul 13.