Suppr超能文献

强直性脊柱炎小鼠模型中过度的骨形成与Wnt信号通路抑制剂的减少有关。

Excessive bone formation in a mouse model of ankylosing spondylitis is associated with decreases in Wnt pathway inhibitors.

作者信息

Haynes Katelin R, Pettit Allison R, Duan Ran, Tseng Hsu-Wen, Glant Tibor T, Brown Matthew A, Thomas Gethin P

出版信息

Arthritis Res Ther. 2012 Nov 22;14(6):R253. doi: 10.1186/ar4096.

Abstract

INTRODUCTION

Ankylosing spondylitis (AS) is unique in its pathology where inflammation commences at the entheses before progressing to an osteoproliferative phenotype generating excessive bone formation that can result in joint fusion. The underlying mechanisms of this progression are poorly understood. Recent work has suggested that changes in Wnt signalling, a key bone regulatory pathway, may contribute to joint ankylosis in AS. Using the proteoglycan-induced spondylitis (PGISp) mouse model which displays spondylitis and eventual joint fusion following an initial inflammatory stimulus, we have characterised the structural and molecular changes that underlie disease progression.

METHODS

PGISp mice were characterised 12 weeks after initiation of inflammation using histology, immunohistochemistry (IHC) and expression profiling.

RESULTS

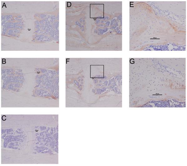
Inflammation initiated at the periphery of the intervertebral discs progressing to disc destruction followed by massively excessive cartilage and bone matrix formation, as demonstrated by toluidine blue staining and IHC for collagen type I and osteocalcin, leading to syndesmophyte formation. Expression levels of DKK1 and SOST, Wnt signalling inhibitors highly expressed in joints, were reduced by 49% and 63% respectively in the spine PGISp compared with control mice (P < 0.05) with SOST inhibition confirmed by IHC. Microarray profiling showed genes involved in inflammation and immune-regulation were altered. Further, a number of genes specifically involved in bone regulation including other members of the Wnt pathway were also dysregulated.

CONCLUSIONS

This study implicates the Wnt pathway as a likely mediator of the mechanism by which inflammation induces bony ankylosis in spondyloarthritis, raising the potential that therapies targeting this pathway may be effective in preventing this process.

摘要

引言

强直性脊柱炎(AS)在病理学上具有独特性,炎症始于附着点,随后发展为骨增殖表型,导致过度的骨形成,进而可引起关节融合。这种进展的潜在机制尚不清楚。最近的研究表明,关键的骨调节通路Wnt信号的变化可能导致AS中的关节强直。利用蛋白聚糖诱导的脊柱炎(PGISp)小鼠模型,该模型在初始炎症刺激后表现出脊柱炎并最终发生关节融合,我们已经对疾病进展的结构和分子变化进行了表征。

方法

利用组织学、免疫组织化学(IHC)和表达谱分析对炎症开始12周后的PGISp小鼠进行表征。

结果

炎症始于椎间盘周边,发展为椎间盘破坏,随后大量软骨和骨基质过度形成,甲苯胺蓝染色以及I型胶原和骨钙素的免疫组织化学检测证实了这一点,最终导致骨桥形成。与对照小鼠相比,脊柱PGISp中关节高表达的Wnt信号抑制剂DKK1和SOST的表达水平分别降低了49%和63%(P < 0.05),免疫组织化学证实了SOST的抑制。微阵列分析显示参与炎症和免疫调节的基因发生了改变。此外,一些专门参与骨调节的基因,包括Wnt通路的其他成员也失调。

结论

本研究表明Wnt通路可能是脊柱关节炎中炎症诱导骨强直机制的介质,这增加了靶向该通路的治疗方法可能有效预防这一过程的可能性。

https://cdn.ncbi.nlm.nih.gov/pmc/blobs/6ffd/3674607/f68fc8d19bac/ar4096-1.jpg

文献AI研究员

20分钟写一篇综述,助力文献阅读效率提升50倍。

立即体验

用中文搜PubMed

大模型驱动的PubMed中文搜索引擎

马上搜索

文档翻译

学术文献翻译模型,支持多种主流文档格式。

立即体验