Department of Biochemistry, Temple University, Philadelphia, Pennsylvania 19140, USA.
Nat Cell Biol. 2012 Dec;14(12):1336-43. doi: 10.1038/ncb2622. Epub 2012 Nov 25.
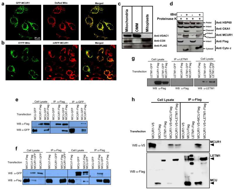
Ca(2+) flux across the mitochondrial inner membrane regulates bioenergetics, cytoplasmic Ca(2+) signals and activation of cell death pathways. Mitochondrial Ca(2+) uptake occurs at regions of close apposition with intracellular Ca(2+) release sites, driven by the inner membrane voltage generated by oxidative phosphorylation and mediated by a Ca(2+) selective ion channel (MiCa; ref. ) called the uniporter whose complete molecular identity remains unknown. Mitochondrial calcium uniporter (MCU) was recently identified as the likely ion-conducting pore. In addition, MICU1 was identified as a mitochondrial regulator of uniporter-mediated Ca(2+) uptake in HeLa cells. Here we identified CCDC90A, hereafter referred to as MCUR1 (mitochondrial calcium uniporter regulator 1), an integral membrane protein required for MCU-dependent mitochondrial Ca(2+) uptake. MCUR1 binds to MCU and regulates ruthenium-red-sensitive MCU-dependent Ca(2+) uptake. MCUR1 knockdown does not alter MCU localization, but abrogates Ca(2+) uptake by energized mitochondria in intact and permeabilized cells. Ablation of MCUR1 disrupts oxidative phosphorylation, lowers cellular ATP and activates AMP kinase-dependent pro-survival autophagy. Thus, MCUR1 is a critical component of a mitochondrial uniporter channel complex required for mitochondrial Ca(2+) uptake and maintenance of normal cellular bioenergetics.
线粒体内膜 Ca(2+) 流调节生物能量、细胞质 Ca(2+) 信号和细胞死亡途径的激活。线粒体 Ca(2+) 摄取发生在与细胞内 Ca(2+) 释放位点紧密毗邻的区域,由氧化磷酸化产生的内膜电压驱动,由称为单向转运体(MiCa;参考文献)的 Ca(2+) 选择性离子通道介导,其完整的分子身份仍然未知。线粒体钙单向转运体(MCU)最近被确定为可能的离子传导孔。此外,MICU1 被鉴定为 HeLa 细胞中单向转运体介导的 Ca(2+) 摄取的线粒体调节剂。在这里,我们鉴定了 CCDC90A,以下简称 MCUR1(线粒体钙单向转运体调节剂 1),这是一种完整的膜蛋白,是 MCU 依赖性线粒体 Ca(2+) 摄取所必需的。MCUR1 与 MCU 结合并调节钌红敏感的 MCU 依赖性 Ca(2+) 摄取。MCUR1 敲低不会改变 MCU 的定位,但会阻止完整和通透细胞中受能线粒体的 Ca(2+) 摄取。MCUR1 的缺失会破坏氧化磷酸化,降低细胞内 ATP 并激活 AMP 激酶依赖性存活自噬。因此,MCUR1 是线粒体单向转运体通道复合物的关键组成部分,该复合物对于线粒体 Ca(2+) 摄取和维持正常细胞生物能量至关重要。