Suppr超能文献

耶尔森氏菌 YscU 的自体水解和分子内解离先于其 C 端多肽 YscU(CC)的分泌。

Autoproteolysis and intramolecular dissociation of Yersinia YscU precedes secretion of its C-terminal polypeptide YscU(CC).

机构信息

Department of Molecular Biology and The Laboratory for Molecular Infection Medicine Sweden (MIMS), Umeå University, Umeå, Sweden.

出版信息

PLoS One. 2012;7(11):e49349. doi: 10.1371/journal.pone.0049349. Epub 2012 Nov 21.

Abstract

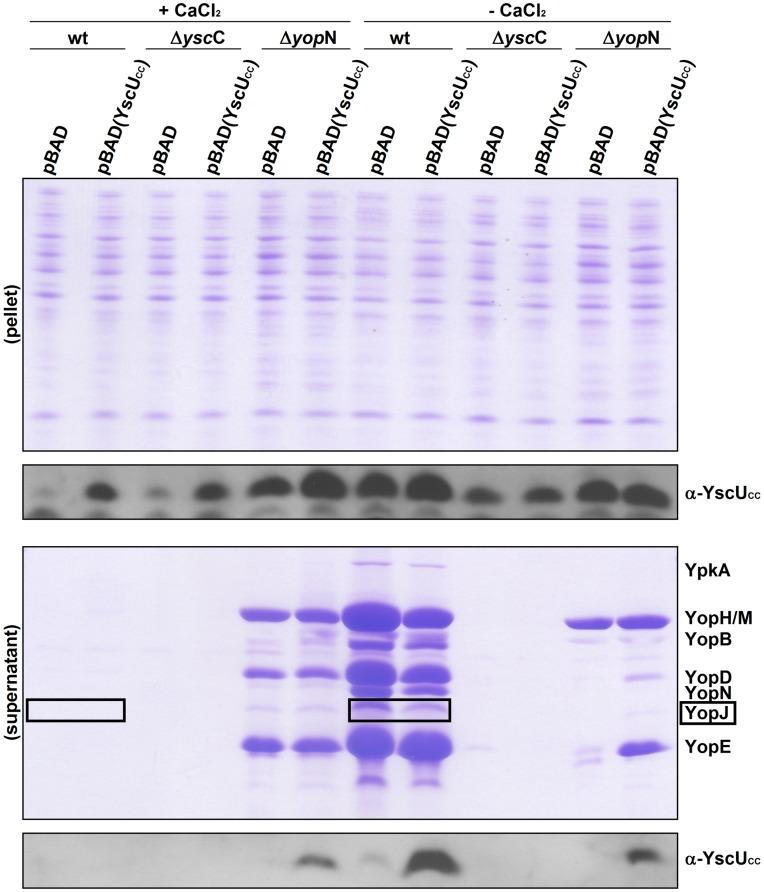
Type III secretion system mediated secretion and translocation of Yop-effector proteins across the eukaryotic target cell membrane by pathogenic Yersinia is highly organized and is dependent on a switching event from secretion of early structural substrates to late effector substrates (Yops). Substrate switching can be mimicked in vitro by modulating the calcium levels in the growth medium. YscU that is essential for regulation of this switch undergoes autoproteolysis at a conserved N↑PTH motif, resulting in a 10 kDa C-terminal polypeptide fragment denoted YscU(CC). Here we show that depletion of calcium induces intramolecular dissociation of YscU(CC) from YscU followed by secretion of the YscU(CC) polypeptide. Thus, YscU(CC) behaved in vivo as a Yop protein with respect to secretion properties. Further, destabilized yscU mutants displayed increased rates of dissociation of YscU(CC)in vitro resulting in enhanced Yop secretion in vivo at 30°C relative to the wild-type strain.These findings provide strong support to the relevance of YscU(CC) dissociation for Yop secretion. We propose that YscU(CC) orchestrates a block in the secretion channel that is eliminated by calcium depletion. Further, the striking homology between different members of the YscU/FlhB family suggests that this protein family possess regulatory functions also in other bacteria using comparable mechanisms.

摘要

III 型分泌系统介导致病性耶尔森氏菌将 Yop 效应蛋白穿过真核靶细胞膜分泌和转运,这一过程高度有序,依赖于从早期结构底物的分泌到晚期效应底物(Yops)的分泌转换事件。通过调节生长培养基中的钙水平,可以在体外模拟底物转换。对于这种转换的调节至关重要的 YscU 在保守的 N↑PTH 模体处经历自身蛋白水解,导致 10 kDa C 末端多肽片段表示为 YscU(CC)。在这里,我们表明钙耗竭诱导 YscU(CC)从 YscU 分子内解离,随后 YscU(CC)多肽被分泌。因此,YscU(CC)在体内表现为 Yop 蛋白,就分泌特性而言。此外,不稳定的 yscU 突变体在体外显示出更高的 YscU(CC)解离速率,导致在 30°C 时体内 Yop 分泌增加,与野生型菌株相比。这些发现为 YscU(CC)解离对于 Yop 分泌的相关性提供了有力支持。我们提出,YscU(CC)协调了分泌通道的阻断,该阻断通过钙耗竭消除。此外,YscU/FlhB 家族不同成员之间的惊人同源性表明,该蛋白家族在使用类似机制的其他细菌中也具有调节功能。

https://cdn.ncbi.nlm.nih.gov/pmc/blobs/e7e6/3504009/0b9df138c831/pone.0049349.g001.jpg

文献AI研究员

20分钟写一篇综述,助力文献阅读效率提升50倍。

立即体验

用中文搜PubMed

大模型驱动的PubMed中文搜索引擎

马上搜索

文档翻译

学术文献翻译模型,支持多种主流文档格式。

立即体验