Suppr超能文献

盆腔异位肾上方的肾周筋膜:虚构还是现实?

Gerota's fascia over a pelvic ectopic kidney: Myth or reality?

作者信息

Goel Apul

机构信息

Department of Urology, CSM Medical University, Lucknow, India.

出版信息

Indian J Urol. 2012 Jul;28(3):318-21. doi: 10.4103/0970-1591.102712.

Abstract

OBJECTIVE

To prospectively evaluate for the presence or absence of Gerota's fascia in a pelvic ectopic kidney, as this is not well documented.

MATERIALS AND METHODS

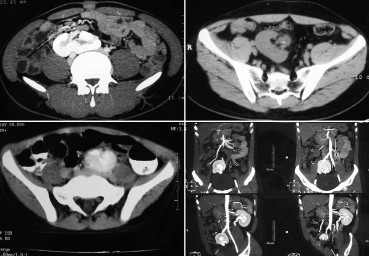
Between January 2007 and July 2011, all patients with normal renal functions presenting to the Urology Clinic with pelvic ectopic kidney were evaluated for the presence of fascia similar to Gerota's fascia. Specific evaluation included a contrast-enhanced computed tomography (CT) scan and open surgery where indicated. A literature search using PubMed was also done for the period between 1990 and May 2011 using the terms 'Gerota's fascia', 'perirenal fascia,' and 'pelvic kidney'.

RESULTS

Eleven patients were evaluated. The mean age was 28.6 years (range 7 to 50). The presentation included stone disease in six, pelvi-ureteric obstruction in three, and as part of the evaluation for other causes of lower abdominal pain, it was found in two. A CT scan performed on eight patients did not show any evidence of fascia, while surgical exploration done on seven showed a well-defined fascial layer, at least on the ventral aspect of the kidney. A literature search also did not show any information about Gerota's fascia in the pelvic kidney.

CONCLUSION

Further anatomical / radiological studies are needed to definitively document the presence of Gerota's fascia around a pelvic kidney. Our data is more in favor of the presence of such a perirenal fascia similar to Gerota's fascia.

摘要

目的

前瞻性评估盆腔异位肾中是否存在肾周筋膜,因为这方面的记录并不充分。

材料与方法

2007年1月至2011年7月期间,对所有肾功能正常且因盆腔异位肾就诊于泌尿外科门诊的患者进行评估,以确定是否存在类似于肾周筋膜的筋膜。具体评估包括增强计算机断层扫描(CT)以及必要时的开放手术。还使用PubMed在1990年至2011年5月期间以“肾周筋膜”“肾周筋膜”和“盆腔肾”为关键词进行了文献检索。

结果

共评估了11例患者。平均年龄为28.6岁(范围7至50岁)。临床表现包括6例结石病、3例肾盂输尿管梗阻,另外2例是在评估下腹部疼痛的其他原因时发现的。8例患者进行的CT扫描未显示任何筋膜存在的证据,而7例患者进行的手术探查显示至少在肾脏腹侧有一层界限清晰的筋膜。文献检索也未发现关于盆腔肾中肾周筋膜的任何信息。

结论

需要进一步的解剖学/放射学研究来明确记录盆腔肾周围肾周筋膜的存在。我们的数据更倾向于存在类似于肾周筋膜的肾周筋膜。

https://cdn.ncbi.nlm.nih.gov/pmc/blobs/9d4d/3507403/3856869021c9/IJU-28-318-g001.jpg

文献AI研究员

20分钟写一篇综述,助力文献阅读效率提升50倍。

立即体验

用中文搜PubMed

大模型驱动的PubMed中文搜索引擎

马上搜索

文档翻译

学术文献翻译模型,支持多种主流文档格式。

立即体验