Suppr超能文献

Laparoscopic radical nephrectomy in a pelvic ectopic kidney: keys to success.

作者信息

Chung Benjamin I, Liao Joseph C

机构信息

Department of Urology, Stanford University School of Medicine, Stanford, California 94305, USA.

出版信息

JSLS. 2010 Jan-Mar;14(1):126-9. doi: 10.4293/108680810X12674612765623.

Abstract

BACKGROUND AND OBJECTIVES

Laparoscopic radical nephrectomy of a pelvic kidney for renal cell carcinoma is a procedure with little precedent, but one that offers the advantages of the minimally invasive approach. We present our experience with this unique procedure.

METHODS

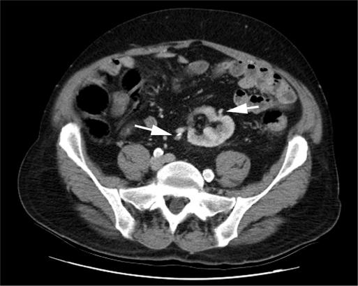
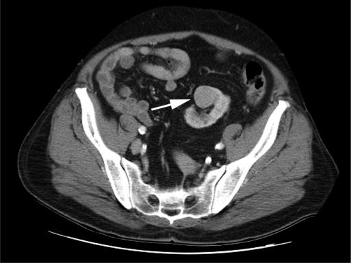
A 64-year-old male with a history of end-stage renal disease was diagnosed with a 2.6-cm enhancing mass in a pelvic left kidney with 2 separate sources of blood supply. He was offered either an open radical nephrectomy or a laparoscopic radical nephrectomy and opted for the minimally invasive approach.

RESULTS

The procedure was performed successfully without complications and with minimal blood loss. The case was marked both by difficulty in mobilizing the sigmoid colon and the limited working space of the pelvis, which made localization of the numerous hilar vessels challenging.

CONCLUSIONS

Laparoscopic radical nephrectomy for a pelvic ectopic kidney appears to be safe and efficacious. Success is dependent on familiarity with pelvic anatomy, optimal port placement, and preprocedure knowledge of the often-complicated vascular anatomy of the ectopic kidney. Preoperative imaging to delineate anomalous vascular anatomy is mandatory, and ureteral catheter placement is helpful for intraoperative identification purposes.

摘要
https://cdn.ncbi.nlm.nih.gov/pmc/blobs/514b/3021314/973e88cfc4e8/jsls-14-1-126-g01.jpg

文献AI研究员

20分钟写一篇综述,助力文献阅读效率提升50倍。

立即体验

用中文搜PubMed

大模型驱动的PubMed中文搜索引擎

马上搜索

文档翻译

学术文献翻译模型,支持多种主流文档格式。

立即体验