Suppr超能文献

内镜超声引导下腹腔神经节细针穿刺抽吸术:一个诊断陷阱。

Endoscopic ultrasound-guided fine needle aspiration of the celiac ganglion: A diagnostic pitfall.

作者信息

Xia Di, Gilbert-Lewis Kidada N, Bhutani Manoop S, Nawgiri Ranjana S

机构信息

Address: Department of Pathology, University of Texas Medical branch, Galveston, Texas, USA.

出版信息

Cytojournal. 2012;9:24. doi: 10.4103/1742-6413.103025. Epub 2012 Oct 31.

Abstract

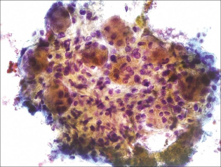
Endoscopic ultrasound guided fine-needle aspiration (EUS-FNA) is now widely used as a primary tool in the evaluation of lymphadenopathy in both the mediastinum and abdomen. A sympathetic ganglion may be mistaken for an enlarged lymph node on endoscopic ultrasound and are rarely sampled as such. A 51-year-old female presented with a history of weight loss, vomiting for several months, and right upper quadrant discomfort. Computed tomography (CT) and magnetic resonance imaging (MRI) scans showed a dilated common bile duct (CBD) with a possible periampullary mass, paraaortic, and pericelial lymph nodes suspicious for metastatic disease. Endosonography revealed a 17 mm oval hypoechoic structure with distinct margins in the para-aortic, celiac axis region suggestive of an enlarged lymph node. An EUS-FNA was done. Cytology revealed ganglion cells with large oval epithelial-like cells with round nuclei and prominent nucleoli consistent with a benign sympathetic ganglion. It is crucial for the cytopathologist to be aware of the fact that the endoscopist might have sampled a celiac ganglion instead of a celiac lymph node and be able to distinguish the cytological features of a benign sympathetic ganglion from a malignant process.

摘要

内镜超声引导下细针穿刺活检(EUS-FNA)现已广泛用作评估纵隔和腹部淋巴结肿大的主要工具。交感神经节在内镜超声检查中可能被误认为是肿大的淋巴结,很少如此取样。一名51岁女性,有体重减轻、呕吐数月及右上腹不适的病史。计算机断层扫描(CT)和磁共振成像(MRI)扫描显示胆总管(CBD)扩张,可能存在壶腹周围肿块,腹主动脉旁和腹腔淋巴结可疑转移。内镜超声检查发现腹主动脉旁、腹腔干区域有一个17毫米椭圆形低回声结构,边界清晰,提示淋巴结肿大。进行了EUS-FNA。细胞学检查发现神经节细胞,伴有大的椭圆形上皮样细胞,细胞核圆形,核仁明显,符合良性交感神经节表现。细胞病理学家必须意识到内镜医师可能取样的是腹腔神经节而非腹腔淋巴结这一事实,并能够区分良性交感神经节与恶性病变的细胞学特征,这一点至关重要。

https://cdn.ncbi.nlm.nih.gov/pmc/blobs/5a2b/3513782/29406ce8e8dc/CJ-9-24-g001.jpg

文献AI研究员

20分钟写一篇综述,助力文献阅读效率提升50倍。

立即体验

用中文搜PubMed

大模型驱动的PubMed中文搜索引擎

马上搜索

文档翻译

学术文献翻译模型,支持多种主流文档格式。

立即体验