• 文献检索
  • 文档翻译
  • 深度研究
  • 学术资讯
  • Suppr Zotero 插件Zotero 插件
  • 邀请有礼
  • 套餐&价格
  • 历史记录
应用&插件
Suppr Zotero 插件Zotero 插件浏览器插件Mac 客户端Windows 客户端微信小程序
定价
高级版会员购买积分包购买API积分包
服务
文献检索文档翻译深度研究API 文档MCP 服务
关于我们
关于 Suppr公司介绍联系我们用户协议隐私条款
关注我们

Suppr 超能文献

核心技术专利:CN118964589B侵权必究
粤ICP备2023148730 号-1Suppr @ 2026

文献检索

告别复杂PubMed语法,用中文像聊天一样搜索,搜遍4000万医学文献。AI智能推荐,让科研检索更轻松。

立即免费搜索

文件翻译

保留排版,准确专业,支持PDF/Word/PPT等文件格式,支持 12+语言互译。

免费翻译文档

深度研究

AI帮你快速写综述,25分钟生成高质量综述,智能提取关键信息,辅助科研写作。

立即免费体验

淋巴瘤多药耐药性上调加速了多药化疗对肝脏的毒性作用。

The Toxic Effects of Polychemotherapy onto the Liver Are Accelerated by the Upregulated MDR of Lymphosarcoma.

作者信息

Sen'kova Alexandra V, Mironova Nadezhda L, Patutina Olga A, Ageeva Tatyana A, Zenkova Marina A

机构信息

Institute of Chemical Biology and Fundamental Medicine, Siberian Branch of Russian Academy of Science, Lavrentiev Avenue 8, Novosibirsk 630090, Russia ; Novosibirsk State Medical University, Krasnyi Prospect 52, Novosibirsk 630091, Russia.

出版信息

ISRN Oncol. 2012;2012:721612. doi: 10.5402/2012/721612. Epub 2012 Nov 29.

DOI:10.5402/2012/721612
PMID:23251817
原文链接:https://pmc.ncbi.nlm.nih.gov/articles/PMC3517856/
Abstract

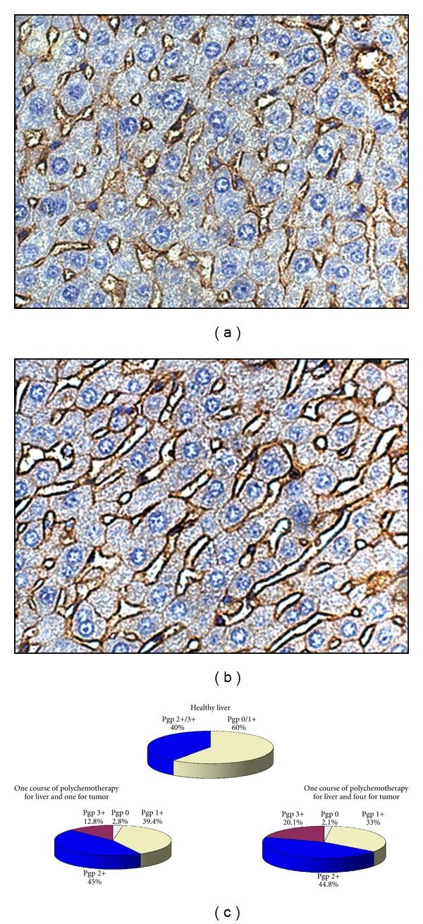
Antitumor therapy of hematological malignancies is impeded due to the high toxicity of polychemotherapy toward liver and increasing multiple drug resistance (MDR) of tumor cells under the pressure of polychemotherapy. These two problems can augment each other and significantly reduce the efficiency of antineoplastic therapy. We studied the combined effect of polychemotherapy and upregulated MDR of lymphosarcoma RLS(40) onto the liver of experimental mice using two treatment schemes. Scheme 1 is artificial: the tumor was subjected to four courses of polychemotherapy while the liver of the tumor-bearing mice was exposed to only one. This was achieved by threefold tumor retransplantation taken from animals subjected to chemotherapy into intact animals. Scheme 2 displays "real-life" status of patients with MDR malignancies: both the tumor and the liver of tumor-bearing mice were subjected to three sequential courses of polychemotherapy. Our data show that the strengthening of MDR phenotype of RLS(40) under polychemotherapy and toxic pressure of polychemotherapy itself has a synergistic damaging effect on the liver that is expressed in the accumulation of destructive changes in the liver tissue, the reduction of the regeneration capacity of the liver, and increasing of Pgp expression on the surface of hepatocytes.

摘要

由于多药化疗对肝脏毒性高,且在多药化疗压力下肿瘤细胞的多药耐药性(MDR)不断增加,血液系统恶性肿瘤的抗肿瘤治疗受到阻碍。这两个问题会相互加剧,显著降低抗肿瘤治疗的效率。我们使用两种治疗方案研究了多药化疗和上调淋巴肉瘤RLS(40)的MDR对实验小鼠肝脏的联合作用。方案1是人为设定的:肿瘤接受四个疗程的多药化疗,而荷瘤小鼠的肝脏仅接受一个疗程的化疗。这是通过将接受化疗的动物的肿瘤进行三次再移植到未受影响的动物体内实现的。方案2展示了MDR恶性肿瘤患者的“实际情况”:荷瘤小鼠的肿瘤和肝脏都接受三个连续疗程的多药化疗。我们的数据表明,在多药化疗和多药化疗本身的毒性压力下,RLS(40)的MDR表型增强对肝脏具有协同损害作用,表现为肝组织中破坏性变化的积累、肝脏再生能力的降低以及肝细胞表面Pgp表达的增加。

https://cdn.ncbi.nlm.nih.gov/pmc/blobs/ecca/3517856/db1fe5e74793/ISRN.ONCOLOGY2012-721612.006.jpg
https://cdn.ncbi.nlm.nih.gov/pmc/blobs/ecca/3517856/672d5fd360cf/ISRN.ONCOLOGY2012-721612.001.jpg
https://cdn.ncbi.nlm.nih.gov/pmc/blobs/ecca/3517856/59ee63338742/ISRN.ONCOLOGY2012-721612.002.jpg
https://cdn.ncbi.nlm.nih.gov/pmc/blobs/ecca/3517856/67d3bce59580/ISRN.ONCOLOGY2012-721612.003.jpg
https://cdn.ncbi.nlm.nih.gov/pmc/blobs/ecca/3517856/5ab4f3f7dc62/ISRN.ONCOLOGY2012-721612.004.jpg
https://cdn.ncbi.nlm.nih.gov/pmc/blobs/ecca/3517856/9234009555e6/ISRN.ONCOLOGY2012-721612.005.jpg
https://cdn.ncbi.nlm.nih.gov/pmc/blobs/ecca/3517856/db1fe5e74793/ISRN.ONCOLOGY2012-721612.006.jpg
https://cdn.ncbi.nlm.nih.gov/pmc/blobs/ecca/3517856/672d5fd360cf/ISRN.ONCOLOGY2012-721612.001.jpg
https://cdn.ncbi.nlm.nih.gov/pmc/blobs/ecca/3517856/59ee63338742/ISRN.ONCOLOGY2012-721612.002.jpg
https://cdn.ncbi.nlm.nih.gov/pmc/blobs/ecca/3517856/67d3bce59580/ISRN.ONCOLOGY2012-721612.003.jpg
https://cdn.ncbi.nlm.nih.gov/pmc/blobs/ecca/3517856/5ab4f3f7dc62/ISRN.ONCOLOGY2012-721612.004.jpg
https://cdn.ncbi.nlm.nih.gov/pmc/blobs/ecca/3517856/9234009555e6/ISRN.ONCOLOGY2012-721612.005.jpg
https://cdn.ncbi.nlm.nih.gov/pmc/blobs/ecca/3517856/db1fe5e74793/ISRN.ONCOLOGY2012-721612.006.jpg

相似文献

1
The Toxic Effects of Polychemotherapy onto the Liver Are Accelerated by the Upregulated MDR of Lymphosarcoma.淋巴瘤多药耐药性上调加速了多药化疗对肝脏的毒性作用。
ISRN Oncol. 2012;2012:721612. doi: 10.5402/2012/721612. Epub 2012 Nov 29.
2
Morphologic changes in the tumor and liver in mice with transplanted RLS40 lymphosarcoma during increase of its drug resistance.
Bull Exp Biol Med. 2010 Aug;149(2):258-61. doi: 10.1007/s10517-010-0921-4.
3
Influence of polychemotherapy on the morphology of metastases and kidney of resistant RLS-bearing mice.
Exp Oncol. 2013 Mar;35(1):30-6.
4
Oncolytic virus efficiency inhibited growth of tumour cells with multiple drug resistant phenotype in vivo and in vitro.溶瘤病毒的效率在体内和体外均抑制了具有多重耐药表型的肿瘤细胞的生长。
J Transl Med. 2016 Aug 18;14(1):241. doi: 10.1186/s12967-016-1002-x.
5
The use of liposomal anticancer agents to determine the roles of drug pharmacodistribution and P-glycoprotein (PGP) blockade in overcoming multidrug resistance (MDR).使用脂质体抗癌药物来确定药物药效分布和P-糖蛋白(PGP)阻断在克服多药耐药性(MDR)中的作用。
Anticancer Res. 1999 Jul-Aug;19(4B):2885-91.
6
The siRNA targeted to mdr1b and mdr1a mRNAs in vivo sensitizes murine lymphosarcoma to chemotherapy.体内靶向 mdr1b 和 mdr1a mRNA 的 siRNA 可增强小鼠淋巴瘤对化疗的敏感性。
BMC Cancer. 2010 May 14;10:204. doi: 10.1186/1471-2407-10-204.
7
Multidrug resistance: molecular mechanisms and clinical relevance.多重耐药性:分子机制与临床相关性
Cancer Chemother Pharmacol. 1997;40 Suppl:S3-8. doi: 10.1007/s002800051053.
8
[Comparison of the effectiveness of mono- and polychemotherapy for murine lymphosarcoma, resistant to apoptosis induction].
Vopr Onkol. 2006;52(1):70-3.
9
Structure of the liver in mice with transplanted Lewis carcinoma during polychemotherapy and correction with betulonic acid and its derivatives.
Bull Exp Biol Med. 2010 Dec;150(1):96-9. doi: 10.1007/s10517-010-1079-9.
10
[Efficacy of conservative treatment of gastric lymphosarcoma].[胃淋巴肉瘤保守治疗的疗效]
Ter Arkh. 2008;80(7):18-26.

引用本文的文献

1
Neutrophils in Cancer: Phenotypic Heterogeneity Across Tumor Models and Significant Alteration of Splenic Neutrophil Phenotype in Lymphosarcoma RLS Model Following DNase I Treatment.癌症中的中性粒细胞:跨肿瘤模型的表型异质性以及在DNase I处理后的淋巴肉瘤RLS模型中脾中性粒细胞表型的显著改变。
Cancers (Basel). 2025 Aug 12;17(16):2631. doi: 10.3390/cancers17162631.
2
Dendritic Cell-Derived Artificial Microvesicles Inhibit RLS Lymphosarcoma Growth in Mice via Stimulation of Th1/Th17 Immune Response.树突状细胞衍生的人工微泡通过刺激Th1/Th17免疫反应抑制小鼠RLS淋巴瘤生长。
Pharmaceutics. 2022 Nov 21;14(11):2542. doi: 10.3390/pharmaceutics14112542.
3

本文引用的文献

1
P-glycoprotein depresses cisplatin sensitivity in L1210 cells by inhibiting cisplatin-induced caspase-3 activation.P-糖蛋白通过抑制顺铂诱导的 caspase-3 激活来降低 L1210 细胞对顺铂的敏感性。
Toxicol In Vitro. 2012 Apr;26(3):435-44. doi: 10.1016/j.tiv.2012.01.014. Epub 2012 Jan 17.
2
[Side effects of tumor pharmacotherapy. What internists should know].
Internist (Berl). 2011 Dec;52(12):1429-45; quiz 1446. doi: 10.1007/s00108-011-2930-4.
3
Expression of genes related to multiple drug resistance and apoptosis in acute leukemia: response to induction chemotherapy.急性白血病中与多药耐药和细胞凋亡相关基因的表达:对诱导化疗的反应。
Folate-Equipped Cationic Liposomes Deliver Anti-MDR1-siRNA to the Tumor and Increase the Efficiency of Chemotherapy.
携带叶酸的阳离子脂质体将抗MDR1-siRNA递送至肿瘤部位并提高化疗效率。
Pharmaceutics. 2021 Aug 13;13(8):1252. doi: 10.3390/pharmaceutics13081252.
4
Oncolytic virus efficiency inhibited growth of tumour cells with multiple drug resistant phenotype in vivo and in vitro.溶瘤病毒的效率在体内和体外均抑制了具有多重耐药表型的肿瘤细胞的生长。
J Transl Med. 2016 Aug 18;14(1):241. doi: 10.1186/s12967-016-1002-x.
5
Toxic effects of glibenclamide in fetuses of normoglycemic rats: an alternative therapy for gestational diabetes mellitus.格列本脲对血糖正常大鼠胎儿的毒性作用:妊娠期糖尿病的一种替代疗法。
Open Vet J. 2014;4(1):59-64. Epub 2014 May 24.
6
Ribonuclease binase inhibits primary tumor growth and metastases via apoptosis induction in tumor cells.核糖核酸酶 barnase 通过诱导肿瘤细胞凋亡抑制原发性肿瘤生长和转移。
Cell Cycle. 2013 Jul 1;12(13):2120-31. doi: 10.4161/cc.25164. Epub 2013 Jun 10.
Exp Mol Pathol. 2012 Feb;92(1):44-9. doi: 10.1016/j.yexmp.2011.09.004. Epub 2011 Oct 19.
4
Induction of P-glycoprotein, glutathione-S-transferase and cytochrome P450 in rat liver by atrazine.莠去津诱导大鼠肝 P-糖蛋白、谷胱甘肽 S-转移酶和细胞色素 P450 的表达。
Environ Toxicol Pharmacol. 2002 Aug;12(1):1-6. doi: 10.1016/s1382-6689(01)00121-1.
5
Amyloid-beta transporter expression at the blood-CSF barrier is age-dependent.血脑屏障中淀粉样蛋白β转运体的表达随年龄增长而变化。
Fluids Barriers CNS. 2011 Jul 8;8:21. doi: 10.1186/2045-8118-8-21.
6
The siRNA targeted to mdr1b and mdr1a mRNAs in vivo sensitizes murine lymphosarcoma to chemotherapy.体内靶向 mdr1b 和 mdr1a mRNA 的 siRNA 可增强小鼠淋巴瘤对化疗的敏感性。
BMC Cancer. 2010 May 14;10:204. doi: 10.1186/1471-2407-10-204.
7
Relationships between multidrug resistance (MDR) and stem cell markers in human chronic myeloid leukemia cell lines.人慢性髓性白血病细胞系中多药耐药(MDR)与干细胞标志物之间的关系。
Leuk Res. 2010 Jun;34(6):757-62. doi: 10.1016/j.leukres.2009.11.004. Epub 2009 Dec 6.
8
Expression and function of p-glycoprotein in normal tissues: effect on pharmacokinetics.P-糖蛋白在正常组织中的表达与功能:对药代动力学的影响
Methods Mol Biol. 2010;596:199-222. doi: 10.1007/978-1-60761-416-6_10.
9
Histology without xylene.无需二甲苯的组织学
Ann Diagn Pathol. 2009 Aug;13(4):246-56. doi: 10.1016/j.anndiagpath.2008.12.005. Epub 2009 Feb 5.
10
Increased expression of multidrug resistance-associated genes after chemotherapy in pediatric solid malignancies.小儿实体恶性肿瘤化疗后多药耐药相关基因表达增加。
J Pediatr Surg. 2009 Feb;44(2):377-80. doi: 10.1016/j.jpedsurg.2008.10.088.