Suppr超能文献

皮肤去神经支配程度及其与麻风病患者客观热感觉测试的相关性。

Degree of skin denervation and its correlation to objective thermal sensory test in leprosy patients.

机构信息

Departamento de Patologia, Instituto de Ciências Biológicas, Universidade Federal de Minas Gerais, Belo Horizonte, Brazil.

出版信息

PLoS Negl Trop Dis. 2012;6(12):e1975. doi: 10.1371/journal.pntd.0001975. Epub 2012 Dec 13.

Abstract

BACKGROUND

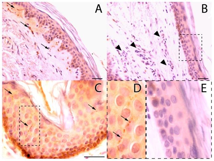
Leprosy is an infectious disease affecting skin and peripheral nerves resulting in increased morbidity and physical deformities. Early diagnosis provides opportune treatment and reduces its complications, relying fundamentally on the demonstration of impaired sensation in suggestive cutaneous lesions. The loss of tactile sensitivity in the lesions is preceded by the loss of thermal sensitivity, stressing the importance of the thermal test in the suspicious lesions approach. The gold-standard method for the assessment of thermal sensitivity is the quantitative sensory test (QST). Morphological study may be an alternative approach to access the thin nerve fibers responsible for thermal sensitivity transduction. The few studies reported in leprosy patients pointed out a rarefaction of thin dermo-epidermal fibers in lesions, but used semi-quantitative evaluation methods.

METHODOLOGY/PRINCIPAL FINDINGS: This work aimed to study the correlation between the degree of thermal sensitivity impairment measured by QST and the degree of denervation in leprosy skin lesions, evaluated by immunohistochemistry anti-PGP 9.5 and morphometry. Twenty-two patients were included. There were significant differences in skin thermal thresholds among lesions and contralateral skin (cold, warm, cold induced pain and heat induced pain). The mean reduction in the density of intraepidermal and subepidermal fibers in lesions was 79.5% (SD = 19.6) and 80.8% (SD = 24.9), respectively.

CONCLUSIONS/SIGNIFICANCE: We observed a good correlation between intraepidermal and subepidermal fibers deficit, but no correlation between these variables and those accounting for the degree of impairment in thermal thresholds, since the thin fibers rarefaction was homogeneously intense in all patients, regardless of the degree of sensory deficit. We believe that the homogeneously intense denervation in leprosy lesions should be objective of further investigations focused on its diagnostic applicability, particularly in selected cases with only discrete sensory impairment, patients unable to perform the sensory test and especially those with nonspecific histopathological finds.

摘要

背景

麻风病是一种影响皮肤和外周神经的传染病,导致发病率和身体畸形增加。早期诊断提供适时治疗并减少其并发症,主要依赖于在有提示性的皮肤损伤中显示感觉受损。病变中触觉敏感性的丧失先于热敏感性的丧失,强调了在可疑病变方法中热试验的重要性。热敏感性评估的金标准方法是定量感觉测试(QST)。形态学研究可能是一种替代方法,可以获得负责热敏感性转导的细神经纤维。在麻风病患者中报道的少数研究指出,病变中薄的皮内-表皮纤维稀疏,但使用了半定量评估方法。

方法/主要发现:这项工作旨在研究 QST 测量的热敏感性损伤程度与麻风病皮肤病变中去神经支配程度之间的相关性,通过免疫组织化学抗 PGP 9.5 和形态计量学进行评估。共纳入 22 名患者。病变和对侧皮肤之间的皮肤热阈值存在显著差异(冷、热、冷诱发痛和热诱发痛)。病变中表皮内和表皮下纤维密度的平均减少分别为 79.5%(SD=19.6)和 80.8%(SD=24.9)。

结论/意义:我们观察到表皮内和表皮下纤维缺失之间存在良好的相关性,但这些变量与热阈值损伤程度之间没有相关性,因为所有患者的细纤维稀疏程度均匀强烈,而与感觉缺失程度无关。我们认为麻风病病变中的均匀强烈去神经支配应该是进一步研究的目标,重点是其诊断适用性,特别是在仅存在离散感觉障碍、无法进行感觉测试的患者以及特别是那些具有非特异性组织病理学发现的患者中。

https://cdn.ncbi.nlm.nih.gov/pmc/blobs/472c/3521713/36eb1befa579/pntd.0001975.g001.jpg

相似文献

1
Degree of skin denervation and its correlation to objective thermal sensory test in leprosy patients.
PLoS Negl Trop Dis. 2012;6(12):e1975. doi: 10.1371/journal.pntd.0001975. Epub 2012 Dec 13.
3
Cutaneous lesions sensory impairment recovery and nerve regeneration in leprosy patients.
Mem Inst Oswaldo Cruz. 2012 Dec;107 Suppl 1:68-73. doi: 10.1590/s0074-02762012000900012.
6
The diagnostic criteria for small fibre neuropathy: from symptoms to neuropathology.
Brain. 2008 Jul;131(Pt 7):1912-25. doi: 10.1093/brain/awn093. Epub 2008 Jun 4.
9
Sensory changes and loss of intraepidermal nerve fibers in painful unilateral nerve injury.
Clin J Pain. 2009 Oct;25(8):683-90. doi: 10.1097/AJP.0b013e3181a1260e.

引用本文的文献

1
Neural leprosy investigation using electroneuromyography and the ML Flow rapid test: a case report.
Rev Soc Bras Med Trop. 2024 Feb 12;57:e008022024. doi: 10.1590/0037-8682-0586-2023. eCollection 2024.
2
Treatment and Evaluation Advances in Leprosy Neuropathy.
Neurotherapeutics. 2021 Oct;18(4):2337-2350. doi: 10.1007/s13311-021-01153-z. Epub 2021 Nov 19.
4
C-Fiber Assays in the Cornea vs. Skin.
Brain Sci. 2019 Nov 12;9(11):320. doi: 10.3390/brainsci9110320.

本文引用的文献

1
A power primer.
Psychol Bull. 1992 Jul;112(1):155-9. doi: 10.1037//0033-2909.112.1.155.
2
Leprosy: diagnostic and control challenges for a worldwide disease.
Arch Dermatol Res. 2008 Jul;300(6):269-90. doi: 10.1007/s00403-008-0857-y. Epub 2008 May 7.
3
A brief historical note on the classification of nerve fibers.
Arq Neuropsiquiatr. 2008 Mar;66(1):117-9. doi: 10.1590/s0004-282x2008000100033.
5
Recent developments in the management of peripheral neuropathy using skin biopsy.
Rev Neurol (Paris). 2007 Dec;163(12):1266-70. doi: 10.1016/S0035-3787(07)78418-7.
9
PCR and in-situ hybridization for diagnosis of leprosy.
Indian J Pediatr. 2007 Jul;74(7):645-8. doi: 10.1007/s12098-007-0115-x.
10
Leprosy.
Clin Dermatol. 2007 Mar-Apr;25(2):165-72. doi: 10.1016/j.clindermatol.2006.05.012.

文献AI研究员

20分钟写一篇综述,助力文献阅读效率提升50倍。

立即体验

用中文搜PubMed

大模型驱动的PubMed中文搜索引擎

马上搜索

文档翻译

学术文献翻译模型,支持多种主流文档格式。

立即体验