Suppr超能文献

火鸡呋喃唑酮诱发圆心病中的肝炎、心肌病及血液动力学

Hepatitis, cardiomyopathy and hemodynamics in furazolidone-induced round heart disease of turkeys.

作者信息

Simpson C F, Rollinghoff W, Preisig R, Fisher M J

出版信息

Can J Comp Med. 1979 Oct;43(4):345-51.

Abstract

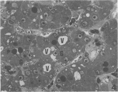
Twenty-five large broad-breasted white turkeys were fed a 22% protein diet supplemented with 500 ppm furazolidone from day 1 to 3.5 weeks of age and the same diet supplemented with 700 ppm furazolidone until 9.5 weeks of age. Following the development of round heart disease as indicated by altered electrocardiograms the 25 turkeys were sacrificed. In the livers of turkeys with biventricular dilatation (72% of cases) there was bile duct hyperlasia, portal fibrosis and intracytoplasmic globules in the hepatocytes. Globules stained pink with hematoxylin-eosin, deep red with PAS and variable with Massons trichrome stains in paraffin-embedded liver sections. Clear intracytoplasmic vacuoles demonstrable in hepatocytes of PAS stained liver sections embedded in paraffin did not stain as lipid in frozen sections but did contain sparse flocculent material in 1 micrometer sections of liver embedded in epoxy resin and stained with toluidine blue. At the subcellular level, the intracytoplasmic globules in hepatocytes were surrounded by a single membrane, contained flocculent material and had enzymatic properties characteristic of lysosomes. Blood pressure, heart rate, dp/dt max, total plasma proteins and plasma trypsin inhibitory capacity of turkeys with round heart disease were lower than corresponding values for control turkeys. Control turkeys did not exhibit the characteristic gross or microscopic lesions of round heart disease.

摘要

25只大型宽胸白火鸡在1至3.5周龄时喂食含22%蛋白质且添加500 ppm呋喃唑酮的日粮,在9.5周龄前喂食相同日粮但添加700 ppm呋喃唑酮。在心电图出现改变表明出现圆心病后,将这25只火鸡宰杀。在双心室扩张的火鸡肝脏中(72%的病例),出现了胆管增生、门脉纤维化以及肝细胞内的胞质内小球。在石蜡包埋的肝脏切片中,小球苏木精-伊红染色呈粉红色,PAS染色呈深红色,Masson三色染色则呈不同颜色。在石蜡包埋的PAS染色肝脏切片的肝细胞中可看到的透明胞质空泡,在冰冻切片中不被染成脂质,但在环氧树脂包埋并用甲苯胺蓝染色的1微米肝脏切片中确实含有稀疏的絮状物质。在亚细胞水平,肝细胞内的胞质内小球被单层膜包围,含有絮状物质,并具有溶酶体的酶学特性。患有圆心病的火鸡的血压、心率、dp/dt max、总血浆蛋白和血浆胰蛋白酶抑制能力均低于对照火鸡的相应值。对照火鸡未表现出圆心病的典型大体或微观病变。

https://cdn.ncbi.nlm.nih.gov/pmc/blobs/0a3b/1320003/87eee8048ef5/compmed00028-0009-a.jpg

文献检索

告别复杂PubMed语法,用中文像聊天一样搜索,搜遍4000万医学文献。AI智能推荐,让科研检索更轻松。

立即免费搜索

文件翻译

保留排版,准确专业,支持PDF/Word/PPT等文件格式,支持 12+语言互译。

免费翻译文档

深度研究

AI帮你快速写综述,25分钟生成高质量综述,智能提取关键信息,辅助科研写作。

立即免费体验