Suppr超能文献

Askin 肿瘤:一例病例报告并文献复习。

Askin's tumor: a case report and literature review.

机构信息

Medical Oncology Department, Hassan II University Hospital, Fès, 30006, Morocco.

出版信息

World J Surg Oncol. 2013 Jan 22;11:10. doi: 10.1186/1477-7819-11-10.

Abstract

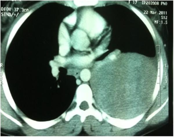
Askin's tumor is a primitive neuroectodermal tumor developing from the soft tissues of the chest wall. Its diagnosis approach is complex and requires a multidisciplinary team. Given the rarity of this entity, no regimen has been validated in the literature. We report two cases of Askin's tumor with a major response to polychemotherapy and surgical resection in one case. These cases show that treatment of Askin's tumor should be multimodal, requiring discussion in multidisciplinary tumor working groups.

摘要

Askin 肿瘤是一种源自胸壁软组织的原始神经外胚层肿瘤。其诊断方法复杂,需要多学科团队合作。鉴于该实体的罕见性,文献中尚未验证任何方案。我们报告了两例 Askin 肿瘤病例,其中一例对多化疗和手术切除有明显反应。这些病例表明,Askin 肿瘤的治疗应该是多模式的,需要在多学科肿瘤工作组中进行讨论。

https://cdn.ncbi.nlm.nih.gov/pmc/blobs/8273/3556149/ca4106fb1b70/1477-7819-11-10-1.jpg

文献AI研究员

20分钟写一篇综述,助力文献阅读效率提升50倍。

立即体验

用中文搜PubMed

大模型驱动的PubMed中文搜索引擎

马上搜索

文档翻译

学术文献翻译模型,支持多种主流文档格式。

立即体验