Suppr超能文献

ATM 依赖性磷酸化异质性核核糖核蛋白 K 促进 p53 转录激活以响应 DNA 损伤。

ATM-dependent phosphorylation of heterogeneous nuclear ribonucleoprotein K promotes p53 transcriptional activation in response to DNA damage.

机构信息

DNA Damage Response Group, Basic Medical Science Department, St. George's University of London, London, UK.

出版信息

Cell Cycle. 2013 Feb 15;12(4):698-704. doi: 10.4161/cc.23592. Epub 2013 Jan 23.

Abstract

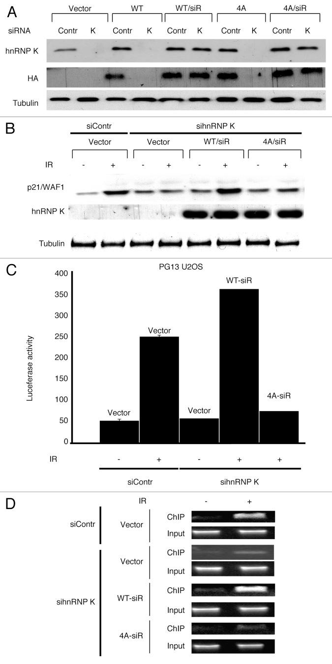
Previous work has established that heterogeneous nuclear ribonucleoprotein K (hnRNP K) is stabilized in an ATM-dependent manner in response to DNA damage and acts as a cofactor for p53-mediated transcription. Here, we show that in response to DNA damage caused by ionizing radiation, hnRNP K is phosphorylated in an ATM-dependent manner. Furthermore, our data indicate that ATM-dependent hnRNP K phosphorylation is required for its stabilization and its function as a p53 transcriptional cofactor in response to DNA damage. These findings thereby establish hnRNP K as an ATM target and help define how ATM orchestrates p53-dependent transcriptional responses in response to genotoxic stress.

摘要

先前的研究已经证实,异质核核糖核蛋白 K(hnRNP K)在 DNA 损伤的情况下以 ATM 依赖性的方式稳定,并作为 p53 介导的转录的辅助因子发挥作用。在这里,我们表明,在对电离辐射引起的 DNA 损伤的反应中,hnRNP K 以 ATM 依赖性的方式发生磷酸化。此外,我们的数据表明,ATM 依赖性 hnRNP K 磷酸化是其稳定和作为 p53 转录辅助因子在 DNA 损伤反应中的功能所必需的。这些发现因此确立了 hnRNP K 是 ATM 的靶标,并有助于确定 ATM 如何在基因毒性应激下协调 p53 依赖性转录反应。

https://cdn.ncbi.nlm.nih.gov/pmc/blobs/3101/3594270/46b3c3ce444f/cc-12-698-g1.jpg

文献AI研究员

20分钟写一篇综述,助力文献阅读效率提升50倍。

立即体验

用中文搜PubMed

大模型驱动的PubMed中文搜索引擎

马上搜索

文档翻译

学术文献翻译模型,支持多种主流文档格式。

立即体验