Park Sung Bae, Yang Hee-Jin, Lee Sang Hyung
Department of Neurosurgery, Seoul National University Boramae Medical Center, Seoul, Korea.
J Korean Neurosurg Soc. 2012 Dec;52(6):513-6. doi: 10.3340/jkns.2012.52.6.513. Epub 2012 Dec 31.
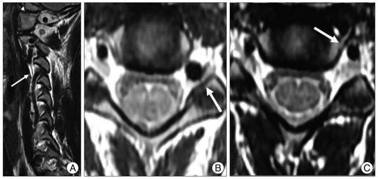
It is rare that the medial loop in the V2 segment of the vertebral artery (VA) causes compression of the proximal cervical root of the spinal cord without leading to bony erosion and an enlarged foramen. We evaluated the clinical significance and incidence of the medial loop in the V2 segment of the VA.
We reviewed the records from 1000 consecutive patients who had undergone magnetic resonance imaging evaluation of the cervical spine between January 2005 and January 2008. The inclusion criteria were that over a third of the axial aspect of the VA located in the intervertebral foramen was inside the line between the most ventral points of the bilateral lateral mass, and that the ipsilateral proximal root deviated dorsally because of the medial loop of the VA. We excluded cases of bone erosion, a widened foramen at the medial loop of the VA, any bony abnormalities, tumors displacing VA, or vertebral fractures. The medical records were reviewed retrospectively to search for factors of clinical significance.
In six patients (0.6%), the VA formed a medial loop that caused compression of the proximal cervical root. One of these patients had the cervical radiculopathy that developed after minor trauma but the others did not present with cervical radiculopathy related to the medial loop of the VA.
The medial loop of the VA might have a direct effect on cervical radiculopathy. Therefore, this feature should be of critical consideration in preoperative planning and during surgery.
椎动脉(VA)V2段的内侧袢导致脊髓近端颈神经根受压而无骨质侵蚀和椎间孔扩大的情况较为罕见。我们评估了VA V2段内侧袢的临床意义及发生率。
我们回顾了2005年1月至2008年1月期间连续1000例行颈椎磁共振成像评估患者的记录。纳入标准为位于椎间孔的VA轴位影像超过三分之一位于双侧侧块最腹侧点连线内侧,且同侧近端神经根因VA内侧袢而背侧移位。我们排除了骨质侵蚀、VA内侧袢处椎间孔增宽、任何骨质异常、肿瘤压迫VA或椎体骨折的病例。对病历进行回顾性分析以寻找具有临床意义的因素。
6例患者(0.6%)的VA形成内侧袢并导致近端颈神经根受压。其中1例患者在轻微创伤后出现颈神经根病,但其他患者未表现出与VA内侧袢相关的颈神经根病。
VA内侧袢可能对颈神经根病有直接影响。因此,在术前规划和手术过程中应高度重视这一特征。