Suppr超能文献

雷帕霉素和地塞米松在已建立的过敏性哮喘小鼠模型中的差异作用。

Differential effects of rapamycin and dexamethasone in mouse models of established allergic asthma.

机构信息

Division of Pulmonary Biology, Department of Pediatrics, Cincinnati Children's Hospital, University of Cincinnati School of Medicine, Cincinnati, Ohio, USA.

出版信息

PLoS One. 2013;8(1):e54426. doi: 10.1371/journal.pone.0054426. Epub 2013 Jan 17.

Abstract

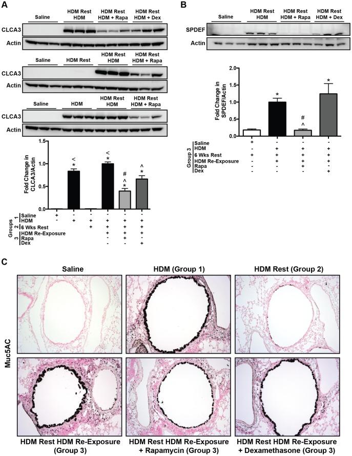
The mammalian target of rapamycin (mTOR) plays an important role in cell growth/differentiation, integrating environmental cues, and regulating immune responses. Our lab previously demonstrated that inhibition of mTOR with rapamycin prevented house dust mite (HDM)-induced allergic asthma in mice. Here, we utilized two treatment protocols to investigate whether rapamycin, compared to the steroid, dexamethasone, could inhibit allergic responses during the later stages of the disease process, namely allergen re-exposure and/or during progression of chronic allergic disease. In protocol 1, BALB/c mice were sensitized to HDM (three i.p. injections) and administered two intranasal HDM exposures. After 6 weeks of rest/recovery, mice were re-exposed to HDM while being treated with rapamycin or dexamethasone. In protocol 2, mice were exposed to HDM for 3 or 6 weeks and treated with rapamycin or dexamethasone during weeks 4-6. Characteristic features of allergic asthma, including IgE, goblet cells, airway hyperreactivity (AHR), inflammatory cells, cytokines/chemokines, and T cell responses were assessed. In protocol 1, both rapamycin and dexamethasone suppressed goblet cells and total CD4(+) T cells including activated, effector, and regulatory T cells in the lung tissue, with no effect on AHR or total inflammatory cell numbers in the bronchoalveolar lavage fluid. Rapamycin also suppressed IgE, although IL-4 and eotaxin 1 levels were augmented. In protocol 2, both drugs suppressed total CD4(+) T cells, including activated, effector, and regulatory T cells and IgE levels. IL-4, eotaxin, and inflammatory cell numbers were increased after rapamycin and no effect on AHR was observed. Dexamethasone suppressed inflammatory cell numbers, especially eosinophils, but had limited effects on AHR. We conclude that while mTOR signaling is critical during the early phases of allergic asthma, its role is much more limited once disease is established.

摘要

哺乳动物雷帕霉素靶蛋白(mTOR)在细胞生长/分化、整合环境线索以及调节免疫反应方面发挥着重要作用。我们实验室之前的研究表明,用雷帕霉素抑制 mTOR 可防止屋尘螨(HDM)诱导的小鼠变应性哮喘。在这里,我们利用两种治疗方案来研究雷帕霉素是否可以抑制疾病后期(即变应原再暴露和/或慢性变应性疾病进展期间)的过敏反应,与类固醇地塞米松相比是否具有优势。在方案 1 中,BALB/c 小鼠用 HDM 致敏(腹腔内注射 3 次)并接受 2 次鼻腔内 HDM 暴露。经过 6 周的休息/恢复后,小鼠在接受雷帕霉素或地塞米松治疗的同时再次暴露于 HDM。在方案 2 中,小鼠暴露于 HDM 3 或 6 周,并在第 4-6 周接受雷帕霉素或地塞米松治疗。评估变应性哮喘的特征性表现,包括 IgE、杯状细胞、气道高反应性(AHR)、炎症细胞、细胞因子/趋化因子和 T 细胞反应。在方案 1 中,雷帕霉素和地塞米松均抑制肺组织中的杯状细胞和总 CD4+T 细胞,包括活化、效应和调节性 T 细胞,对支气管肺泡灌洗液中的 AHR 或总炎症细胞数量无影响。雷帕霉素也抑制 IgE,尽管 IL-4 和嗜酸性粒细胞趋化因子 1 的水平增加。在方案 2 中,两种药物均抑制总 CD4+T 细胞,包括活化、效应和调节性 T 细胞和 IgE 水平。IL-4、嗜酸性粒细胞趋化因子和炎症细胞数量在雷帕霉素治疗后增加,而 AHR 无影响。地塞米松抑制炎症细胞数量,特别是嗜酸性粒细胞,但对 AHR 的影响有限。我们得出结论,虽然 mTOR 信号在变应性哮喘的早期阶段非常重要,但一旦疾病确立,其作用就更为有限。

https://cdn.ncbi.nlm.nih.gov/pmc/blobs/d6f9/3547928/3204dab883d4/pone.0054426.g001.jpg

文献AI研究员

20分钟写一篇综述,助力文献阅读效率提升50倍。

立即体验

用中文搜PubMed

大模型驱动的PubMed中文搜索引擎

马上搜索

文档翻译

学术文献翻译模型,支持多种主流文档格式。

立即体验