Suppr超能文献

(99m)锝葡糖醛酸作为一种用于评估肿瘤活性的潜在放射性药物:从实验室到临床应用

(99m)Tc glucarate as a potential radiopharmaceutical agent for assessment of tumor viability: from bench to the bed side.

作者信息

Choudhury Partha S, Savio E, Solanki K K, Alonso O, Gupta A, Gambini J P, Doval Dinesh, Sharma P, Dondi M

机构信息

Department of Nuclear Medicine, Rajiv Gandhi Cancer Institute and Research Center, New Delhi, India.

出版信息

World J Nucl Med. 2012 May;11(2):47-56. doi: 10.4103/1450-1147.103405.

Abstract

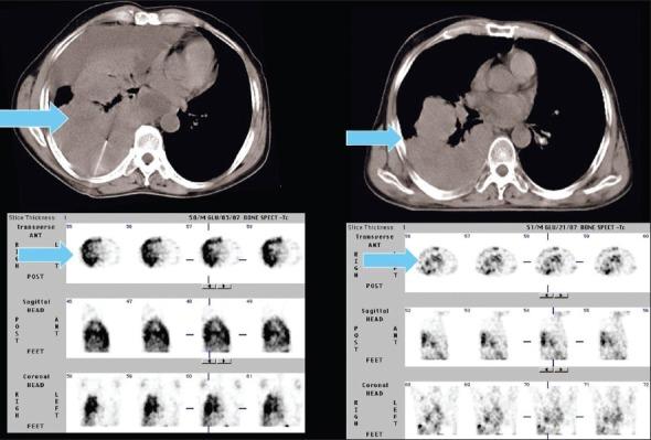
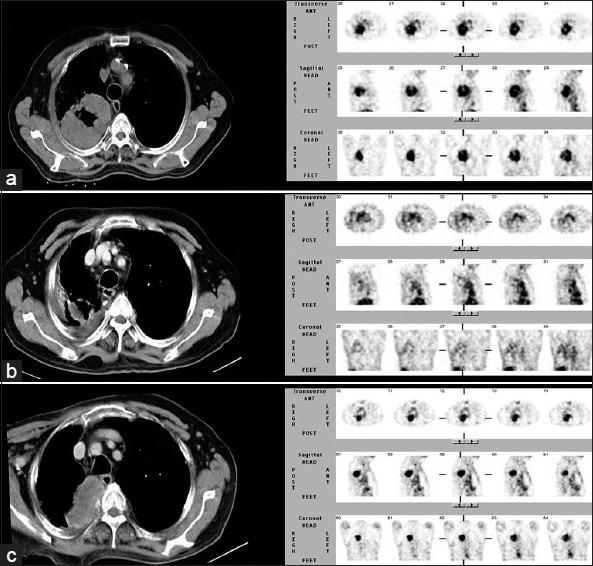
Several radiotracers have been used for assessing cell death, whether by necrosis or apoptosis. (99m)Tc glucarate, which has initially been reported to be concentrating/accumulating in myocardial infarction or zones of cerebral injury, has also shown some tumor-seeking properties in a few preliminary studies. Under International Atomic Energy Agency (IAEA)'s coordinated research program, we report here the standardization, quality control, and clinical evaluation (detection, evaluation of response, and comparison with (18)F Fluorodeoxyglucose) of this tracer in well-characterized lung cancer and head neck malignancies in a single-arm prospective observational study. Forty-seven patients (29 inoperable lung carcinoma and 18 head and neck malignancies) were prospectively enrolled and underwent (99m)Tc glucarate imaging [whole body planar and single-photon emission computed tomography of the region of interest] 4-5 hours after injection of 20 mCi of the radiopharmaceutical. Excellent (99m)Tc glucarate concentration was noted in the target lesion in lung cancer and head and neck malignancies. The sensitivity was found to be better in lung cancer. Avid concentration of tracer was seen in the metastatic sites. During response evaluation, the glucarate concentration correlated well with the clinical and other radiological findings. (99m)Tc glucarate showed avid concentration of tracer in the tumor, suggesting it to be a potential tumor imaging agent which can be used for detection and assessment of therapeutic response in malignancy.

摘要

几种放射性示踪剂已被用于评估细胞死亡,无论是坏死还是凋亡。(99m)锝葡糖醛酸,最初据报道其在心肌梗死或脑损伤区域浓聚/蓄积,在一些初步研究中也显示出一定的肿瘤摄取特性。在国际原子能机构(IAEA)的协调研究项目下,我们在此报告在一项单臂前瞻性观察研究中,对这种示踪剂在特征明确的肺癌和头颈部恶性肿瘤中的标准化、质量控制及临床评估(检测、反应评估以及与(18)F氟脱氧葡萄糖比较)。47例患者(29例不可手术的肺癌和18例头颈部恶性肿瘤)被前瞻性纳入研究,并在注射20毫居里放射性药物后4至5小时接受(99m)锝葡糖醛酸显像[全身平面显像及感兴趣区域的单光子发射计算机断层扫描]。在肺癌和头颈部恶性肿瘤的靶病变中观察到(99m)锝葡糖醛酸的良好浓聚。发现其在肺癌中的敏感性更好。在转移部位可见示踪剂的摄取。在反应评估期间,葡糖醛酸浓度与临床及其他影像学结果相关性良好。(99m)锝葡糖醛酸在肿瘤中显示出示踪剂的摄取,表明它是一种潜在的肿瘤显像剂,可用于恶性肿瘤的检测和治疗反应评估。

https://cdn.ncbi.nlm.nih.gov/pmc/blobs/a824/3555394/d192e58a34fd/WJNM-11-47-g006.jpg

文献检索

告别复杂PubMed语法,用中文像聊天一样搜索,搜遍4000万医学文献。AI智能推荐,让科研检索更轻松。

立即免费搜索

文件翻译

保留排版,准确专业,支持PDF/Word/PPT等文件格式,支持 12+语言互译。

免费翻译文档

深度研究

AI帮你快速写综述,25分钟生成高质量综述,智能提取关键信息,辅助科研写作。

立即免费体验