Suppr超能文献

使用Pipeline支架成功治疗创伤性颈动脉假性动脉瘤:病例报告及文献复习

Successful treatment of a traumatic carotid pseudoaneurysm with the Pipeline stent: Case report and review of the literature.

作者信息

Amenta Peter S, Starke Robert M, Jabbour Pascal M, Tjoumakaris Stavropoula I, Gonzalez Luis Fernando, Rosenwasser Robert H, Pribitkin Edmund A, Dumont Aaron S

机构信息

Department of Neurological Surgery, Thomas Jefferson University, Philadelphia, Pennsylvania.

出版信息

Surg Neurol Int. 2012;3:160. doi: 10.4103/2152-7806.105099. Epub 2012 Dec 26.

Abstract

BACKGROUND

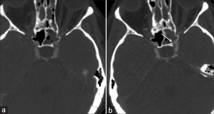
Traumatic intracranial pseudoaneurysms remain one of the most difficult vascular lesions to treat. In the case of traumatic pseudoaneurysms that may not be treated with parent vessel sacrifice, some flow diversion strategy such as stent-assistance or use of a flow diversion device is usually necessary.

CASE DESCRIPTION

In this study we describe endovascular parent vessel wall-remodeling/endoluminal reconstruction and traumatic pseudoaneurysm thrombosis through the use of the Pipeline stent and review recent reports concerning indications, safety, and efficacy for alternative pathology.

CONCLUSION

Although currently not routinely employed in the treatment of traumatic pseudoaneurysms, the Pipeline stent may represent a safe and effective treatment alternative achieving complete endoluminal reconstruction of the damaged vessel wall.

摘要

背景

创伤性颅内假性动脉瘤仍然是最难治疗的血管病变之一。对于那些不能通过牺牲载瘤血管来治疗的创伤性假性动脉瘤,通常需要一些血流导向策略,如支架辅助或使用血流导向装置。

病例描述

在本研究中,我们描述了通过使用Pipeline支架进行血管内载瘤血管壁重塑/腔内重建以及创伤性假性动脉瘤血栓形成的情况,并回顾了有关替代病变的适应症、安全性和疗效的近期报告。

结论

尽管目前Pipeline支架在创伤性假性动脉瘤的治疗中并非常规使用,但它可能是一种安全有效的治疗选择,能够实现受损血管壁的完全腔内重建。

https://cdn.ncbi.nlm.nih.gov/pmc/blobs/f60e/3551517/3cc65aaf5a7c/SNI-3-160-g001.jpg

文献检索

告别复杂PubMed语法,用中文像聊天一样搜索,搜遍4000万医学文献。AI智能推荐,让科研检索更轻松。

立即免费搜索

文件翻译

保留排版,准确专业,支持PDF/Word/PPT等文件格式,支持 12+语言互译。

免费翻译文档

深度研究

AI帮你快速写综述,25分钟生成高质量综述,智能提取关键信息,辅助科研写作。

立即免费体验