Suppr超能文献

吸烟相关性红细胞增多症合并肺腺癌的手术治疗:一例病例报告

Surgery for lung adenocarcinoma with smokers' polycythemia: a case report.

作者信息

Sugiura Yasoo, Nemoto Etsuo, Shinoda Hiromi, Nakamura Naoya, Kaseda Shizuka

机构信息

National Hospital Organization, Kanagawa National Hospital, Pulmonary and Thoracic Surgery, 666-1 Ochiai, Hadano, Kanagawa, 257-8585, Japan.

出版信息

BMC Res Notes. 2013 Feb 1;6:38. doi: 10.1186/1756-0500-6-38.

Abstract

BACKGROUND

Smoking is a cause of cancer and polycythemia. Therefore, surgeons who treat patients with cancer may also encounter patients with polycythemia. However, few cases of surgical patients with polycythemia have been reported; in particular, a surgical case involving smokers' polycythemia has never been reported. We herein report a patient with lung cancer and smokers' polycythemia who successfully underwent lobectomy with control of hematocrit based on a modified formula in the perioperative period.

CASE PRESENTATION

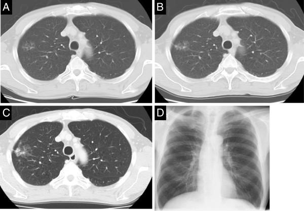
A 67-year-old man underwent abdominoperineal resection for rectal carcinoma in June 2008. A ground glass opacity had been identified in the upper lobe of the right lung and was gradually enlarging. In March 2012, bronchoscopic cytology for investigation of the mass revealed non-small cell lung cancer, suggesting primary lung non-small cell carcinoma (T1bN0M0, Stage IA). When he was referred to our hospital for surgery, his complete blood count showed a red blood cell level of 6.50×106/μL, hemoglobin of 21.0 g/dL, and hematocrit of 60.1%. The hematologists' diagnosis was secondary polycythemia due to heavy smoking (smokers' polycythemia) because the white blood cell and platelet counts were within normal limits and the erythropoietin was not increased. We calculated the appropriate phlebotomy and infusion volumes based on a formula that we modified. After 550 g of blood was phlebotomized to reduce the hematocrit to approximately 55%, video-assisted right lung upper lobectomy with lymph node dissection was performed in April 2012. The hematocrit was maintained at <50% postoperatively, and the patient was uneventfully discharged on postoperative day 7. The predictive hematocrit and measured hematocrit were very closely approximated in this case.

CONCLUSION

We experienced a patient with smokers' polycythemia who underwent right upper lobectomy for adenocarcinoma. The findings in this case report are meaningful for surgeons treating cancer patients because there are few reports discussing the perioperative care of surgical patients with polycythemia.

摘要

背景

吸烟是导致癌症和红细胞增多症的原因。因此,治疗癌症患者的外科医生可能也会遇到红细胞增多症患者。然而,关于外科手术患者红细胞增多症的病例报道很少;特别是,从未有过涉及吸烟者红细胞增多症的外科病例报道。我们在此报告一例患有肺癌和吸烟者红细胞增多症的患者,该患者在围手术期根据改良公式成功接受了肺叶切除术,同时血细胞比容得到了控制。

病例介绍

一名67岁男性于2008年6月接受了腹会阴联合直肠癌切除术。右肺上叶发现磨玻璃影且逐渐增大。2012年3月,对该肿物进行支气管镜细胞学检查显示为非小细胞肺癌,提示原发性肺非小细胞癌(T1bN0M0,ⅠA期)。当他因手术转诊至我院时,其全血细胞计数显示红细胞水平为6.50×10⁶/μL,血红蛋白为21.0 g/dL,血细胞比容为60.1%。血液科医生诊断为重度吸烟所致继发性红细胞增多症(吸烟者红细胞增多症),因为白细胞和血小板计数在正常范围内且促红细胞生成素未升高。我们根据改良公式计算了合适的放血量和输液量。放血550 g以使血细胞比容降至约55%后,于2012年4月进行了电视辅助右肺上叶切除术及淋巴结清扫术。术后血细胞比容维持在<50%,患者于术后第7天顺利出院。在该病例中,预测的血细胞比容与实测的血细胞比容非常接近。

结论

我们遇到一例患有吸烟者红细胞增多症的患者,其因腺癌接受了右肺上叶切除术。该病例报告中的发现对外科医生治疗癌症患者具有重要意义,因为很少有报道讨论红细胞增多症外科手术患者的围手术期护理。

https://cdn.ncbi.nlm.nih.gov/pmc/blobs/d6f0/3571947/1f08ed2e7f95/1756-0500-6-38-1.jpg

文献AI研究员

20分钟写一篇综述,助力文献阅读效率提升50倍。

立即体验

用中文搜PubMed

大模型驱动的PubMed中文搜索引擎

马上搜索

文档翻译

学术文献翻译模型,支持多种主流文档格式。

立即体验