• 文献检索
  • 文档翻译
  • 深度研究
  • 学术资讯
  • Suppr Zotero 插件Zotero 插件
  • 邀请有礼
  • 套餐&价格
  • 历史记录
应用&插件
Suppr Zotero 插件Zotero 插件浏览器插件Mac 客户端Windows 客户端微信小程序
定价
高级版会员购买积分包购买API积分包
服务
文献检索文档翻译深度研究API 文档MCP 服务
关于我们
关于 Suppr公司介绍联系我们用户协议隐私条款
关注我们

Suppr 超能文献

核心技术专利:CN118964589B侵权必究
粤ICP备2023148730 号-1Suppr @ 2026

文献检索

告别复杂PubMed语法,用中文像聊天一样搜索,搜遍4000万医学文献。AI智能推荐,让科研检索更轻松。

立即免费搜索

文件翻译

保留排版,准确专业,支持PDF/Word/PPT等文件格式,支持 12+语言互译。

免费翻译文档

深度研究

AI帮你快速写综述,25分钟生成高质量综述,智能提取关键信息,辅助科研写作。

立即免费体验

腹壁皮下脾组织植入:1例报告并文献复习

Subcutaneous splenosis of the abdominal wall: report of a case and review of the literature.

作者信息

Papakonstantinou Evangelia, Kalles Vasileios, Papapanagiotou Ioannis, Piperos Theodoros, Karakaxas Dimitrios, Bonatsos Vasileios, Tsoumakas Konstantinos, Orfanos Filotheos, Mariolis-Sapsakos Theodoros

机构信息

Department of Surgery, Evgenideion Hospital, University of Athens, P. Perimeni 1-2, Nea Smyrni, 17121 Athens, Greece.

出版信息

Case Rep Surg. 2013;2013:454321. doi: 10.1155/2013/454321. Epub 2013 Jan 15.

DOI:10.1155/2013/454321
PMID:23401837
原文链接:https://pmc.ncbi.nlm.nih.gov/articles/PMC3562572/
Abstract

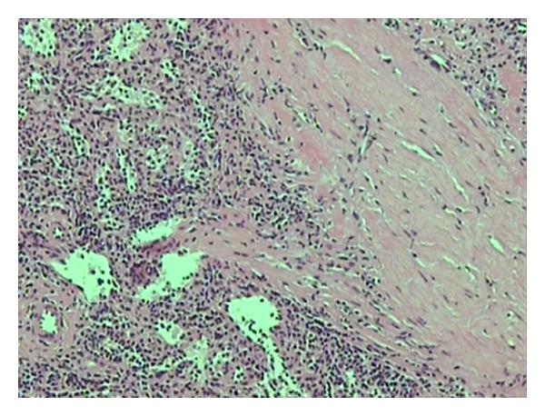
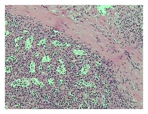
Splenosis is a common benign condition that occurs after splenic rupture via trauma or surgery. The mechanism behind splenic cell autotransplantation begins with the splenic rupture, either from trauma or surgical removal. Splenosis is usually found incidentally and, unless symptomatic, surgical therapy is not indicated. Subcutaneous splenosis is an extremely rare form of splenosis, mostly observed in abdominal surgical scars. We report a case of subcutaneous splenosis, as well as a comprehensive review of the literature. In our case, a 43-year-old woman who had splenectomy after traumatic splenic rupture at the age of 7 years old presented for plastic reconstruction of her postoperative scar. Upon surgery, two asymptomatic subcutaneous nodules were incidentally discovered. The presence of splenic tissue was confirmed by the histological study. The nodules were not excised, as the patient was not symptomatic.

摘要

脾组织自体移植是一种常见的良性病症,发生于脾脏因外伤或手术破裂之后。脾细胞自体移植背后的机制始于脾脏破裂,其原因可以是外伤或手术切除。脾组织自体移植通常是偶然发现的,除非出现症状,否则不建议进行手术治疗。皮下脾组织自体移植是脾组织自体移植的一种极其罕见的形式,大多在腹部手术瘢痕中观察到。我们报告一例皮下脾组织自体移植病例,并对相关文献进行全面综述。在我们的病例中,一名43岁女性,7岁时因外伤性脾破裂接受了脾切除术,此次因术后瘢痕整形前来就诊。手术时,偶然发现了两个无症状的皮下结节。组织学研究证实存在脾组织。由于患者没有症状,所以未切除这些结节。

https://cdn.ncbi.nlm.nih.gov/pmc/blobs/541b/3562572/62a332d16a25/CRIM.SURGERY2013-454321.004.jpg
https://cdn.ncbi.nlm.nih.gov/pmc/blobs/541b/3562572/5d2d40eabe2c/CRIM.SURGERY2013-454321.001.jpg
https://cdn.ncbi.nlm.nih.gov/pmc/blobs/541b/3562572/b80d7c7ecc42/CRIM.SURGERY2013-454321.002.jpg
https://cdn.ncbi.nlm.nih.gov/pmc/blobs/541b/3562572/f1ee9deb72b0/CRIM.SURGERY2013-454321.003.jpg
https://cdn.ncbi.nlm.nih.gov/pmc/blobs/541b/3562572/62a332d16a25/CRIM.SURGERY2013-454321.004.jpg
https://cdn.ncbi.nlm.nih.gov/pmc/blobs/541b/3562572/5d2d40eabe2c/CRIM.SURGERY2013-454321.001.jpg
https://cdn.ncbi.nlm.nih.gov/pmc/blobs/541b/3562572/b80d7c7ecc42/CRIM.SURGERY2013-454321.002.jpg
https://cdn.ncbi.nlm.nih.gov/pmc/blobs/541b/3562572/f1ee9deb72b0/CRIM.SURGERY2013-454321.003.jpg
https://cdn.ncbi.nlm.nih.gov/pmc/blobs/541b/3562572/62a332d16a25/CRIM.SURGERY2013-454321.004.jpg

相似文献

1
Subcutaneous splenosis of the abdominal wall: report of a case and review of the literature.腹壁皮下脾组织植入:1例报告并文献复习
Case Rep Surg. 2013;2013:454321. doi: 10.1155/2013/454321. Epub 2013 Jan 15.
2
Unusual subcutaneous splenosis occurring in a gunshot wound scar: pathology and immunohistochemical identification.
Pathol Int. 2006 Jun;56(6):336-9. doi: 10.1111/j.1440-1827.2006.01968.x.
3
Subcutaneous Splenosis Presenting 37 years post-traumatic splenectomy; A Case Report.创伤后脾切除37年后出现的皮下脾种植;病例报告
Int J Surg Case Rep. 2022 May;94:107018. doi: 10.1016/j.ijscr.2022.107018. Epub 2022 Apr 2.
4
Rectovaginal Splenosis: An Unexpected Cause of Dyspareunia Approached by Laparoscopy.直肠阴道脾种植症:腹腔镜检查发现的导致性交困难的意外病因
J Minim Invasive Gynecol. 2017 Jul-Aug;24(5):715-716. doi: 10.1016/j.jmig.2016.12.006. Epub 2016 Dec 19.
5
[Splenosis as a rare cause of abdominal pain].[脾组织自体移植作为腹痛的罕见病因]
Rozhl Chir. 2016;95(4):168-71.
6
Combined Intrathoracic and Subcutaneous Splenosis Discovered 51 Years after Abdominal Trauma.腹部创伤51年后发现的合并胸腔内及皮下脾组织植入
Case Rep Pulmonol. 2015;2015:969067. doi: 10.1155/2015/969067. Epub 2015 Jul 8.
7
A case report of abdominal splenosis - a practical mini-review for a gastroenterologist.腹部脾组织异位症 1 例报告——消化科医生的实用迷你综述。
J Gastrointestin Liver Dis. 2011 Sep;20(3):321-4.
8
Silent pelvic splenosis: Case report.隐匿性盆腔脾组织植入:病例报告
Int J Surg Case Rep. 2015;13:129-30. doi: 10.1016/j.ijscr.2014.10.100. Epub 2015 Jun 10.
9
Symptomatic isolated thoracic splenosis 11 years after abdominal trauma – Case report.腹部创伤11年后出现症状性孤立性胸腔脾植入——病例报告
Srp Arh Celok Lek. 2016 Sep-Oct;144(9-10):541-4.
10
Thoracic splenosis more than 40 years after thoracoabdominal trauma.胸腹外伤40多年后发生的胸腔内脾组织异位。
J Am Osteopath Assoc. 2013 Nov;113(11):853-6. doi: 10.7556/jaoa.2013.061.

引用本文的文献

1
Case Report: Post-splenectomy bulky pelvic splenosis in an adolescent with hereditary spherocytosis.病例报告:一名患有遗传性球形红细胞增多症的青少年脾切除术后盆腔出现巨大脾组织植入。
Front Pediatr. 2025 Apr 28;13:1581533. doi: 10.3389/fped.2025.1581533. eCollection 2025.
2
Case Report: Post-traumatic splenosis and potential pitfall for PSMA-PET.病例报告:创伤后脾组织异位及PSMA-PET的潜在陷阱
Front Nucl Med. 2023 Nov 27;3:1319952. doi: 10.3389/fnume.2023.1319952. eCollection 2023.
3
Multiple intra-abdominal splenosis with imaging correlative findings: A case report and review of literature.

本文引用的文献

1
Intrahepatic splenosis mimicking hepatoma.酷似肝癌的肝内脾组织植入
BMJ Case Rep. 2009;2009. doi: 10.1136/bcr.06.2008.0230. Epub 2009 Feb 2.
2
Combined subcutaneous, intrathoracic and abdominal splenosis.联合皮下、胸腔内和腹腔内脾组织异位症。
Arch Iran Med. 2010 Sep;13(5):436-9.
3
Subcutaneous splenosis in gunshot outlet: case report.枪伤出口处的皮下脾组织自体移植:病例报告
伴有影像学相关表现的多发性腹腔内脾组织植入:一例病例报告及文献复习
Radiol Case Rep. 2024 Jul 26;19(10):4312-4315. doi: 10.1016/j.radcr.2024.06.084. eCollection 2024 Oct.
4
Intrapancreatic accessory spleens in African swine fever infection of wild boar ().野猪非洲猪瘟感染中的胰腺内副脾()。
Front Vet Sci. 2023 Dec 12;10:1306320. doi: 10.3389/fvets.2023.1306320. eCollection 2023.
5
The Benign Side of the Abdominal Wall: A Pictorial Review of Non-Neoplastic Diseases.腹壁的良性病变:非肿瘤性疾病的图谱综述
Diagnostics (Basel). 2022 Dec 17;12(12):3211. doi: 10.3390/diagnostics12123211.
6
Abdominal and pelvic splenosis: atypical findings, pitfalls, and mimics.腹部和盆腔脾组织植入症:非典型表现、陷阱和类似物。
Abdom Radiol (NY). 2022 Mar;47(3):923-947. doi: 10.1007/s00261-021-03402-3. Epub 2022 Jan 25.
7
Coincidence of Intra-Abdominal Splenosis in a Patient with Advanced Ovarian Cancer: Case Report and Review of the Literature.晚期卵巢癌患者合并腹腔内脾组织植入:病例报告及文献复习
Surg J (N Y). 2021 Jun 23;7(2):e116-e120. doi: 10.1055/s-0041-1731426. eCollection 2021 Apr.
8
Splenosis of the Mesoappendix with Acute Appendicitis: A Case Report.盲肠系膜脾组织异位症合并急性阑尾炎:1 例报告。
Am J Case Rep. 2020 Apr 17;21:e921685. doi: 10.12659/AJCR.921685.
9
Two Rare Cases of Intrathoracic Splenosis and Subcutaneous Splenosis: Spleen Scintigraphy Avoided the Need for Invasive Procedures.两例罕见的胸腔内脾组织植入和皮下脾组织植入病例:脾脏闪烁扫描术避免了侵入性操作的必要性。
Nucl Med Mol Imaging. 2016 Mar;50(1):76-9. doi: 10.1007/s13139-015-0370-0. Epub 2015 Sep 30.
10
Splenosis: A Rare Etiology for Bowel Obstruction-A Case Report and Review of the Literature.脾组织植入:肠梗阻的一种罕见病因——病例报告及文献综述
Case Rep Surg. 2015;2015:890602. doi: 10.1155/2015/890602. Epub 2015 Oct 12.
J Trauma. 2009 Apr;66(4):E55-6. doi: 10.1097/01.ta.0000221052.47401.5a.
4
A case of multiple intra-abdominal splenosis with computed tomography and magnetic resonance imaging correlative findings.一例腹部多发脾组织异位的计算机断层扫描和磁共振成像相关表现
World J Gastroenterol. 2008 Mar 7;14(9):1453-5. doi: 10.3748/wjg.14.1453.
5
Splenosis: a review.脾组织植入:综述
South Med J. 2007 Jun;100(6):589-93. doi: 10.1097/SMJ.0b013e318038d1f8.
6
Subcutaneous splenosis of the abdominal wall.腹壁皮下脾组织植入
Am J Dermatopathol. 2006 Jun;28(3):208-10. doi: 10.1097/00000372-200606000-00006.
7
Unusual subcutaneous splenosis occurring in a gunshot wound scar: pathology and immunohistochemical identification.
Pathol Int. 2006 Jun;56(6):336-9. doi: 10.1111/j.1440-1827.2006.01968.x.
8
Consider the diagnosis of splenosis for soft tissue masses long after any splenic injury.对于任何脾脏损伤后很长时间出现的软组织肿块,应考虑脾组织异位的诊断。
Am Surg. 2004 Nov;70(11):967-70.
9
Splenosis: a sequel of rupture of the spleen.脾组织自体移植:脾脏破裂的后遗症。
East Afr Med J. 1951 Jul;28(7):265-9.
10
Splenosis: the autotransplantation of splenic tissue following injury to the spleen; report of two cases and review of the literature.脾组织自体移植:脾脏损伤后脾组织的自体移植;两例报告并文献复习
Ann Surg. 1959 Mar;149(3):402-14. doi: 10.1097/00000658-195903000-00010.