Suppr超能文献

Combined Intrathoracic and Subcutaneous Splenosis Discovered 51 Years after Abdominal Trauma.

作者信息

Gleason James Benjamin, Hadeh Anas, Diacovo Maria Julia, Schroeder Jonathan Ryan

机构信息

Department of Pulmonary and Critical Care Medicine, Cleveland Clinic Florida, 2950 Cleveland Clinic Boulevard, Weston, FL 33331, USA.

Department of Pathology and Laboratory Medicine, Cleveland Clinic Florida, 2950 Cleveland Clinic Boulevard, Weston, FL 33331, USA.

出版信息

Case Rep Pulmonol. 2015;2015:969067. doi: 10.1155/2015/969067. Epub 2015 Jul 8.

Abstract

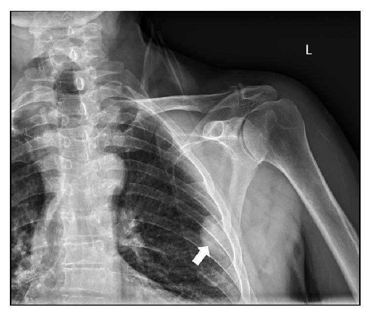
Splenosis is a rare condition that results from the autotransplantation of splenic parenchyma into unexpected locations such as the abdomen or subcutaneous tissue. In the presence of coexisting injury to the diaphragm intrathoracic transplantation can occur emerging as single or multiple pleural-based masses. This occurs after traumatic rupture of the spleen and is usually asymptomatic, only to be discovered incidentally on routine thoracic or abdominal imaging. To our knowledge this is the third documented case of combined intrathoracic and subcutaneous splenosis found in English literature. This occurred in a 71-year-old male involved in a motor vehicle accident at age 19 requiring urgent splenectomy. He has a significant cigarette smoking history and was referred to our hospital for further evaluation of an abnormality seen on shoulder X-ray.

摘要
https://cdn.ncbi.nlm.nih.gov/pmc/blobs/366a/4510120/4f620bda6862/CRIPU2015-969067.001.jpg

文献AI研究员

20分钟写一篇综述,助力文献阅读效率提升50倍。

立即体验

用中文搜PubMed

大模型驱动的PubMed中文搜索引擎

马上搜索

文档翻译

学术文献翻译模型,支持多种主流文档格式。

立即体验