• 文献检索
  • 文档翻译
  • 深度研究
  • 学术资讯
  • Suppr Zotero 插件Zotero 插件
  • 邀请有礼
  • 套餐&价格
  • 历史记录
应用&插件
Suppr Zotero 插件Zotero 插件浏览器插件Mac 客户端Windows 客户端微信小程序
定价
高级版会员购买积分包购买API积分包
服务
文献检索文档翻译深度研究API 文档MCP 服务
关于我们
关于 Suppr公司介绍联系我们用户协议隐私条款
关注我们

Suppr 超能文献

核心技术专利:CN118964589B侵权必究
粤ICP备2023148730 号-1Suppr @ 2026

文献检索

告别复杂PubMed语法,用中文像聊天一样搜索,搜遍4000万医学文献。AI智能推荐,让科研检索更轻松。

立即免费搜索

文件翻译

保留排版,准确专业,支持PDF/Word/PPT等文件格式,支持 12+语言互译。

免费翻译文档

深度研究

AI帮你快速写综述,25分钟生成高质量综述,智能提取关键信息,辅助科研写作。

立即免费体验

白蛋白样蛋白是血管氧化还原信号的关键调节因子。

Albumin-like proteins are critical regulators of vascular redox signaling.

机构信息

Department of Biochemistry and Molecular Biology, University of Louisville School of Medicine, 580 South Preston Street, Louisville, KY 40202, USA.

出版信息

Oxid Med Cell Longev. 2013;2013:628615. doi: 10.1155/2013/628615. Epub 2013 Feb 5.

DOI:10.1155/2013/628615
PMID:23476722
原文链接:https://pmc.ncbi.nlm.nih.gov/articles/PMC3576797/
Abstract

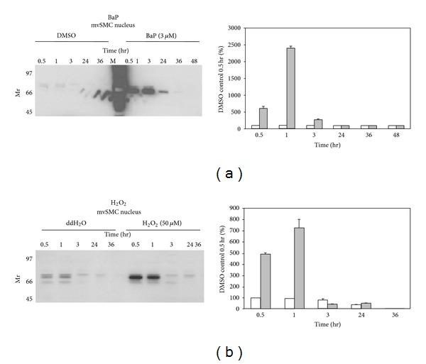
This laboratory previously identified an albumin-like protein (denoted as p70) as a component of the macromolecular complex assembled within the 5'-regulatory region of redox-sensitive genes in vascular smooth muscle cells (vSMCs). Here we show that p70 is present in the cytosolic and nuclear compartments of vSMCs and dynamically responsive to redox status. Intense cytoplasmic and perinuclear staining, coupled with enhanced nuclear localization, was observed in vSMCs, but not HepG2 cells, treated with benzo(a)pyrene (BaP), H(2)O(2), or N-acetylcysteine, agents known to modulate redox status. 3' RACE indicated that p70 is not generated as a product of endogenous gene expression, but rather taken up from the extracellular compartment. While p70 was undetectable in cells grown for 24 hours under serum-free conditions, cell-associated, acid-resistant albumin was detected 30 min after the addition of exogenous albumin. vSMCs incubated at 4°C with 100  μ g/mL unlabeled BSA and 10  μ g/mL FITC-BSA for 60 minutes and switched to 37°C to examine temperature-sensitive label uptake showed punctate structures throughout the cell consistent with albumin internalization at the higher temperature. Albumin was found to influence redox-signaling, as evidenced by modulation of cyp1a1 gsta1 and Ha-ras gene inducibility. Together, these results implicate albumin and albumin-like proteins as critical regulators of vascular redox signaling.

摘要

本实验室先前鉴定出一种白蛋白样蛋白(表示为 p70),作为血管平滑肌细胞(vSMCs)中氧化还原敏感基因 5'调控区组装的大分子复合物的组成部分。在这里,我们表明 p70存在于 vSMCs 的细胞质和核区室中,并且对氧化还原状态具有动态响应。在用苯并(a)芘(BaP)、H2O2 或 N-乙酰半胱氨酸处理的 vSMCs 中观察到强烈的细胞质和核周染色,同时增强了核定位,但在 HepG2 细胞中未观察到这种情况,这些试剂已知可调节氧化还原状态。3' RACE 表明,p70不是作为内源性基因表达的产物产生的,而是从细胞外区室摄取的。虽然在无血清条件下培养 24 小时的细胞中无法检测到 p70,但在添加外源性白蛋白 30 分钟后检测到细胞相关的、耐酸的白蛋白。将 vSMCs 在 4°C 下与 100 μg/mL 未标记的 BSA 和 10 μg/mL FITC-BSA 孵育 60 分钟,然后切换至 37°C 以检查温度敏感的标记摄取,结果显示整个细胞中都有点状结构,这与在较高温度下的白蛋白内化一致。白蛋白被发现影响氧化还原信号,这可以通过调节 cyp1a1 gsta1 和 Ha-ras 基因的诱导性来证明。总之,这些结果表明白蛋白和白蛋白样蛋白是血管氧化还原信号的关键调节剂。

https://cdn.ncbi.nlm.nih.gov/pmc/blobs/30c7/3576797/18550cb44353/OXIMED2013-628615.007.jpg
https://cdn.ncbi.nlm.nih.gov/pmc/blobs/30c7/3576797/fbbf3a968d5d/OXIMED2013-628615.001.jpg
https://cdn.ncbi.nlm.nih.gov/pmc/blobs/30c7/3576797/8d38a3497f61/OXIMED2013-628615.002.jpg
https://cdn.ncbi.nlm.nih.gov/pmc/blobs/30c7/3576797/d0c15d9aad9c/OXIMED2013-628615.003.jpg
https://cdn.ncbi.nlm.nih.gov/pmc/blobs/30c7/3576797/ccbf1d5585e2/OXIMED2013-628615.004.jpg
https://cdn.ncbi.nlm.nih.gov/pmc/blobs/30c7/3576797/26f36ec99688/OXIMED2013-628615.005.jpg
https://cdn.ncbi.nlm.nih.gov/pmc/blobs/30c7/3576797/9442647e4a98/OXIMED2013-628615.006.jpg
https://cdn.ncbi.nlm.nih.gov/pmc/blobs/30c7/3576797/18550cb44353/OXIMED2013-628615.007.jpg
https://cdn.ncbi.nlm.nih.gov/pmc/blobs/30c7/3576797/fbbf3a968d5d/OXIMED2013-628615.001.jpg
https://cdn.ncbi.nlm.nih.gov/pmc/blobs/30c7/3576797/8d38a3497f61/OXIMED2013-628615.002.jpg
https://cdn.ncbi.nlm.nih.gov/pmc/blobs/30c7/3576797/d0c15d9aad9c/OXIMED2013-628615.003.jpg
https://cdn.ncbi.nlm.nih.gov/pmc/blobs/30c7/3576797/ccbf1d5585e2/OXIMED2013-628615.004.jpg
https://cdn.ncbi.nlm.nih.gov/pmc/blobs/30c7/3576797/26f36ec99688/OXIMED2013-628615.005.jpg
https://cdn.ncbi.nlm.nih.gov/pmc/blobs/30c7/3576797/9442647e4a98/OXIMED2013-628615.006.jpg
https://cdn.ncbi.nlm.nih.gov/pmc/blobs/30c7/3576797/18550cb44353/OXIMED2013-628615.007.jpg

相似文献

1
Albumin-like proteins are critical regulators of vascular redox signaling.白蛋白样蛋白是血管氧化还原信号的关键调节因子。
Oxid Med Cell Longev. 2013;2013:628615. doi: 10.1155/2013/628615. Epub 2013 Feb 5.
2
Identification of albumin precursor protein, Phi AP3, and alpha-smooth muscle actin as novel components of redox sensing machinery in vascular smooth muscle cells.鉴定白蛋白前体蛋白、Phi AP3和α平滑肌肌动蛋白为血管平滑肌细胞中氧化还原传感机制的新成分。
Mol Pharmacol. 2002 May;61(5):1174-83. doi: 10.1124/mol.61.5.1174.
3
Activation of c-Ha-ras by benzo(a)pyrene in vascular smooth muscle cells involves redox stress and aryl hydrocarbon receptor.苯并(a)芘在血管平滑肌细胞中激活c-Ha-ras涉及氧化还原应激和芳烃受体。
Mol Pharmacol. 2000 Jul;58(1):152-8. doi: 10.1124/mol.58.1.152.
4
Interference with protein kinase C-related signal transduction in vascular smooth muscle cells by benzo[a]pyrene.苯并[a]芘对血管平滑肌细胞中蛋白激酶C相关信号转导的干扰。
Arch Biochem Biophys. 1995 Apr 1;318(1):122-30. doi: 10.1006/abbi.1995.1212.
5
Profiles of antioxidant/electrophile response element (ARE/EpRE) nuclear protein binding and c-Ha-ras transactivation in vascular smooth muscle cells treated with oxidative metabolites of benzo[a]pyrene.用苯并[a]芘氧化代谢物处理的血管平滑肌细胞中抗氧化剂/亲电反应元件(ARE/EpRE)核蛋白结合及c-Ha-ras反式激活情况
Biochem Pharmacol. 2000 Nov 1;60(9):1285-96. doi: 10.1016/s0006-2952(00)00439-1.
6
Genomic profiles and predictive biological networks in oxidant-induced atherogenesis.氧化应激诱导动脉粥样硬化中的基因组图谱和预测性生物网络。
Physiol Genomics. 2003 May 13;13(3):263-75. doi: 10.1152/physiolgenomics.00006.2003.
7
Activation of nuclear protein binding to the antioxidant/electrophile response element in vascular smooth muscle cells by benzo(a)pyrene.苯并(a)芘对血管平滑肌细胞核蛋白与抗氧化剂/亲电反应元件结合的激活作用。
Biochem Biophys Res Commun. 2000 Jan 7;267(1):12-6. doi: 10.1006/bbrc.1999.1912.
8
Identification of benzo[a]pyrene-inducible cis-acting elements within c-Ha-ras transcriptional regulatory sequences.在c-Ha-ras转录调控序列中鉴定苯并[a]芘诱导的顺式作用元件。
Mol Pharmacol. 1997 Dec;52(6):974-82. doi: 10.1124/mol.52.6.974.
9
The induction of proliferative vascular smooth muscle cell phenotypes by benzo(a)pyrene is characterized by up-regulation of inositol phospholipid metabolism and c-Ha-ras gene expression.苯并(a)芘诱导增殖性血管平滑肌细胞表型的特征是肌醇磷脂代谢和c-Ha-ras基因表达上调。
Arch Biochem Biophys. 1996 Aug 15;332(2):213-22. doi: 10.1006/abbi.1996.0335.
10
Benzo(a)pyrene activates L1Md retrotransposon and inhibits DNA repair in vascular smooth muscle cells.苯并(a)芘激活L1Md逆转座子并抑制血管平滑肌细胞中的DNA修复。
Mutat Res. 2000 Nov 6;454(1-2):35-44. doi: 10.1016/s0027-5107(00)00095-6.

引用本文的文献

1
NET Release of Long-Term Surviving Neutrophils.中性粒细胞的长效存活释放。
Front Immunol. 2022 Feb 15;13:815412. doi: 10.3389/fimmu.2022.815412. eCollection 2022.

本文引用的文献

1
Simple ortho- and para-hydroquinones as compounds neuroprotective against oxidative stress in a manner associated with specific transcriptional activation.简单的邻苯二酚和对苯二酚作为化合物,以与特定转录激活相关的方式对氧化应激具有神经保护作用。
Biochem Biophys Res Commun. 2009 Feb 6;379(2):537-41. doi: 10.1016/j.bbrc.2008.12.106. Epub 2008 Dec 30.
2
Albumin as a zinc carrier: properties of its high-affinity zinc-binding site.白蛋白作为锌载体:其高亲和力锌结合位点的特性。
Biochem Soc Trans. 2008 Dec;36(Pt 6):1317-21. doi: 10.1042/BST0361317.
3
Lipoic acid as an anti-inflammatory and neuroprotective treatment for Alzheimer's disease.
硫辛酸作为阿尔茨海默病的抗炎和神经保护治疗手段。
Adv Drug Deliv Rev. 2008 Oct-Nov;60(13-14):1463-70. doi: 10.1016/j.addr.2008.04.015. Epub 2008 Jul 4.
4
The antioxidant properties of serum albumin.血清白蛋白的抗氧化特性。
FEBS Lett. 2008 Jun 11;582(13):1783-7. doi: 10.1016/j.febslet.2008.04.057. Epub 2008 May 12.
5
Genetic networks of cooperative redox regulation of osteopontin.骨桥蛋白协同氧化还原调节的遗传网络
Matrix Biol. 2008 Jun;27(5):462-74. doi: 10.1016/j.matbio.2008.01.009. Epub 2008 Apr 18.
6
Activation profiles of HSPA5 during the glomerular mesangial cell stress response to chemical injury.肾小球系膜细胞对化学损伤应激反应过程中HSPA5的激活谱。
Cell Stress Chaperones. 2007 Autumn;12(3):209-18. doi: 10.1379/csc-259.1.
7
p38 MAPK activation coupled to endocytosis is a determinant of endothelial monolayer integrity.与内吞作用相关联的p38丝裂原活化蛋白激酶激活是内皮细胞单层完整性的一个决定因素。
Am J Physiol Lung Cell Mol Physiol. 2007 Jan;292(1):L114-24. doi: 10.1152/ajplung.00257.2005. Epub 2006 Aug 4.
8
The extraordinary ligand binding properties of human serum albumin.人血清白蛋白非凡的配体结合特性。
IUBMB Life. 2005 Dec;57(12):787-96. doi: 10.1080/15216540500404093.
9
Albumin endocytosis in endothelial cells induces TGF-beta receptor II signaling.内皮细胞中的白蛋白内吞作用可诱导转化生长因子-β受体II信号传导。
Am J Physiol Lung Cell Mol Physiol. 2004 May;286(5):L1016-26. doi: 10.1152/ajplung.00356.2003. Epub 2004 Jan 16.
10
Albumin stimulates interleukin-8 expression in proximal tubular epithelial cells in vitro and in vivo.白蛋白在体外和体内均可刺激近端肾小管上皮细胞中白细胞介素-8的表达。
J Clin Invest. 2003 Feb;111(4):515-27. doi: 10.1172/JCI16079.