Suppr超能文献

Community-Associated Methicillin-Resistant Staphylococcus aureus Lacking PVL, as a Cause of Severe Invasive Infection Treated with Linezolid.

作者信息

Gouveia Catarina, Gavino Alexandra, Bouchami Ons, Miragaia Maria, Varandas Luis, de Lencastre Herminia, Brito Maria Joao

机构信息

Infectious Diseases Unit, Pediatric Department, Dona Estefânia Hospital, CHLC, Jacinta Marto Street, 1169-045 Lisbon, Portugal.

出版信息

Case Rep Pediatr. 2013;2013:727824. doi: 10.1155/2013/727824. Epub 2013 Feb 20.

Abstract

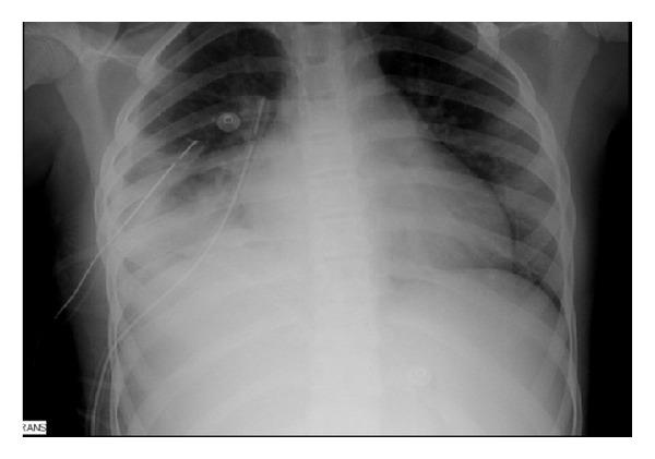
Community-associated methicillin-resistant Staphylococcus aureus (CA-MRSA) is an emerging public health problem worldwide. Severe invasive infections have been described, mostly associated with the presence of Panton-Valentine leukocidin (PVL). In Portugal limited information exists regarding CA-MRSA infections. In this study we describe the case of a previously healthy 12-year-old female, sport athlete, who presented to the hospital with acetabulofemoral septic arthritis, myositis, fasciitis, acetabulum osteomyelitis, and pneumonia. The MRSA isolated from blood and synovial fluid was PVL negative and staphylococcal enterotoxin type P (SEP) and type L (SEL) positive, with a vancomycin MIC of 1.0 mg/L and resistant to clindamycin and ciprofloxacin. The patient was submitted to multiple surgical drainages and started on vancomycin, rifampicin, and gentamycin. Due to persistence of fever and no microbiological clearance, linezolid was started with improvement. This is one of the few reported cases of severe invasive infection caused by CA-MRSA in Portugal, which was successfully treated with linezolid. In spite of the severity of infection, the MRSA isolate did not produce PVL.

摘要
https://cdn.ncbi.nlm.nih.gov/pmc/blobs/8ede/3590555/5142047b10e0/CRIM.PEDIATRICS2013-727824.001.jpg

相似文献

6
Community-acquired pneumonia caused by methicillin-resistant Staphylococcus aureus in a Chinese adult: A case report.
Medicine (Baltimore). 2020 Jun 26;99(26):e20914. doi: 10.1097/MD.0000000000020914.

本文引用的文献

1
Community-associated methicillin-resistant Staphylococcus aureus infection in Portugal.
Rev Port Pneumol. 2012 Jan-Feb;18(1):34-8. doi: 10.1016/j.rppneu.2011.05.007. Epub 2011 Jul 29.
5
Serious infections caused by methicillin-resistant Staphylococcus aureus.
Clin Infect Dis. 2010 Sep 15;51 Suppl 2:S183-97. doi: 10.1086/653519.
8
Staphylococcus aureus: a community pathogen.
Infect Dis Clin North Am. 2009 Mar;23(1):35-52. doi: 10.1016/j.idc.2008.10.002.
10
Clinical failures of appropriately-treated methicillin-resistant Staphylococcus aureus infections.
J Infect. 2008 Aug;57(2):110-5. doi: 10.1016/j.jinf.2008.04.003. Epub 2008 Jun 3.

文献AI研究员

20分钟写一篇综述,助力文献阅读效率提升50倍。

立即体验

用中文搜PubMed

大模型驱动的PubMed中文搜索引擎

马上搜索

文档翻译

学术文献翻译模型,支持多种主流文档格式。

立即体验