• 文献检索
  • 文档翻译
  • 深度研究
  • 学术资讯
  • Suppr Zotero 插件Zotero 插件
  • 邀请有礼
  • 套餐&价格
  • 历史记录
应用&插件
Suppr Zotero 插件Zotero 插件浏览器插件Mac 客户端Windows 客户端微信小程序
定价
高级版会员购买积分包购买API积分包
服务
文献检索文档翻译深度研究API 文档MCP 服务
关于我们
关于 Suppr公司介绍联系我们用户协议隐私条款
关注我们

Suppr 超能文献

核心技术专利:CN118964589B侵权必究
粤ICP备2023148730 号-1Suppr @ 2026

文献检索

告别复杂PubMed语法,用中文像聊天一样搜索,搜遍4000万医学文献。AI智能推荐,让科研检索更轻松。

立即免费搜索

文件翻译

保留排版,准确专业,支持PDF/Word/PPT等文件格式,支持 12+语言互译。

免费翻译文档

深度研究

AI帮你快速写综述,25分钟生成高质量综述,智能提取关键信息,辅助科研写作。

立即免费体验

一例桡骨表面血管瘤,造成了放射学诊断困难。

A surface-based hemangioma of the radius which posed radiological diagnostic difficulties.

作者信息

Shinohara Takaaki, Tatebe Masahiro, Yamamoto Michiro, Kurimoto Shigeru, Hirata Hitoshi

机构信息

Department of Hand Surgery, Graduate School of Medicine, Nagoya University, Nagoya, Japan.

出版信息

Nagoya J Med Sci. 2013 Feb;75(1-2):125-9.

PMID:23544276
原文链接:https://pmc.ncbi.nlm.nih.gov/articles/PMC4345707/
Abstract

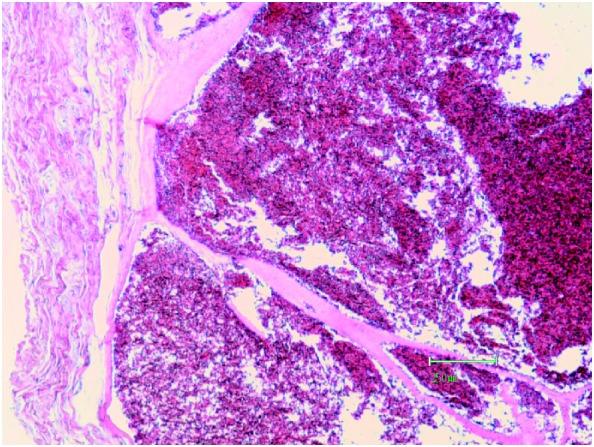
Surface-based bone hemangiomas are uncommon, mostly occurring in long bones of the lower extremities. Radiographic surface-based bone hemangioma images may present various features that provide a diagnostic challenge. We report a case of surface-based hemangioma of the radius that posed radiological diagnostic difficulties. The tumor size was small and the cortical reaction was subtle. MRI findings were nonspecific and angiography was useful in the assessment of painful but less obvious surface-based bone hemangioma. The patient's pain improved following surgery and no tumor recurrence was observed at 3 years after surgery.

摘要

骨表面血管瘤并不常见,多发生于下肢长骨。基于影像学的骨表面血管瘤图像可能呈现出各种特征,给诊断带来挑战。我们报告一例桡骨骨表面血管瘤病例,该病例在放射学诊断上存在困难。肿瘤体积较小,皮质反应不明显。磁共振成像(MRI)表现不具有特异性,血管造影术有助于评估疼痛但表现不明显的骨表面血管瘤。患者术后疼痛改善,术后3年未观察到肿瘤复发。

https://cdn.ncbi.nlm.nih.gov/pmc/blobs/683e/4345707/a63c0246ff89/2186-3326-75-0125-g005.jpg
https://cdn.ncbi.nlm.nih.gov/pmc/blobs/683e/4345707/070104ff8804/2186-3326-75-0125-g001.jpg
https://cdn.ncbi.nlm.nih.gov/pmc/blobs/683e/4345707/205755bd373b/2186-3326-75-0125-g002.jpg
https://cdn.ncbi.nlm.nih.gov/pmc/blobs/683e/4345707/cb8755f34581/2186-3326-75-0125-g003.jpg
https://cdn.ncbi.nlm.nih.gov/pmc/blobs/683e/4345707/da5b03f54840/2186-3326-75-0125-g004.jpg
https://cdn.ncbi.nlm.nih.gov/pmc/blobs/683e/4345707/a63c0246ff89/2186-3326-75-0125-g005.jpg
https://cdn.ncbi.nlm.nih.gov/pmc/blobs/683e/4345707/070104ff8804/2186-3326-75-0125-g001.jpg
https://cdn.ncbi.nlm.nih.gov/pmc/blobs/683e/4345707/205755bd373b/2186-3326-75-0125-g002.jpg
https://cdn.ncbi.nlm.nih.gov/pmc/blobs/683e/4345707/cb8755f34581/2186-3326-75-0125-g003.jpg
https://cdn.ncbi.nlm.nih.gov/pmc/blobs/683e/4345707/da5b03f54840/2186-3326-75-0125-g004.jpg
https://cdn.ncbi.nlm.nih.gov/pmc/blobs/683e/4345707/a63c0246ff89/2186-3326-75-0125-g005.jpg

相似文献

1
A surface-based hemangioma of the radius which posed radiological diagnostic difficulties.一例桡骨表面血管瘤,造成了放射学诊断困难。
Nagoya J Med Sci. 2013 Feb;75(1-2):125-9.
2
Hemangioma of rib masquerading a malignancy.肋骨血管瘤伪装成恶性肿瘤。
J Cancer Res Ther. 2018 Sep;14(Supplement):S809-S811. doi: 10.4103/0973-1482.204847.
3
Lower limb bone hemangiomas in children: report of two cases.儿童下肢骨血管瘤:两例报告。
J Pediatr Orthop. 1991 Jul-Aug;11(4):482-4. doi: 10.1097/01241398-199107000-00011.
4
Atypical bone angiomas in children.儿童非典型骨血管瘤
Ital J Orthop Traumatol. 1984 Jun;10(2):251-5.
5
Does Wrist Arthrodesis With Structural Iliac Crest Bone Graft After Wide Resection of Distal Radius Giant Cell Tumor Result in Satisfactory Function and Local Control?桡骨远端巨细胞瘤广泛切除术后采用结构性髂嵴骨移植进行腕关节融合术能否获得满意的功能和局部控制效果?
Clin Orthop Relat Res. 2017 Mar;475(3):767-775. doi: 10.1007/s11999-015-4678-y.
6
Giant cell tumour of the lower end of the radius--a new treatment modality.
J Indian Med Assoc. 1996 May;94(5):170-1.
7
Solitary giant hemangioma of the humerus.肱骨孤立性巨大血管瘤
Orthopedics. 2009 Dec;32(12):925. doi: 10.3928/01477447-20091020-24.
8
Recurrent benign chondroblastoma at the distal end of the radius.
J Hand Surg Br. 1999 Feb;24(1):113-5. doi: 10.1016/s0266-7681(99)90057-8.
9
Factors of local recurrence of giant cell tumor of long bone after treatment: plain radiographs, pathology and surgical procedures.长骨骨巨细胞瘤治疗后局部复发的因素:X线平片、病理学及手术操作
J Med Assoc Thai. 2011 Oct;94(10):1230-7.
10
Intraosseous hemangioma of the rib mimicking an aggressive chest wall tumor.肋骨骨内血管瘤,酷似侵袭性胸壁肿瘤。
Diagn Interv Radiol. 2011 Jun;17(2):118-21. doi: 10.4261/1305-3825.DIR.3031-09.2. Epub 2010 Jun 30.

引用本文的文献

1
Single-Stage Surgery Using Calcium Sulfate Pellets in Association with Tumor Resection as Treatment for Intraosseous Hemangioma of the Radius Shaft in a 2-Year-Old Boy.采用硫酸钙颗粒联合肿瘤切除的一期手术治疗一名2岁男孩桡骨干骨内血管瘤
J Hand Microsurg. 2017 Dec;9(3):154-158. doi: 10.1055/s-0037-1605355. Epub 2017 Aug 1.

本文引用的文献

1
Solitary skeletal hemangioma of the extremities.四肢孤立性骨血管瘤
Skeletal Radiol. 2000 Sep;29(9):502-13. doi: 10.1007/s002560000251.
2
Surface-based hemangioma of bone: three case studies and a review of the literature.骨表面血管瘤:三例病例研究及文献综述
Skeletal Radiol. 1998 Apr;27(4):182-7. doi: 10.1007/s002560050362.
3
Surface-based hemangiomas of bone. A review of 11 cases.骨表面血管瘤。11例病例回顾。
Clin Orthop Relat Res. 1994 Mar(300):233-40.
4
Subperiosteal hemangioma. A case report and review of the literature.骨膜下血管瘤。病例报告及文献综述。
Clin Orthop Relat Res. 1988 Jul(232):279-83.
5
Tibial periosteal hemangioma.胫骨骨膜血管瘤
Clin Orthop Relat Res. 1975 Jan-Feb(106):242-4. doi: 10.1097/00003086-197501000-00035.