Suppr超能文献

股骨远端纤维软骨性髓内骨形成肿瘤,类似于骨肉瘤。

Fibrocartilaginous intramedullary bone forming tumor of the distal femur mimicking osteosarcoma.

机构信息

Department of Orthopaedic Surgery, Soonchunhyang University Bucheon Hospital, Bucheon, Korea.

出版信息

J Korean Med Sci. 2013 Apr;28(4):631-5. doi: 10.3346/jkms.2013.28.4.631. Epub 2013 Mar 27.

Abstract

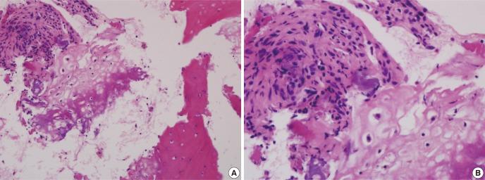
Fibrocartilaginous dysplasia (FCD) has occasionally led to a misdiagnosis and wrong decision which can significantly alter the outcome of the patients. A 9-yr-old boy presented with pain on his left distal thigh for 6 months without any trauma history. Initial radiographs showed moth eaten both osteolytic and osteosclerotic lesions and biopsy findings showed that the lesion revealed many irregular shaped and sclerotic mature and immature bony trabeculae. Initial diagnostic suggestions were varied from the conventional osteosarcoma to low grade central osteosarcoma or benign intramedullary bone forming lesion, but close observation was done. This study demonstrated a case of unusual fibrocartilaginous intramedullary bone forming tumor mimicking osteosarcoma, so that possible misdiagnosis might be made and unnecessary extensive surgical treatment could be performed. In conclusion, the role of orthopaedic oncologist as a decision maker is very important when the diagnosis is uncertain.

摘要

纤维软骨发育不良(FCD)偶尔会导致误诊和错误决策,从而显著改变患者的预后。一名 9 岁男孩因左大腿远端疼痛就诊,病史 6 个月,无外伤史。初始 X 线片显示虫蚀样溶骨性和硬化性病变,活检结果显示病变有许多不规则形状和硬化成熟及未成熟骨小梁。最初的诊断提示从常规骨肉瘤到低度中央骨肉瘤或良性髓内成骨病变不等,但进行了密切观察。本研究显示了一例不寻常的纤维软骨性髓内成骨肿瘤,类似于骨肉瘤,因此可能会出现误诊,并可能进行不必要的广泛手术治疗。总之,当诊断不确定时,矫形肿瘤学家作为决策者的作用非常重要。

https://cdn.ncbi.nlm.nih.gov/pmc/blobs/e0d7/3617321/7307ae5fab00/jkms-28-631-g001.jpg

文献AI研究员

20分钟写一篇综述,助力文献阅读效率提升50倍。

立即体验

用中文搜PubMed

大模型驱动的PubMed中文搜索引擎

马上搜索

文档翻译

学术文献翻译模型,支持多种主流文档格式。

立即体验