State Key Laboratory of Agro-Biotechnology and MOA Key Laboratory of Soil Microbiology, College of Biological Sciences, China Agricultural University, Beijing, P. R. China.
PLoS One. 2013 Apr 9;8(4):e60829. doi: 10.1371/journal.pone.0060829. Print 2013.
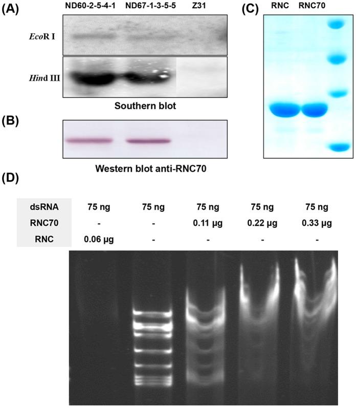
Maize rough dwarf disease (MRDD), caused by several Fijiviruses in the family Reoviridae, is a global disease that is responsible for substantial yield losses in maize. Although some maize germplasm have low levels of polygenic resistance to MRDD, highly resistant cultivated varieties are not available for agronomic field production in China. In this work, we have generated transgenic maize lines that constitutively express rnc70, a mutant E. coli dsRNA-specific endoribonuclease gene. Transgenic lines were propagated and screened under field conditions for 12 generations. During three years of evaluations, two transgenic lines and their progeny were challenged with Rice black-streaked dwarf virus (RBSDV), the causal agent of MRDD in China, and these plants exhibited reduced levels of disease severity. In two normal years of MRDD abundance, both lines were more resistant than non-transgenic plants. Even in the most serious MRDD year, six out of seven progeny from one line were resistant, whereas non-transgenic plants were highly susceptible. Molecular approaches in the T12 generation revealed that the rnc70 transgene was integrated and expressed stably in transgenic lines. Under artificial conditions permitting heavy virus inoculation, the T12 progeny of two highly resistant lines had a reduced incidence of MRDD and accumulation of RBSDV in infected plants. In addition, we confirmed that the RNC70 protein could bind directly to RBSDV dsRNA in vitro. Overall, our data show that RNC70-mediated resistance in transgenic maize can provide efficient protection against dsRNA virus infection.
玉米粗缩病(MRDD)由呼肠孤病毒科中的几种斐济病毒引起,是一种全球性疾病,可导致玉米产量大幅下降。虽然一些玉米种质资源对 MRDD 具有低水平的多基因抗性,但在中国农业生产中还没有高抗性的栽培品种。在这项工作中,我们生成了稳定表达 rnc70 的转基因玉米品系,rnc70 是一种突变的大肠杆菌 dsRNA 特异性内切核酸酶基因。转基因品系在田间条件下繁殖和筛选了 12 代。在三年的评估中,两个转基因系及其后代受到了稻矮缩病毒(RBSDV)的挑战,RBSDV 是中国 MRDD 的致病因子,这些植物的病情严重程度降低。在两年 MRDD 高发的年份,两个品系都比非转基因植物更具抗性。即使在最严重的 MRDD 年份,一个品系的七个后代中有六个具有抗性,而非转基因植物则高度易感。T12 代的分子方法表明,rnc70 转基因在转基因系中稳定整合和表达。在允许大量病毒接种的人工条件下,两个高抗性系的 T12 后代的 MRDD 发病率降低,感染植物中 RBSDV 的积累减少。此外,我们证实 RNC70 蛋白可以在体外直接与 RBSDV dsRNA 结合。总体而言,我们的数据表明,转基因玉米中的 RNC70 介导的抗性可以为 dsRNA 病毒感染提供有效的保护。