Suppr超能文献

Strong ERG Positivity in Papillary Intralymphatic Angioendothelioma of the Testis of a 24-Year-Old Male: A Case Report.

作者信息

Schultheis Anne M, Sandmann Mareike, Steurer Stefan

机构信息

Institute of Pathology, University of Cologne Medical Center, 50937 Cologne, Germany.

出版信息

Case Rep Pathol. 2013;2013:531479. doi: 10.1155/2013/531479. Epub 2013 Mar 31.

Abstract

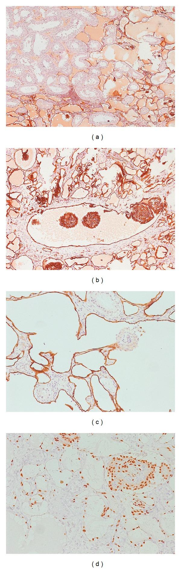
Papillary intralymphatic angioendothelioma is a rare, low-grade neoplasm of lymphatic channels that usually presents intradermally or subcutaneously. We report the case of a 24-year-old male presenting with an isolated intratesticular palpable mass and symptoms of testicular pain. Preoperative ultrasound examination showed an irregular, heterogeneous mass. Subsequent surgery and pathologic assessment revealed a papillary intralymphatic angioendothelioma (PILA), formerly known as Dabska tumor within the lymphatic spaces.

摘要
https://cdn.ncbi.nlm.nih.gov/pmc/blobs/00ba/3626176/5d5867c226e3/CRIM.PATHOLOGY2013-531479.001.jpg

文献AI研究员

20分钟写一篇综述,助力文献阅读效率提升50倍。

立即体验

用中文搜PubMed

大模型驱动的PubMed中文搜索引擎

马上搜索

文档翻译

学术文献翻译模型,支持多种主流文档格式。

立即体验