Suppr超能文献

睾丸达布斯卡瘤(血管内乳头状血管内皮瘤):一例病例报告并文献简要回顾

Dabska tumor (endovascular papillary angioendothelioma) of testis: a case report with brief review of literature.

作者信息

Bhatia Alka, Nada Ritambra, Kumar Yashwant, Menon Prema

机构信息

Department of Histopathology, Postgraduate Institute of Medical Education and Research, Chandigarh, India.

出版信息

Diagn Pathol. 2006 Jul 22;1:12. doi: 10.1186/1746-1596-1-12.

Abstract

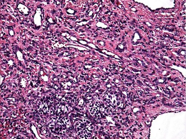
The Dabska tumor also known as Endovascular papillary angioendothelioma is a rare type of hemangioendothelioma characterized by intraluminal papillary endothelial structures. Most of these are superficial in location but occurrence in deeper tissues is also known. We describe case report of testicular Dabska tumor in a child presenting as inguinal hernia. To the best of our knowledge this is the first case report describing the occurrence of this rare entity in testis.

摘要

达布斯卡瘤也称为血管内乳头状血管内皮瘤,是一种罕见的血管内皮瘤,其特征为管腔内乳头状内皮结构。大多数此类肿瘤位于浅表部位,但也有发生于深部组织的情况。我们报告一例儿童睾丸达布斯卡瘤病例,该病例最初表现为腹股沟疝。据我们所知,这是首例描述这种罕见肿瘤发生于睾丸的病例报告。

https://cdn.ncbi.nlm.nih.gov/pmc/blobs/4209/1555613/8e6271cb35eb/1746-1596-1-12-1.jpg

文献AI研究员

20分钟写一篇综述,助力文献阅读效率提升50倍。

立即体验

用中文搜PubMed

大模型驱动的PubMed中文搜索引擎

马上搜索

文档翻译

学术文献翻译模型,支持多种主流文档格式。

立即体验