Suppr超能文献

白线疝的急诊腹腔镜修补术:病例报告及文献复习

Emergent laparoscopic repair of a spigelian hernia: case report and review of the literature.

作者信息

Barker Reid, Gill Richdeep S, Brar Avneet S, Birch Daniel W, Karmali Shahzeer

机构信息

Faculty of Medicine & Dentistry, University of Alberta, Edmonton, AB, Canada T5H 3V9.

出版信息

Case Rep Med. 2013;2013:197561. doi: 10.1155/2013/197561. Epub 2013 Apr 10.

Abstract

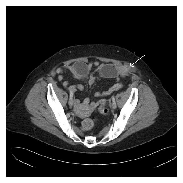
A spigelian hernia is a protrusion through an anterior abdominal wall defect along the linea semilunaris. The traditional method of repair consists of an open surgical technique requiring a lengthy abdominal incision to allow visualization of the defect. However, with the emergence and availability of laparoscopic techniques, a minimally invasive approach is feasible. Only eight prior case reports have documented emergent laparoscopic repair of a spigelian hernia. We describe the first successful laparoscopic repair of a spigelian hernia in an emergent setting at our institution.

摘要

半月线疝是指通过腹前壁沿半月线的缺损处突出。传统的修复方法是采用开放手术技术,需要做一个长的腹部切口以便观察缺损部位。然而,随着腹腔镜技术的出现和应用,微创方法是可行的。此前仅有8例病例报告记录了半月线疝的急诊腹腔镜修复。我们描述了在我们机构急诊情况下首例成功的半月线疝腹腔镜修复。

https://cdn.ncbi.nlm.nih.gov/pmc/blobs/28eb/3639685/85c0975131fe/CRIM.MEDICINE2013-197561.001.jpg

文献AI研究员

20分钟写一篇综述,助力文献阅读效率提升50倍。

立即体验

用中文搜PubMed

大模型驱动的PubMed中文搜索引擎

马上搜索

文档翻译

学术文献翻译模型,支持多种主流文档格式。

立即体验