• 文献检索
  • 文档翻译
  • 深度研究
  • 学术资讯
  • Suppr Zotero 插件Zotero 插件
  • 邀请有礼
  • 套餐&价格
  • 历史记录
应用&插件
Suppr Zotero 插件Zotero 插件浏览器插件Mac 客户端Windows 客户端微信小程序
定价
高级版会员购买积分包购买API积分包
服务
文献检索文档翻译深度研究API 文档MCP 服务
关于我们
关于 Suppr公司介绍联系我们用户协议隐私条款
关注我们

Suppr 超能文献

核心技术专利:CN118964589B侵权必究
粤ICP备2023148730 号-1Suppr @ 2026

文献检索

告别复杂PubMed语法,用中文像聊天一样搜索,搜遍4000万医学文献。AI智能推荐,让科研检索更轻松。

立即免费搜索

文件翻译

保留排版,准确专业,支持PDF/Word/PPT等文件格式,支持 12+语言互译。

免费翻译文档

深度研究

AI帮你快速写综述,25分钟生成高质量综述,智能提取关键信息,辅助科研写作。

立即免费体验

外骨膜蛋白肽刺激大型哺乳动物的心肌再生可改善心肌梗死后的功能,但会增加心肌纤维化。

Stimulating myocardial regeneration with periostin Peptide in large mammals improves function post-myocardial infarction but increases myocardial fibrosis.

机构信息

Cardiovascular Research Center, Department of Cardiology, Mount Sinai School of Medicine, New York, New York, USA.

出版信息

PLoS One. 2013 May 20;8(5):e59656. doi: 10.1371/journal.pone.0059656. Print 2013.

DOI:10.1371/journal.pone.0059656
PMID:23700403
原文链接:https://pmc.ncbi.nlm.nih.gov/articles/PMC3659021/
Abstract

AIMS

Mammalian myocardium has a finite but limited capacity to regenerate. Experimentally stimulating proliferation of cardiomyocytes with extracellular regeneration factors like periostin enhances cardiac repair in rodents. The aim of this study was to develop a safe method for delivering regeneration factors to the heart and to test the functional and structural effects of periostin peptide treatment in a large animal model of myocardial infarction (MI).

METHODS AND RESULTS

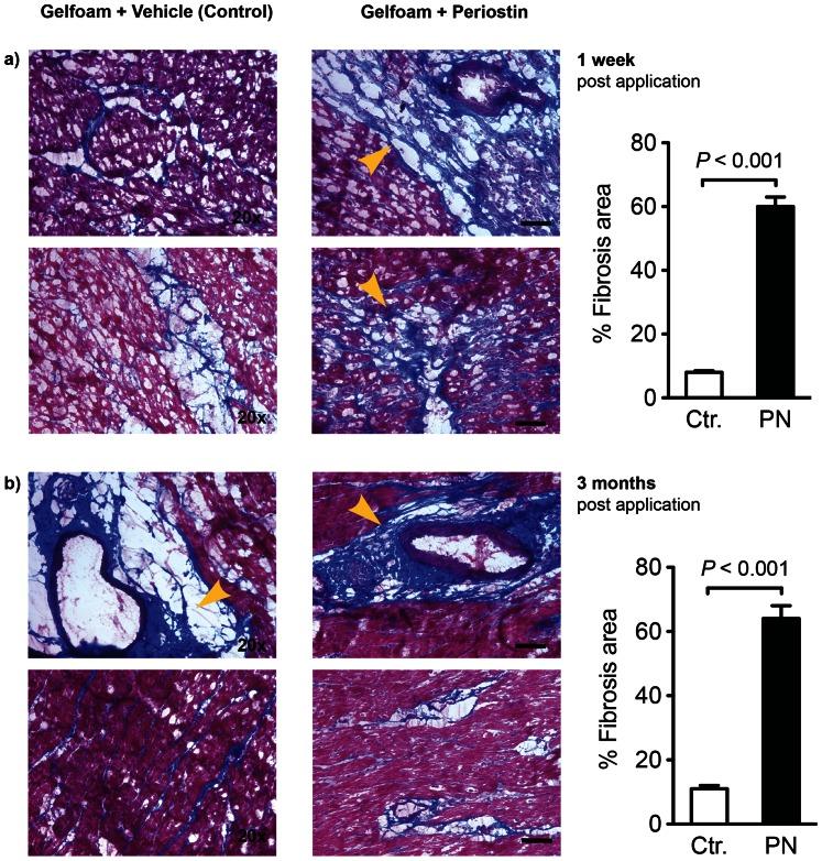
We developed a controlled release system to deliver recombinant periostin peptide into the pericardial space. A single application of this method was performed two days after experimental MI in swine. Animals were randomly assigned to receive either saline or periostin peptide. Experimental groups were compared at baseline, day 2, 1 month and 3 months. Treatment with periostin peptide increased the EF from 31% to 41% and decreased by 22% the infarct size within 12 weeks. Periostin peptide-treated animals had newly formed myocardium strips within the infarct scar, leading to locally improved myocardial function. In addition the capillary density was increased in animals receiving periostin. However, periostin peptide treatment increased myocardial fibrosis in the remote region at one week and 12 weeks post-treatment.

CONCLUSION

Our study shows that myocardial regeneration through targeted peptides is possible. However, in the case of periostin the effects on cardiac fibrosis may limit its clinical application as a viable therapeutic strategy.

摘要

目的

哺乳动物的心肌具有有限但有限的再生能力。实验上,通过外源性再生因子如骨膜蛋白刺激心肌细胞增殖,可增强啮齿动物的心脏修复。本研究的目的是开发一种安全的方法将再生因子递送到心脏,并在心肌梗死(MI)的大动物模型中测试骨膜蛋白肽治疗的功能和结构影响。

方法和结果

我们开发了一种控释系统,将重组骨膜蛋白肽递送到心包腔。在猪实验性 MI 后两天进行单次应用。动物随机分为盐水或骨膜蛋白肽组。在基线、第 2 天、1 个月和 3 个月比较实验组。骨膜蛋白肽治疗将 EF 从 31%提高到 41%,并在 12 周内将梗死面积减少 22%。骨膜蛋白肽治疗的动物在梗死瘢痕内形成了新的心肌带,导致局部心肌功能改善。此外,接受骨膜蛋白肽治疗的动物的毛细血管密度增加。然而,骨膜蛋白肽治疗在治疗后 1 周和 12 周时增加了远程区域的心肌纤维化。

结论

我们的研究表明,通过靶向肽进行心肌再生是可能的。然而,在骨膜蛋白的情况下,对心肌纤维化的影响可能限制其作为可行治疗策略的临床应用。

https://cdn.ncbi.nlm.nih.gov/pmc/blobs/cf50/3659021/e8afc07132aa/pone.0059656.g009.jpg
https://cdn.ncbi.nlm.nih.gov/pmc/blobs/cf50/3659021/66bf13c18638/pone.0059656.g001.jpg
https://cdn.ncbi.nlm.nih.gov/pmc/blobs/cf50/3659021/0b20485ed5fc/pone.0059656.g002.jpg
https://cdn.ncbi.nlm.nih.gov/pmc/blobs/cf50/3659021/01810e50e897/pone.0059656.g003.jpg
https://cdn.ncbi.nlm.nih.gov/pmc/blobs/cf50/3659021/9edd4bd732db/pone.0059656.g004.jpg
https://cdn.ncbi.nlm.nih.gov/pmc/blobs/cf50/3659021/48456f792453/pone.0059656.g005.jpg
https://cdn.ncbi.nlm.nih.gov/pmc/blobs/cf50/3659021/ddc2099ffad4/pone.0059656.g006.jpg
https://cdn.ncbi.nlm.nih.gov/pmc/blobs/cf50/3659021/4535b3c642f9/pone.0059656.g007.jpg
https://cdn.ncbi.nlm.nih.gov/pmc/blobs/cf50/3659021/e17e918b2e8b/pone.0059656.g008.jpg
https://cdn.ncbi.nlm.nih.gov/pmc/blobs/cf50/3659021/e8afc07132aa/pone.0059656.g009.jpg
https://cdn.ncbi.nlm.nih.gov/pmc/blobs/cf50/3659021/66bf13c18638/pone.0059656.g001.jpg
https://cdn.ncbi.nlm.nih.gov/pmc/blobs/cf50/3659021/0b20485ed5fc/pone.0059656.g002.jpg
https://cdn.ncbi.nlm.nih.gov/pmc/blobs/cf50/3659021/01810e50e897/pone.0059656.g003.jpg
https://cdn.ncbi.nlm.nih.gov/pmc/blobs/cf50/3659021/9edd4bd732db/pone.0059656.g004.jpg
https://cdn.ncbi.nlm.nih.gov/pmc/blobs/cf50/3659021/48456f792453/pone.0059656.g005.jpg
https://cdn.ncbi.nlm.nih.gov/pmc/blobs/cf50/3659021/ddc2099ffad4/pone.0059656.g006.jpg
https://cdn.ncbi.nlm.nih.gov/pmc/blobs/cf50/3659021/4535b3c642f9/pone.0059656.g007.jpg
https://cdn.ncbi.nlm.nih.gov/pmc/blobs/cf50/3659021/e17e918b2e8b/pone.0059656.g008.jpg
https://cdn.ncbi.nlm.nih.gov/pmc/blobs/cf50/3659021/e8afc07132aa/pone.0059656.g009.jpg

相似文献

1
Stimulating myocardial regeneration with periostin Peptide in large mammals improves function post-myocardial infarction but increases myocardial fibrosis.外骨膜蛋白肽刺激大型哺乳动物的心肌再生可改善心肌梗死后的功能,但会增加心肌纤维化。
PLoS One. 2013 May 20;8(5):e59656. doi: 10.1371/journal.pone.0059656. Print 2013.
2
Periostin induces proliferation of differentiated cardiomyocytes and promotes cardiac repair.骨膜蛋白可诱导分化的心肌细胞增殖并促进心脏修复。
Nat Med. 2007 Aug;13(8):962-9. doi: 10.1038/nm1619. Epub 2007 Jul 15.
3
Intrapericardial delivery of gelfoam enables the targeted delivery of Periostin peptide after myocardial infarction by inducing fibrin clot formation.在心包内给药明胶海绵可通过诱导纤维蛋白凝块形成,实现骨桥蛋白肽在心肌梗死后的靶向递送。
PLoS One. 2012;7(5):e36788. doi: 10.1371/journal.pone.0036788. Epub 2012 May 10.
4
Ablation of periostin inhibits post-infarction myocardial regeneration in neonatal mice mediated by the phosphatidylinositol 3 kinase/glycogen synthase kinase 3β/cyclin D1 signalling pathway.骨膜蛋白的缺失抑制了新生小鼠心肌梗死后由磷脂酰肌醇3激酶/糖原合酶激酶3β/细胞周期蛋白D1信号通路介导的心肌再生。
Cardiovasc Res. 2017 May 1;113(6):620-632. doi: 10.1093/cvr/cvx001.
5
Therapeutic effect of a novel Wnt pathway inhibitor on cardiac regeneration after myocardial infarction.一种新型Wnt信号通路抑制剂对心肌梗死后心脏再生的治疗作用
Clin Sci (Lond). 2017 Dec 8;131(24):2919-2932. doi: 10.1042/CS20171256. Print 2017 Dec 15.
6
The Effects of Periostin in a Rat Model of Isoproterenol: Mediated Cardiotoxicity.成纤维细胞生长因子 21 通过调节自噬减轻异丙肾上腺素诱导的大鼠心肌损伤
Cardiovasc Toxicol. 2018 Apr;18(2):142-160. doi: 10.1007/s12012-017-9426-y.
7
Local intramyocardial delivery of bioglass with alginate hydrogels for post-infarct myocardial regeneration.局部心肌内递送生物玻璃与藻酸盐水凝胶用于心肌梗死后再生。
Biomed Pharmacother. 2020 Sep;129:110382. doi: 10.1016/j.biopha.2020.110382. Epub 2020 Jun 23.
8
Sequential delivery of angiogenic growth factors improves revascularization and heart function after myocardial infarction.血管生成生长因子的序贯递送可改善心肌梗死后的血管再生和心脏功能。
J Control Release. 2015 Jun 10;207:7-17. doi: 10.1016/j.jconrel.2015.03.034. Epub 2015 Mar 31.
9
P2Y12 antagonists and cardiac repair post-myocardial infarction: global and regional heart function analysis and molecular assessments in pigs.P2Y12 拮抗剂与心肌梗死后的心脏修复:猪的整体和局部心脏功能分析及分子评估。
Cardiovasc Res. 2018 Dec 1;114(14):1860-1870. doi: 10.1093/cvr/cvy201.
10
Effect of mini-tyrosyl-tRNA synthetase/mini-tryptophanyl-tRNA synthetase on ischemic angiogenesis in rats: proliferation and migration of endothelial cells.小酪氨酸-tRNA合成酶/小色氨酸-tRNA合成酶对大鼠缺血性血管生成的影响:内皮细胞的增殖与迁移
Heart Vessels. 2011 Jan;26(1):69-80. doi: 10.1007/s00380-010-0032-1. Epub 2010 Oct 21.

引用本文的文献

1
The Current State of Extracellular Matrix Therapy for Ischemic Heart Disease.细胞外基质治疗缺血性心脏病的现状。
Med Sci (Basel). 2024 Jan 29;12(1):8. doi: 10.3390/medsci12010008.
2
Preclinical Models of Cardiac Disease: A Comprehensive Overview for Clinical Scientists.心脏疾病的临床前模型:临床科学家的综合概述。
Cardiovasc Eng Technol. 2024 Apr;15(2):232-249. doi: 10.1007/s13239-023-00707-w. Epub 2024 Jan 16.
3
The role of periostin in cardiac fibrosis.骨膜蛋白在心脏纤维化中的作用。

本文引用的文献

1
Tracking chromatid segregation to identify human cardiac stem cells that regenerate extensively the infarcted myocardium.追踪染色单体分离以鉴定可广泛再生梗死心肌的人心肌干细胞。
Circ Res. 2012 Sep 14;111(7):894-906. doi: 10.1161/CIRCRESAHA.112.273649. Epub 2012 Jul 31.
2
Intrapericardial delivery of gelfoam enables the targeted delivery of Periostin peptide after myocardial infarction by inducing fibrin clot formation.在心包内给药明胶海绵可通过诱导纤维蛋白凝块形成,实现骨桥蛋白肽在心肌梗死后的靶向递送。
PLoS One. 2012;7(5):e36788. doi: 10.1371/journal.pone.0036788. Epub 2012 May 10.
3
De novo cardiomyocytes from within the activated adult heart after injury.
Heart Fail Rev. 2024 Jan;29(1):191-206. doi: 10.1007/s10741-023-10361-y. Epub 2023 Oct 23.
4
The Effect and Mechanism of POSTN and Its Alternative Splicing on the Apoptosis of Myocardial Cells in Acute Myocardial Infarction: A Study in Vitro.POSTN 及其可变剪接对急性心肌梗死中心肌细胞凋亡的影响及机制:体外研究。
Cell Biochem Biophys. 2023 Sep;81(3):481-491. doi: 10.1007/s12013-023-01157-w. Epub 2023 Aug 12.
5
Are There Hopeful Therapeutic Strategies to Regenerate the Infarcted Hearts?是否存在有望使梗死心脏再生的治疗策略?
Korean Circ J. 2023 Jun;53(6):367-386. doi: 10.4070/kcj.2023.0098.
6
Extracellular Matrix-Based Approaches in Cardiac Regeneration: Challenges and Opportunities.基于细胞外基质的心脏再生方法:挑战与机遇。
Int J Mol Sci. 2022 Dec 13;23(24):15783. doi: 10.3390/ijms232415783.
7
Exploring the cardiac ECM during fibrosis: A new era with next-gen proteomics.纤维化过程中心脏细胞外基质的探索:新一代蛋白质组学开启的新时代。
Front Mol Biosci. 2022 Nov 22;9:1030226. doi: 10.3389/fmolb.2022.1030226. eCollection 2022.
8
Emerging roles of the RNA modifications N6-methyladenosine and adenosine-to-inosine in cardiovascular diseases.RNA修饰N6-甲基腺苷和腺苷到肌苷在心血管疾病中的新作用。
Mol Ther Nucleic Acids. 2022 Jul 20;29:426-461. doi: 10.1016/j.omtn.2022.07.018. eCollection 2022 Sep 13.
9
The Role of Matrix Proteins in Cardiac Pathology.基质蛋白在心脏病理学中的作用。
Int J Mol Sci. 2022 Jan 25;23(3):1338. doi: 10.3390/ijms23031338.
10
Possible Treatment of Myocardial Infarct Based on Tissue Engineering Using a Cellularized Solid Collagen Scaffold Functionalized with Arg-Glyc-Asp (RGD) Peptide.基于 Arg-Glyc-Asp(RGD)肽功能化细胞化固体胶原支架的心肌梗死的可能治疗方法。
Int J Mol Sci. 2021 Nov 22;22(22):12563. doi: 10.3390/ijms222212563.
损伤后激活的成年心脏内的内源性心肌细胞。
Nature. 2011 Jun 8;474(7353):640-4. doi: 10.1038/nature10188.
4
Human cardiac stem cell differentiation is regulated by a mircrine mechanism.人类心脏干细胞的分化受微小RNA 调控。
Circulation. 2011 Mar 29;123(12):1287-96. doi: 10.1161/CIRCULATIONAHA.110.982918. Epub 2011 Mar 14.
5
Myocardial fibrosis as an early manifestation of hypertrophic cardiomyopathy.心肌纤维化作为肥厚型心肌病的早期表现。
N Engl J Med. 2010 Aug 5;363(6):552-63. doi: 10.1056/NEJMoa1002659.
6
Cardiac fibrosis in mice with hypertrophic cardiomyopathy is mediated by non-myocyte proliferation and requires Tgf-β.肥厚型心肌病小鼠的心脏纤维化是由非心肌细胞增殖介导的,需要 TGF-β。
J Clin Invest. 2010 Oct;120(10):3520-9. doi: 10.1172/JCI42028. Epub 2010 Sep 1.
7
Patient characteristics and cell source determine the number of isolated human cardiac progenitor cells.患者特征和细胞来源决定了分离的人心脏祖细胞的数量。
Circulation. 2009 Dec 22;120(25):2559-66. doi: 10.1161/CIRCULATIONAHA.109.849588. Epub 2009 Dec 7.
8
A randomized, double-blind, placebo-controlled, dose-escalation study of intravenous adult human mesenchymal stem cells (prochymal) after acute myocardial infarction.一项随机、双盲、安慰剂对照、剂量递增的急性心肌梗死后静脉内输注成人异体间充质干细胞(Prochymal)的研究。
J Am Coll Cardiol. 2009 Dec 8;54(24):2277-86. doi: 10.1016/j.jacc.2009.06.055.
9
Intracoronary infusion of bone marrow-derived mononuclear cells abrogates adverse left ventricular remodelling post-acute myocardial infarction: insights from the reinfusion of enriched progenitor cells and infarct remodelling in acute myocardial infarction (REPAIR-AMI) trial.冠状动脉内输注骨髓源性单核细胞可消除急性心肌梗死后的不良左心室重构:来自富含祖细胞再注入和急性心肌梗死后梗死重构(REPAIR-AMI)试验的见解。
Eur J Heart Fail. 2009 Oct;11(10):973-9. doi: 10.1093/eurjhf/hfp113.
10
Neuregulin1/ErbB4 signaling induces cardiomyocyte proliferation and repair of heart injury.神经调节蛋白1/表皮生长因子受体4信号通路可诱导心肌细胞增殖并修复心脏损伤。
Cell. 2009 Jul 23;138(2):257-70. doi: 10.1016/j.cell.2009.04.060.