Suppr超能文献

LHX2 通过转录调控 PAX6 和 CER1 调节人胚胎干细胞的神经分化。

LHX2 regulates the neural differentiation of human embryonic stem cells via transcriptional modulation of PAX6 and CER1.

机构信息

Department of Anatomy and Cell Biology, College of Medicine, National Taiwan University, Taipei 100, Taiwan, Genomics Research Center, Academia Sinica, Taipei 115, Taiwan, Institute of Cellular and Organismic Biology, Academia Sinica, Taipei 115, Taiwan, Division of Reproductive Endocrinology and Infertility, Department of Obstetrics and Gynecology, National Taiwan University Hospital, Taipei 100, Taiwan and Graduate Institute of Clinical Genomics, College of Medicine, National Taiwan University, Taipei 100, Taiwan.

出版信息

Nucleic Acids Res. 2013 Sep;41(16):7753-70. doi: 10.1093/nar/gkt567. Epub 2013 Jun 26.

Abstract

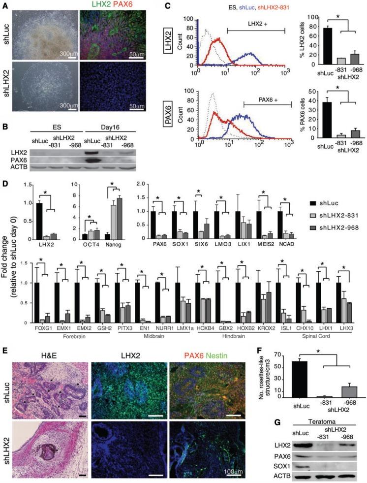
The LIM homeobox 2 transcription factor Lhx2 is known to control crucial aspects of neural development in various species. However, its function in human neural development is still elusive. Here, we demonstrate that LHX2 plays a critical role in human neural differentiation, using human embryonic stem cells (hESCs) as a model. In hESC-derived neural progenitors (hESC-NPs), LHX2 was found to be expressed before PAX6, and co-expressed with early neural markers. Conditional ectopic expression of LHX2 promoted neural differentiation, whereas disruption of LHX2 expression in hESCs significantly impaired neural differentiation. Furthermore, we have demonstrated that LHX2 regulates neural differentiation at two levels: first, it promotes expression of PAX6 by binding to its active enhancers, and second, it attenuates BMP and WNT signaling by promoting expression of the BMP and WNT antagonist Cerberus 1 gene (CER1), to inhibit non-neural differentiation. These findings indicate that LHX2 regulates the transcription of downstream intrinsic and extrinsic molecules that are essential for early neural differentiation in human.

摘要

LIM 同源盒 2 转录因子 Lhx2 已知在多种物种中控制神经发育的关键方面。然而,其在人类神经发育中的作用仍不清楚。在这里,我们使用人类胚胎干细胞 (hESC) 作为模型,证明 LHX2 在人类神经分化中发挥关键作用。在 hESC 衍生的神经祖细胞 (hESC-NPs) 中,发现 Lhx2 在 PAX6 之前表达,并与早期神经标记物共表达。条件异位表达 LHX2 促进神经分化,而 hESC 中 LHX2 表达的破坏则显著损害神经分化。此外,我们已经证明 LHX2 通过结合其活性增强子来调节神经分化的两个水平:首先,它通过促进 PAX6 的表达来促进神经分化,其次,它通过促进 BMP 和 WNT 拮抗剂 Cerberus 1 基因 (CER1) 的表达来减弱 BMP 和 WNT 信号,以抑制非神经分化。这些发现表明,LHX2 调节下游内在和外在分子的转录,这些分子对于人类早期神经分化至关重要。

https://cdn.ncbi.nlm.nih.gov/pmc/blobs/9ea6/3763550/cbc3a12ad65b/gkt567f1p.jpg

文献检索

告别复杂PubMed语法,用中文像聊天一样搜索,搜遍4000万医学文献。AI智能推荐,让科研检索更轻松。

立即免费搜索

文件翻译

保留排版,准确专业,支持PDF/Word/PPT等文件格式,支持 12+语言互译。

免费翻译文档

深度研究

AI帮你快速写综述,25分钟生成高质量综述,智能提取关键信息,辅助科研写作。

立即免费体验