Khan S, Jena G B
Department of Pharmacology and Toxicology, Facility for Risk Assessment and Intervention Studies, National Institute of Pharmaceutical Education and Research, S.A.S. Nagar, Punjab, India.
Toxicol Int. 2013 Jan;20(1):68-76. doi: 10.4103/0971-6580.111562.
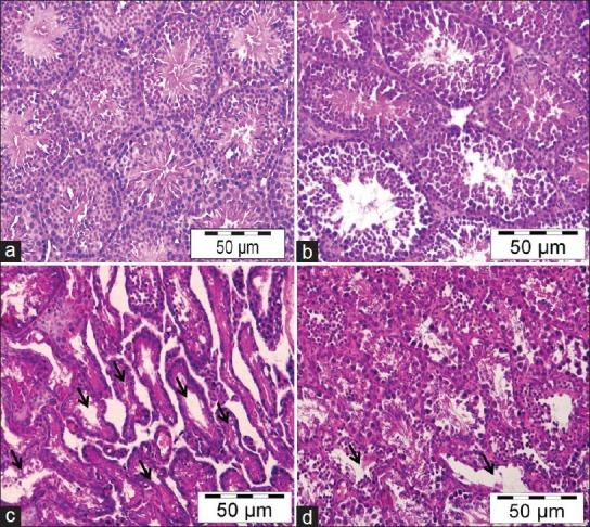
Recently, sodium valproate (VPA) has been proven as histone deacetylase (HDAC) inhibitor and potentiates the cytotoxicity of anticancer drugs, and also exhibit promising anti-cancer activity. Present study aimed to investigate the influence of pre- and post-treatment of VPA on cyclophosphamide (CP) induced genotoxicity and germ cell toxicity in mice. All the animals were treated with VPA at the dose of 500 mg/kg/day on alternate day thrice/week for a period of two weeks, CP at the dose of 200 mg/kg on 7(th) and 15(th) day and sacrificed 24 h after administration (i.p.) of the last dose. End point of evaluation includes sperm count, sperm head morphology, sperm comet assay and histology. VPA treatment significantly decreases CP induced sperm count, testes and epididymis weight; increased sperm head abnormality and sperm DNA damage. Both VPA pre- and post-treatment augmented CP induced DNA damage and the germ cell toxicity; however, pre-treatment induced more cytotoxicity and genotoxicity as compared to post-treatment.