Suppr超能文献

生长停止后进行骨重塑以纠正上颌骨发育不足。

Bone remodeling to correct maxillary deficiency after growth cessation.

作者信息

Showkatbakhsh Rahman, Ghassemi Alireza, Gerressen Marcus, Ghassemi Mehrangiz, Jamilian Abdolreza, Mohammad Shadab, Pal Uma S

机构信息

Department of Orthodontics, Shahid Beheshti University of Medical Sciences, Tehran, Iran.

出版信息

Natl J Maxillofac Surg. 2012 Jul;3(2):202-6. doi: 10.4103/0975-5950.111382.

Abstract

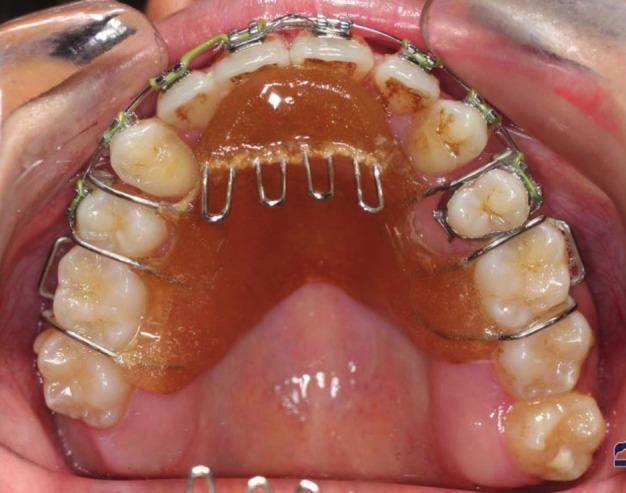
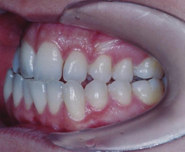
This case report presents a 22-year-old girl with class III malocclusion due to maxillary deficiency. The patient was referred for presurgical orthodontics; however, she rejected the surgery. This case was treated by means of Tongue appliance and slow palatal expansion, followed by lower fixed appliance, reverse chin cup, and upper fixed appliance. Tongue appliance and slow palatal expansion were used at the beginning of the treatment. After 6 months, reverse chin cup and lower fixed appliance were added. Six months later reverse chin cup was removed and upper fixed appliance was mounted. Positive overbite and over jet were achieved after 24 months of active treatment. Nasolabial angle also showed improvement. Nonsurgical treatment of adult class III patients is a difficult procedure; however, this patient was treated nonsurgically.

摘要

本病例报告介绍了一名22岁因上颌骨发育不足导致III类错牙合畸形的女孩。该患者被转诊接受术前正畸治疗;然而,她拒绝了手术。本病例采用舌弓矫治器和慢速腭扩展进行治疗,随后使用下颌固定矫治器、反向颏兜和上颌固定矫治器。治疗开始时使用舌弓矫治器和慢速腭扩展。6个月后,增加了反向颏兜和下颌固定矫治器。6个月后,移除反向颏兜并安装上颌固定矫治器。经过24个月的积极治疗,实现了覆牙合和覆盖正常。鼻唇角也有所改善。成年III类患者的非手术治疗是一个困难的过程;然而,该患者接受了非手术治疗。

https://cdn.ncbi.nlm.nih.gov/pmc/blobs/dd07/3700158/875714c6d010/NJMS-3-202-g001.jpg

相似文献

1
Bone remodeling to correct maxillary deficiency after growth cessation.
Natl J Maxillofac Surg. 2012 Jul;3(2):202-6. doi: 10.4103/0975-5950.111382.
4
Orthodontic treatment for a mandibular prognathic girl of short stature under growth hormone therapy.
J Formos Med Assoc. 2013 Dec;112(12):801-6. doi: 10.1016/j.jfma.2012.07.021. Epub 2012 Sep 5.
5
Nonsurgical orthodontic treatment of an adolescent girl with Class III malocclusion and asymmetric maxillary narrowing.
Am J Orthod Dentofacial Orthop. 2008 Aug;134(2):309-17. doi: 10.1016/j.ajodo.2006.09.054.
7
A novel approach in treatment of open bite: a case report.
Int J Orthod Milwaukee. 2013 Spring;24(1):29-32.
9
Early treatment of class III malocclusion with Petit facemask therapy.
Int J Orthod Milwaukee. 2011 Winter;22(4):41-5.
10
Correction of a skeletal Class II malocclusion with severe crowding by a specially designed rapid maxillary expander.
Am J Orthod Dentofacial Orthop. 2015 Feb;147(2):242-51. doi: 10.1016/j.ajodo.2013.12.032.

本文引用的文献

1
The effects of face mask and tongue appliance on maxillary deficiency in growing patients: a randomized clinical trial.
Prog Orthod. 2012 Nov;13(3):266-72. doi: 10.1016/j.pio.2011.12.004. Epub 2012 Apr 9.
2
Treatment of maxillary deficiency by miniplates: a case report.
ISRN Surg. 2011;2011:854924. doi: 10.5402/2011/854924. Epub 2011 May 10.
4
Success rate of miniplate anchorage for bone anchored maxillary protraction.
Angle Orthod. 2011 Nov;81(6):1010-3. doi: 10.2319/012311-47.1. Epub 2011 Jun 30.
5
Treatment of a Class III patient: a case report.
Aust Orthod J. 2011 May;27(1):69-73.
7
Morphometric analysis of treatment effects of bone-anchored maxillary protraction in growing Class III patients.
Eur J Orthod. 2011 Apr;33(2):121-5. doi: 10.1093/ejo/cjq170. Epub 2010 Dec 27.
9
Treatment of maxillary deficiency by miniscrew implants--a case report.
J Orthod. 2010 Mar;37(1):56-61. doi: 10.1179/14653121042876.
10
The profile enhancer (reverse-pull headgear).
Int J Orthod Milwaukee. 2009 Fall;20(3):21-5.

文献AI研究员

20分钟写一篇综述,助力文献阅读效率提升50倍。

立即体验

用中文搜PubMed

大模型驱动的PubMed中文搜索引擎

马上搜索

文档翻译

学术文献翻译模型,支持多种主流文档格式。

立即体验