Suppr超能文献

先天性胸骨裂合并永存左侧上腔静脉:一种罕见的表现。

Congenital Sternal Cleft along with Persistent Left-Sided Superior Vena Cava: A Rare Presentation.

作者信息

Saha Anindya Kumar, Sardar Syamal Kumar, Sur Amitava

机构信息

RMO Cum Clinical Tutor, Department of Neonatology, IPGME&R-SSKM Hospital, A. J. C. Bose Road, Kolkata 700020, India.

出版信息

Case Rep Pediatr. 2013;2013:192478. doi: 10.1155/2013/192478. Epub 2013 Jun 13.

Abstract

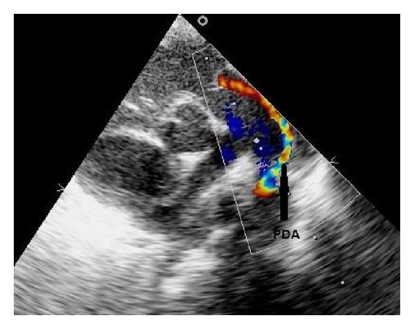
Congenital sternal cleft is a rare abnormality resulting from fusion failure of sternum. It occurs in isolation or along with defects of abdominal wall, diaphragm, pericardium, and heart. Early surgical correction is required to protect the underlying structures for risk of cardiac compression. Here we report a case of 20-day female child presenting with congenital sternal cleft associated with multiple congenital heart disease and left-sided superior vena cava. She was operated by the cardiothoracic surgical team successfully and is doing well on followup. We discuss this rare case, imaging studies, and surgical strategy.

摘要

先天性胸骨裂是一种由于胸骨融合失败导致的罕见畸形。它可单独发生,也可伴有腹壁、膈肌、心包和心脏的缺陷。需要早期手术矫正以保护潜在结构,防止心脏受压风险。在此,我们报告一例20天大的女婴,患有先天性胸骨裂并伴有多种先天性心脏病和左侧上腔静脉。她由心胸外科团队成功进行了手术,随访情况良好。我们讨论了这个罕见病例、影像学检查和手术策略。

https://cdn.ncbi.nlm.nih.gov/pmc/blobs/ac4d/3697142/7b687ad80abb/CRIM.PEDIATRICS2013-192478.001.jpg

文献AI研究员

20分钟写一篇综述,助力文献阅读效率提升50倍。

立即体验

用中文搜PubMed

大模型驱动的PubMed中文搜索引擎

马上搜索

文档翻译

学术文献翻译模型,支持多种主流文档格式。

立即体验