Suppr超能文献

起源于肺内淋巴结的单中心Castleman病

Unicentric Castleman's Disease Arising from an Intrapulmonary Lymph Node.

作者信息

Ota Hideki, Kawai Hideki, Matsuo Tsubasa

机构信息

Department of Thoracic Surgery, Akita Red Cross Hospital, Akita 010-1495, Japan.

出版信息

Case Rep Surg. 2013;2013:289089. doi: 10.1155/2013/289089. Epub 2013 Jun 10.

Abstract

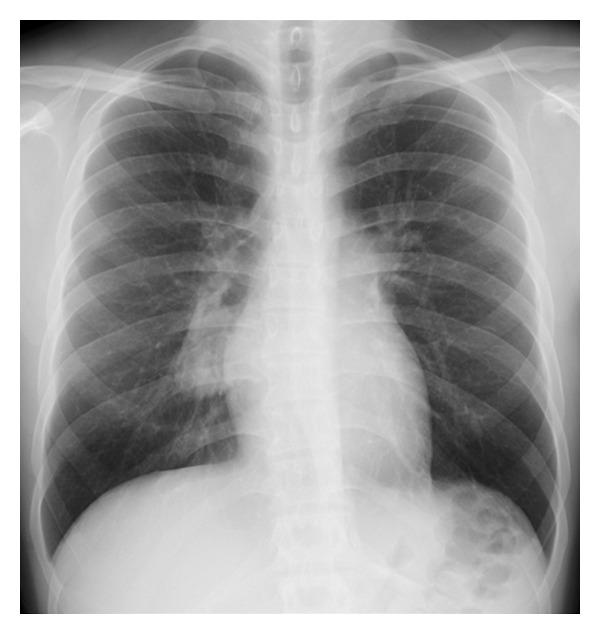
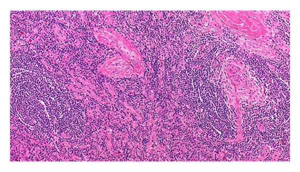
Castleman's disease is an uncommon lymphoproliferative disorder of unknown etiology, most often involving the mediastinum. It has 2 distinct clinical forms: unicentric and multicentric. Unicentric Castleman's disease arising from an intrapulmonary lymph node is rare, and establishing a preoperative diagnosis of this disease is very difficult mainly due to a lack of specific imaging features. We report a case of intrapulmonary unicentric Castleman's disease in an asymptomatic 19-year-old male patient who was accurately diagnosed by preoperative computed tomography (CT). The mass was incidentally found on a routine chest X-ray. A subsequent dynamic CT showed a well-defined, hypervascular, soft-tissue mass with small calcifications located in the perihilar area of the right lower lung. Three-dimensional CT (3D-CT) angiography indicated that the mass was receiving its blood supply through a vascular network at its surface that originated from 2 right bronchial arteries. The clinical history and CT findings were consistent with a diagnosis of unicentric Castleman's disease, and we safely and successfully removed the tumor via video-assisted thoracoscopic surgical lobectomy. This case shows that the imaging characteristics of these rare tumors on contrast-enhanced CT combined with 3D-CT angiography can be helpful in reliably establishing a correct preoperative diagnosis.

摘要

Castleman病是一种病因不明的罕见淋巴增生性疾病,最常累及纵隔。它有两种不同的临床形式:单中心型和多中心型。起源于肺内淋巴结的单中心型Castleman病很罕见,主要由于缺乏特异性影像学特征,术前诊断这种疾病非常困难。我们报告一例19岁无症状男性患者的肺内单中心型Castleman病,其通过术前计算机断层扫描(CT)被准确诊断。该肿块是在常规胸部X线检查时偶然发现的。随后的动态CT显示在右下肺门周围区域有一个边界清晰、血供丰富、有小钙化的软组织肿块。三维CT(3D-CT)血管造影显示该肿块通过其表面起源于2支右支气管动脉的血管网络获得血供。临床病史和CT表现与单中心型Castleman病的诊断相符,我们通过电视辅助胸腔镜手术肺叶切除术安全且成功地切除了肿瘤。该病例表明,这些罕见肿瘤在增强CT结合3D-CT血管造影上的影像学特征有助于可靠地建立正确的术前诊断。

https://cdn.ncbi.nlm.nih.gov/pmc/blobs/d831/3691905/32b136e96432/CRIM.SURGERY2013-289089.001.jpg

文献AI研究员

20分钟写一篇综述,助力文献阅读效率提升50倍。

立即体验

用中文搜PubMed

大模型驱动的PubMed中文搜索引擎

马上搜索

文档翻译

学术文献翻译模型,支持多种主流文档格式。

立即体验