• 文献检索
  • 文档翻译
  • 深度研究
  • 学术资讯
  • Suppr Zotero 插件Zotero 插件
  • 邀请有礼
  • 套餐&价格
  • 历史记录
应用&插件
Suppr Zotero 插件Zotero 插件浏览器插件Mac 客户端Windows 客户端微信小程序
定价
高级版会员购买积分包购买API积分包
服务
文献检索文档翻译深度研究API 文档MCP 服务
关于我们
关于 Suppr公司介绍联系我们用户协议隐私条款
关注我们

Suppr 超能文献

核心技术专利:CN118964589B侵权必究
粤ICP备2023148730 号-1Suppr @ 2026

文献检索

告别复杂PubMed语法,用中文像聊天一样搜索,搜遍4000万医学文献。AI智能推荐,让科研检索更轻松。

立即免费搜索

文件翻译

保留排版,准确专业,支持PDF/Word/PPT等文件格式,支持 12+语言互译。

免费翻译文档

深度研究

AI帮你快速写综述,25分钟生成高质量综述,智能提取关键信息,辅助科研写作。

立即免费体验

罕见的单中心肺内Castleman病:一项系统综述及病例报告

Rare Unicentric Intrapulmonary Castleman Disease: A Systematic Review and Report of a Case.

作者信息

Pannu Manjinder Kaur, Ehrsam Jonas Peter, Adamenko Olga Meier, Inci Ilhan, Schöb Othmar Markus

机构信息

Medical School, University of Nicosia, Nicosia, Cyprus.

School of Medicine, University of Zurich, Zurich, Switzerland.

出版信息

Open Respir Med J. 2025 Feb 18;19:e18743064348696. doi: 10.2174/0118743064348696250107092627. eCollection 2025.

DOI:10.2174/0118743064348696250107092627
PMID:40322498
原文链接:https://pmc.ncbi.nlm.nih.gov/articles/PMC12046237/
Abstract

OBJECTIVES

Castleman disease (CD) is a very rare B-cell lymphoproliferative disorder marked by the abnormal enlargement of lymph node tissue. It can present as either unicentric (UCD) or multicentric, with the former often appearing in intrathoracic regions, although its presence within the lungs is uncommon.

METHODS

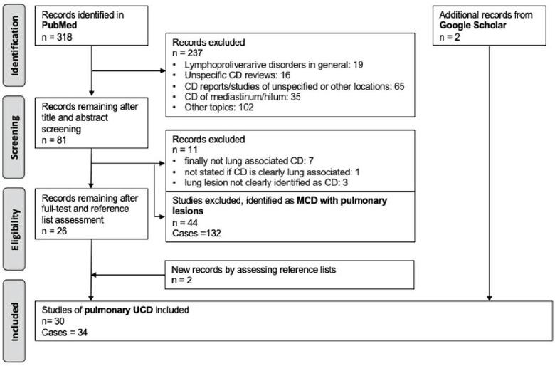
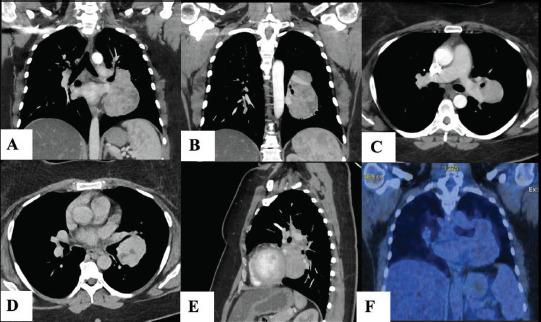
We report the case of a 42-year-old woman who underwent resection of an 11 cm intrapulmonary UCD. Additionally, we conducted a systematic review of the demographics, clinical presentation, diagnosis, and treatment approaches for intrapulmonary UCD.

RESULTS

Our review identified 35 documented cases of intrapulmonary UCD, including our case. The average age was 34 years, with a female predominance of 57.7%. Tumor sizes ranged from 1.5 to 11 cm, with our case being the largest. Of the 24 cases with reported anamnesis, 58.3% were asymptomatic, while 41.7% had nonspecific symptoms such as cough, chest pain, or fever (as in our case). Histological analysis was available for 24 cases, with 83.3% identified as the hyaline vascular type. Biopsies through small needle aspiration or fresh-frozen samples failed in all attempts, requiring resection for diagnosis and treatment. Due to high vascularity, delicate location, and lack of diagnosis, lobectomy or pneumonectomy was performed in 45.7% of cases. Among the 11 cases with reported follow-up, no disease recurrence was observed over an average of 3 years.

CONCLUSION

Our systematic review highlights the rarity of UCD in the lungs. The demographics of intrapulmonary UCD align with the general disease profile. Surgical removal is crucial for both diagnosis and treatment. The significant vascularity and pulmonary location of these tumors present challenges, requiring pre-operative awareness and precautions.

摘要

目的

卡斯特曼病(CD)是一种非常罕见的B细胞淋巴增殖性疾病,其特征为淋巴结组织异常肿大。它可表现为单中心型(UCD)或多中心型,前者常出现在胸腔内区域,尽管其在肺部出现并不常见。

方法

我们报告了一例42岁女性接受11厘米肺内UCD切除术的病例。此外,我们对肺内UCD的人口统计学、临床表现、诊断和治疗方法进行了系统综述。

结果

我们的综述确定了35例有记录的肺内UCD病例,包括我们的病例。平均年龄为34岁,女性占比57.7%。肿瘤大小从1.5厘米到11厘米不等,我们的病例是最大的。在24例有报告病史的病例中,58.3%无症状,而41.7%有非特异性症状,如咳嗽、胸痛或发热(如我们的病例)。24例可进行组织学分析,其中83.3%被鉴定为透明血管型。所有尝试通过小针穿刺活检或新鲜冷冻样本活检均失败,需要进行切除以进行诊断和治疗。由于血管丰富、位置精细且缺乏诊断,45.7%的病例进行了肺叶切除术或全肺切除术。在11例有随访报告的病例中,平均3年未观察到疾病复发。

结论

我们的系统综述强调了UCD在肺部的罕见性。肺内UCD的人口统计学与该疾病的总体特征相符。手术切除对诊断和治疗都至关重要。这些肿瘤显著的血管丰富性和肺部位置带来了挑战,需要术前的认识和预防措施。

https://cdn.ncbi.nlm.nih.gov/pmc/blobs/1045/12046237/ff3ca042f8ad/TORMJ-19-E18743064348696_F4.jpg
https://cdn.ncbi.nlm.nih.gov/pmc/blobs/1045/12046237/3e6d571fae1d/TORMJ-19-E18743064348696_F1.jpg
https://cdn.ncbi.nlm.nih.gov/pmc/blobs/1045/12046237/b253504f4052/TORMJ-19-E18743064348696_F2.jpg
https://cdn.ncbi.nlm.nih.gov/pmc/blobs/1045/12046237/191eeb1a912a/TORMJ-19-E18743064348696_F3.jpg
https://cdn.ncbi.nlm.nih.gov/pmc/blobs/1045/12046237/ff3ca042f8ad/TORMJ-19-E18743064348696_F4.jpg
https://cdn.ncbi.nlm.nih.gov/pmc/blobs/1045/12046237/3e6d571fae1d/TORMJ-19-E18743064348696_F1.jpg
https://cdn.ncbi.nlm.nih.gov/pmc/blobs/1045/12046237/b253504f4052/TORMJ-19-E18743064348696_F2.jpg
https://cdn.ncbi.nlm.nih.gov/pmc/blobs/1045/12046237/191eeb1a912a/TORMJ-19-E18743064348696_F3.jpg
https://cdn.ncbi.nlm.nih.gov/pmc/blobs/1045/12046237/ff3ca042f8ad/TORMJ-19-E18743064348696_F4.jpg

相似文献

1
Rare Unicentric Intrapulmonary Castleman Disease: A Systematic Review and Report of a Case.罕见的单中心肺内Castleman病:一项系统综述及病例报告
Open Respir Med J. 2025 Feb 18;19:e18743064348696. doi: 10.2174/0118743064348696250107092627. eCollection 2025.
2
Unicentric Castleman disease: A case report of an atypical presentation and successful management.单中心Castleman病:非典型表现及成功治疗的病例报告
Int J Surg Case Rep. 2024 May;118:109688. doi: 10.1016/j.ijscr.2024.109688. Epub 2024 Apr 24.
3
Intrapulmonary unicentric Castleman disease mimicking peripheral pulmonary malignancy.肺内单中心 Castleman 病酷似周围型肺恶性肿瘤。
Thorac Cancer. 2014 Nov;5(6):576-80. doi: 10.1111/1759-7714.12129. Epub 2014 Oct 23.
4
Castleman disease: A single-center case series.卡斯特曼病:一项单中心病例系列研究。
Int J Surg Case Rep. 2021 Mar;80:105650. doi: 10.1016/j.ijscr.2021.105650. Epub 2021 Feb 14.
5
Complete resection of unicentric Castleman disease in the superior mediastinum: A case report.完全切除上纵隔单中心Castleman病:一例报告
Int J Surg Case Rep. 2016;25:44-7. doi: 10.1016/j.ijscr.2016.05.053. Epub 2016 Jun 3.
6
[Left pneumonectomy for intrapulmonary unicentric Castleman disease].[左肺切除术治疗肺内单中心Castleman病]
Orv Hetil. 2023 Sep 17;164(37):1476-1483. doi: 10.1556/650.2023.32860.
7
Castleman disease mimicking accessory spleen on imaging: A case report.影像学表现酷似副脾的Castleman病:一例报告
Radiol Case Rep. 2024 Nov 11;20(1):651-656. doi: 10.1016/j.radcr.2024.09.143. eCollection 2025 Jan.
8
Clinical features and treatment outcomes of Castleman disease in children: a retrospective cohort in China.儿童 Castleman 病的临床特征和治疗结局:中国的一项回顾性队列研究。
Eur J Pediatr. 2023 Dec;182(12):5519-5530. doi: 10.1007/s00431-023-05235-2. Epub 2023 Oct 2.
9
Hyaline Vascular Type of Unicentric Castleman Disease in a Kidney with End-Stage Renal Disease: A Case Report of a Rare Entity at an Unusual Location and a Special Clinical Setting.终末期肾病肾脏中的透明血管型单中心Castleman病:罕见部位及特殊临床背景下的罕见病例报告
Diagnostics (Basel). 2022 Nov 21;12(11):2878. doi: 10.3390/diagnostics12112878.
10
Pelvic unicentric Castleman's disease mimicking accessory spleen: A rare presentation of Castleman's disease, a case report and literature report.酷似副脾的盆腔单中心Castleman病:Castleman病的一种罕见表现、病例报告及文献报道
Int J Surg Case Rep. 2025 Apr;129:111177. doi: 10.1016/j.ijscr.2025.111177. Epub 2025 Mar 17.

本文引用的文献

1
Evolution of Pulmonary Involvement in Idiopathic Multicentric Castleman Disease-Not Otherwise Specified: From Nodules to Cysts or Consolidation.特发性多中心 Castleman 病-未特指肺部受累的演变:从结节到囊肿或实变。
Chest. 2023 Aug;164(2):418-428. doi: 10.1016/j.chest.2023.03.022. Epub 2023 Mar 22.
2
Excellent Outcomes with Surgery or Radiotherapy in the Management of Castleman Disease Including a Case of Oligocentric Disease.手术或放疗治疗血管滤泡性淋巴结增生症的良好疗效(包括一例寡中心型疾病)。
Clin Lymphoma Myeloma Leuk. 2020 Oct;20(10):685-689. doi: 10.1016/j.clml.2020.05.002. Epub 2020 May 11.
3
[Clinical analysis of 30 cases of Castleman disease with different types of thoracic involvement].
30例不同类型胸部受累Castleman病的临床分析
Zhonghua Xue Ye Xue Za Zhi. 2020 Feb 14;41(2):149-156. doi: 10.3760/cma.j.issn.0253-2727.2020.02.012.
4
Clinicopathological comparison and therapeutic approach to Castleman disease-a case-based review.Castleman病的临床病理比较与治疗方法——基于病例的综述
J Thorac Dis. 2019 Nov;11(11):4859-4874. doi: 10.21037/jtd.2019.10.73.
5
Resection of unicentric interlobar Castleman disease with following adjuvant radiotherapy.采用辅助放疗对单中心叶间型Castleman病进行切除。
SAGE Open Med Case Rep. 2017 Nov 30;5:2050313X17744481. doi: 10.1177/2050313X17744481. eCollection 2017.
6
Unicentric Castleman Disease.单中心Castleman病
Hematol Oncol Clin North Am. 2018 Feb;32(1):65-73. doi: 10.1016/j.hoc.2017.09.006.
7
Intrapulmonary unicentric Castleman disease mimicking peripheral pulmonary malignancy.肺内单中心 Castleman 病酷似周围型肺恶性肿瘤。
Thorac Cancer. 2014 Nov;5(6):576-80. doi: 10.1111/1759-7714.12129. Epub 2014 Oct 23.
8
Castleman's disease presenting in the lungs: A report of two cases.肺部表现的Castleman病:两例报告。
Oncol Lett. 2015 Aug;10(2):1041-1043. doi: 10.3892/ol.2015.3354. Epub 2015 Jun 10.
9
Intrapulmonary Castleman's Disease Pretending to Be a Lung Cancer-Work Up of an Intrapulmonary Tumour.伪装成肺癌的肺内Castleman病——肺内肿瘤的检查
Ann Thorac Cardiovasc Surg. 2016 Aug 23;22(4):258-60. doi: 10.5761/atcs.cr.15-00216. Epub 2015 Nov 19.
10
Unicentric Castleman's disease presenting as a pulmonary mass: a diagnostic dilemma.表现为肺部肿块的单中心Castleman病:诊断难题。
Am J Case Rep. 2015 Apr 30;16:259-61. doi: 10.12659/AJCR.893380.