Suppr超能文献

直肠神经内分泌小细胞癌肝转移:一种独特的治疗策略、病例报告及文献复习。

Neuroendocrine small cell rectal cancer metastasizing to the liver: a unique treatment strategy, case report, and review of the literature.

机构信息

Department of Surgery, College of Medicine and Medical Sciences, Taif University, P.O. Box 888, Taif 21947, Kingdom of Saudi Arabia.

出版信息

World J Surg Oncol. 2013 Jul 11;11:153. doi: 10.1186/1477-7819-11-153.

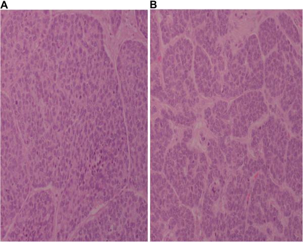
Abstract

We describe the treatment of a 46-year-old Saudi man with advanced stage liver metastatic neuroendocrine rectal cancer. The patient presented with a large liver lesion and rectal bleeding. He was cachectic, with a firm tender mass 20 mm above the anal verge. Computed tomography (CT) showed a mass 9.5 × 13 cm in size in the right hemi-liver, abutting the middle hepatic vein. The patient refused treatment, and consulted another hospital. After 3 months, he presented with the same symptoms in addition to delirium. Colonoscopy showed an ulcerating anorectal mass, from which a biopsy was taken. Repeat CT showed an increase in the size of the liver lesion to 17 cm and no change in the pelvis. The final histopathology report identified anaplastic small cell carcinoma. The patient underwent extended right liver resection followed by abdominoperineal resection, then 13 cycles of chemotherapy and monthly somatostatin injections. At the most recent follow-up, the patient had been disease-free for 48 months. Surgical resection (R0) of the primary and secondary tumor, followed by platinum-based chemotherapy can result in good survival in cases of small cell carcinoma with large liver metastasis, irrespective of whether the primary or secondary tumor is resected first.

摘要

我们描述了一位 46 岁沙特男性晚期肝转移性神经内分泌直肠腺癌的治疗情况。该患者出现了大的肝病灶和直肠出血。他出现恶病质,肛门上方 20 毫米处有一个坚硬压痛的肿块。计算机断层扫描(CT)显示右半肝有一个 9.5×13 厘米大小的肿块,紧贴着中肝静脉。该患者拒绝治疗,并咨询了另一家医院。3 个月后,他出现了相同的症状,并伴有意识模糊。结肠镜检查显示直肠肛门有一处溃疡性肿块,从该处取活检。重复 CT 显示肝病变大小增加到 17 厘米,骨盆无变化。最终的组织病理学报告确定为间变性小细胞癌。该患者接受了扩大的右肝切除术,随后进行了经腹会阴切除术,然后进行了 13 个周期的化疗和每月的生长抑素注射。在最近的一次随访中,该患者疾病无进展已达 48 个月。对于大肝转移的小细胞癌,无论先切除原发性还是继发性肿瘤,手术切除(R0)原发性和继发性肿瘤,然后进行铂类为基础的化疗都可以获得良好的生存。

https://cdn.ncbi.nlm.nih.gov/pmc/blobs/013d/3717129/0863d8bc3b3e/1477-7819-11-153-1.jpg

文献检索

告别复杂PubMed语法,用中文像聊天一样搜索,搜遍4000万医学文献。AI智能推荐,让科研检索更轻松。

立即免费搜索

文件翻译

保留排版,准确专业,支持PDF/Word/PPT等文件格式,支持 12+语言互译。

免费翻译文档

深度研究

AI帮你快速写综述,25分钟生成高质量综述,智能提取关键信息,辅助科研写作。

立即免费体验