Suppr超能文献

锂诱导半乳糖培养的 Jurkat 细胞内质网应激和 N-聚糖修饰。

Lithium induces ER stress and N-glycan modification in galactose-grown Jurkat cells.

机构信息

Department of Laboratory Medicine, University of Pécs, Pécs, Hungary.

出版信息

PLoS One. 2013 Jul 22;8(7):e70410. doi: 10.1371/journal.pone.0070410. Print 2013.

Abstract

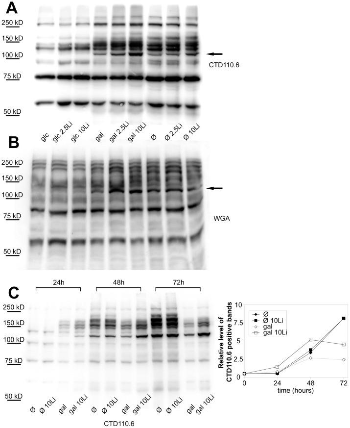
We previously reported that lithium had a significant impact on Ca(2+) regulation and induced unfolded protein response (UPR) in yeast cells grown on galactose due to inhibition of phosphoglucomutase (PGM), however the exact mechanism has not been established yet. In this study, we analysed lithium's effect in galactose-fed cells to clarify whether these ER-related changes are the result of a relative hypoglycemic state. Furthermore, we investigated whether the alterations in galactose metabolism impact protein post-translational modifications. Thus, Jurkat cells were incubated in glucose or galactose containing media with or without lithium treatment. We found that galactose-fed and lithium treated cells showed better survivability than fasting cells. We also found higher UDP-Hexose and glycogen levels in these cells compared to fasting cells. On the other hand, the UPR (X-box binding protein 1 mRNA levels) of galactose-fed and lithium treated cells was even greater than in fasting cells. We also found increased amount of proteins that contained N-linked N-acetyl-glucosamine, similar to what was reported in fasting cells by a recent study. Our results demonstrate that lithium treatment of galactose-fed cells can induce stress responses similar to hypoglycemia, however cell survival is still secured by alternative pathways. We propose that clarifying this process might be an important addition toward the better understanding of the molecular mechanisms that regulate ER-associated stress response.

摘要

我们之前报道过,由于磷酸葡糖变位酶(PGM)的抑制,锂在酵母细胞生长于半乳糖时对 Ca(2+) 调节有显著影响,并诱导未折叠蛋白反应(UPR),然而确切的机制尚未建立。在这项研究中,我们分析了锂对半乳糖喂养细胞的影响,以澄清这些与内质网相关的变化是否是由于相对低血糖状态引起的。此外,我们还研究了半乳糖代谢的改变是否会影响蛋白质翻译后的修饰。因此,将 Jurkat 细胞在含有葡萄糖或半乳糖的培养基中孵育,有或没有锂处理。我们发现,与禁食细胞相比,半乳糖喂养和锂处理的细胞具有更好的存活率。与禁食细胞相比,我们还发现这些细胞中的 UDP-Hexose 和糖原水平更高。另一方面,与禁食细胞相比,半乳糖喂养和锂处理的细胞的 UPR(X 框结合蛋白 1 mRNA 水平)甚至更高。我们还发现,与最近的一项研究中报道的禁食细胞一样,含有 N-连接的 N-乙酰葡萄糖胺的蛋白质数量增加。我们的结果表明,锂对半乳糖喂养细胞的处理可以诱导类似于低血糖的应激反应,然而细胞的存活仍然通过替代途径得到保障。我们提出,阐明这一过程可能是更好地理解调节内质网相关应激反应的分子机制的重要补充。

https://cdn.ncbi.nlm.nih.gov/pmc/blobs/a7b0/3718757/9d4b890d8969/pone.0070410.g001.jpg

文献检索

告别复杂PubMed语法,用中文像聊天一样搜索,搜遍4000万医学文献。AI智能推荐,让科研检索更轻松。

立即免费搜索

文件翻译

保留排版,准确专业,支持PDF/Word/PPT等文件格式,支持 12+语言互译。

免费翻译文档

深度研究

AI帮你快速写综述,25分钟生成高质量综述,智能提取关键信息,辅助科研写作。

立即免费体验